Filter ResultsClear All
Sort By:
page of 1

LRRIQ1 Antibodies

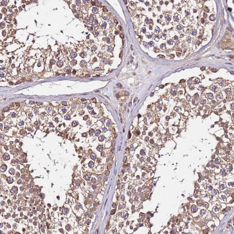
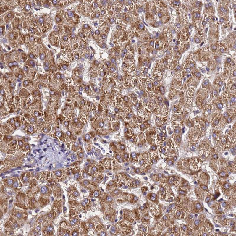
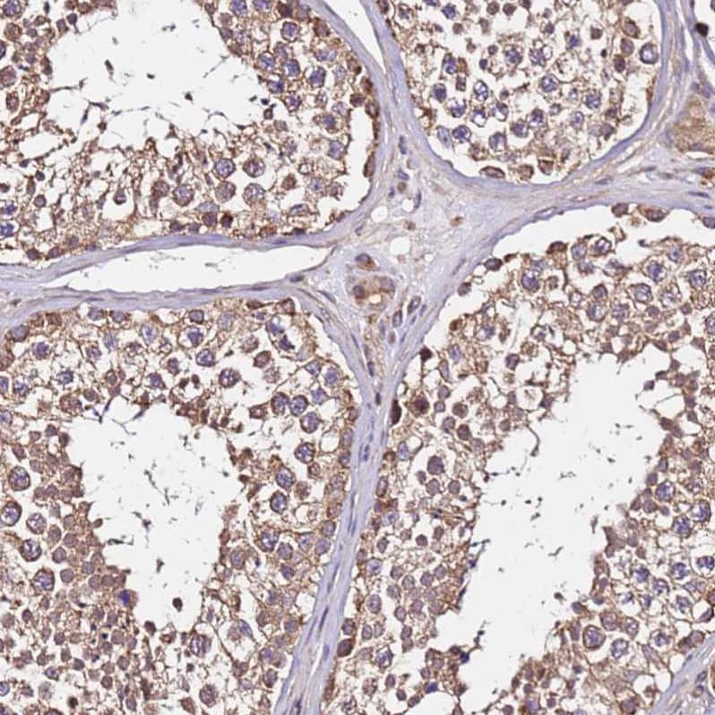
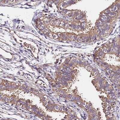
We offer LRRIQ1 Antibodies for use in common research applications: Immunohistochemistry, Immunohistochemistry-Paraffin. Each LRRIQ1 Antibody is fully covered by our Guarantee+, to give you complete peace of mind and the support when you need it. Our LRRIQ1 Antibodies can be used in a variety of model species: Human. Use the list below to choose the LRRIQ1 Antibody which is most appropriate for your research; you can click on each one to view full technical details, images, references, reviews and related products. Choose from our LRRIQ1 polyclonal antibodies.
Alternate Names for LRRIQ1 Antibodies
anti-LRRIQ1 antibody, anti-leucine-rich repeats and IQ motif containing 1 antibody
1 Results for "lrriq1" in Primary Antibodies
0.1 ml
Hu
Species Glossary
Reactivity: Hu
IHC
Applications: IHC
Rabbit Polyclonal
Host: Rabbit Polyclonal
Sample Size Available
Sizes: Sample Size Available
Unconjugated  
Available Formulations
Formulation Catalog # Availability Price  
compare
(select up to 3 products from this page to compare)
page of 1