Sort By:
page of 1

HRASLS5 Antibodies

We offer HRASLS5 Antibodies for use in common research applications: Immunohistochemistry, Immunohistochemistry-Paraffin. Each HRASLS5 Antibody is fully covered by our Guarantee+, to give you complete peace of mind and the support when you need it. Our HRASLS5 Antibodies can be used in a variety of model species: Human. Use the list below to choose the HRASLS5 Antibody which is most appropriate for your research; you can click on each one to view full technical details, images, references, reviews and related products. Choose from our HRASLS5 polyclonal antibodies.
Alternate Names for HRASLS5 Antibodies
anti-HRASLS5 antibody, anti-calcium-independent phosphatidylethanolamine N-acyltransferase antibody, anti-HRAS-like suppressor family, member 5 antibody
2 Results for "hrasls5" in Primary Antibodies
100 μg
Hu, Mu, Rt
Species Glossary
Reactivity: Hu, Mu, Rt
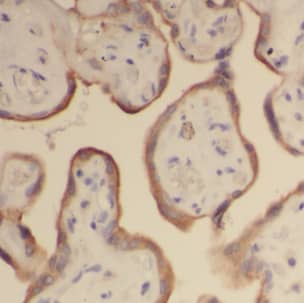
ELISA, IHC
Applications: ELISA, IHC
Rabbit Polyclonal
Host: Rabbit Polyclonal
Unconjugated  
compare
(select up to 3 products from this page to compare)
100 ul
Hu
Species Glossary
Reactivity: Hu
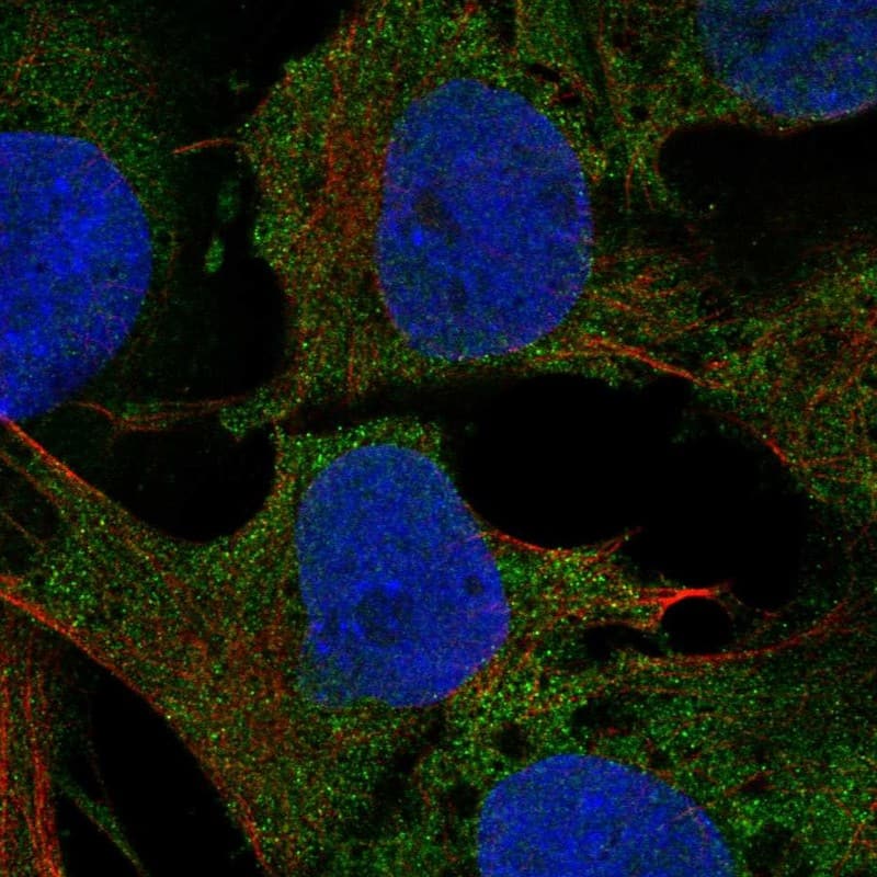
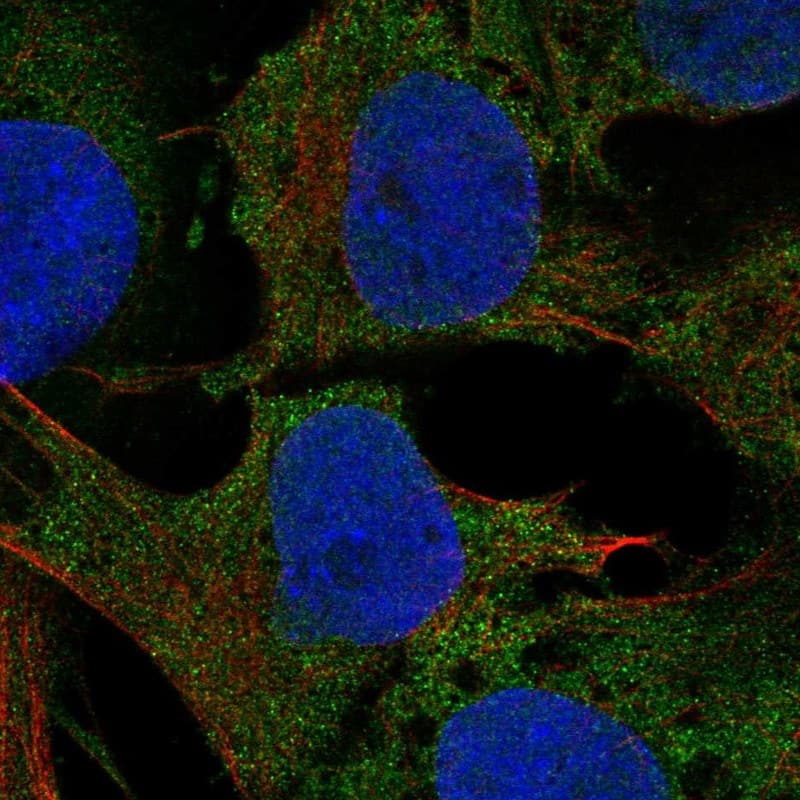
ICC/IF
Applications: ICC/IF
Rabbit Polyclonal
Host: Rabbit Polyclonal
Unconjugated  
compare
(select up to 3 products from this page to compare)
page of 1