Sort By:
page of 1

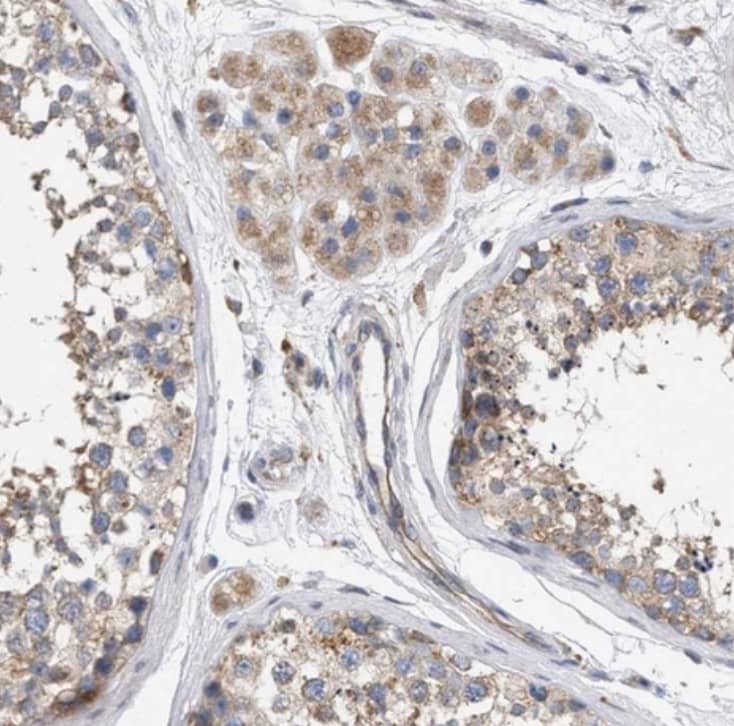
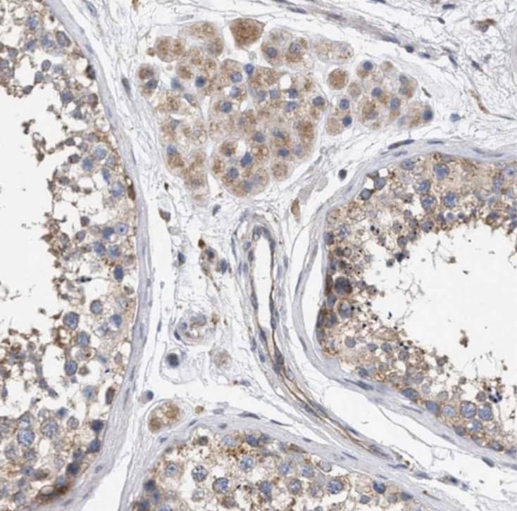
MAMDC2 Antibodies

We offer MAMDC2 Antibodies for use in common research applications: Immunohistochemistry, Immunohistochemistry-Paraffin. Each MAMDC2 Antibody is fully covered by our Guarantee+, to give you complete peace of mind and the support when you need it. Our MAMDC2 Antibodies can be used in a variety of model species: Human. Use the list below to choose the MAMDC2 Antibody which is most appropriate for your research; you can click on each one to view full technical details, images, references, reviews and related products. Choose from our MAMDC2 polyclonal antibodies.
Alternate Names for MAMDC2 Antibodies
anti-MAMDC2 antibody, anti-MAM domain containing 1 antibody, anti-MAM domain containing 2 antibody, anti-MAM domain-containing protein 2 antibody, anti-MAM domain-containing proteoglycan antibody, anti-mamcan antibody, anti-MGC21981 antibody
1 Results for "mamdc2" in Primary Antibodies
Hu, Mu, Rt
Species Glossary
Reactivity: Hu, Mu, Rt
WB, IHC
Applications: WB, IHC
Rabbit Polyclonal
Host: Rabbit Polyclonal
Sample Size Available
Sizes: Sample Size Available
Unconjugated  
Available Formulations
Formulation Catalog # Availability Price  
compare
(select up to 3 products from this page to compare)
page of 1