Sort By:
page of 1

GPR135 Antibodies

We offer GPR135 Antibodies for use in common research applications: ELISA, Immunohistochemistry, Immunohistochemistry-Paraffin, Western Blot. Each GPR135 Antibody is fully covered by our Guarantee+, to give you complete peace of mind and the support when you need it. Our GPR135 Antibodies can be used in a variety of model species: Human, Mouse, Rat. Use the list below to choose the GPR135 Antibody which is most appropriate for your research; you can click on each one to view full technical details, images, references, reviews and related products. Choose from our GPR135 polyclonal antibodies.
Alternate Names for GPR135 Antibodies
anti-GPR135 antibody, anti-G protein-coupled receptor 135 antibody, anti-HUMNPIIY20 antibody, anti-PAFR antibody, anti-probable G-protein coupled receptor 135 antibody
3 Results for "gpr135" in Primary Antibodies
0.1 ml
Hu
Species Glossary
Reactivity: Hu
IHC
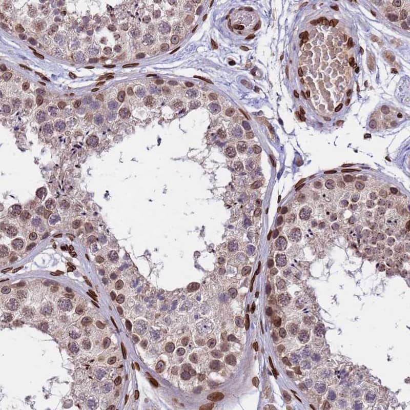
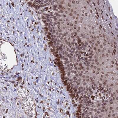
Applications: IHC
Rabbit Polyclonal
Host: Rabbit Polyclonal
Sample Size Available
Sizes: Sample Size Available
Unconjugated  
Available Formulations
Formulation Catalog # Availability Price  
compare
(select up to 3 products from this page to compare)
0.1ml
Hu
Species Glossary
Reactivity: Hu
WB
Applications: WB
Rabbit Polyclonal
Host: Rabbit Polyclonal
Unconjugated  
compare
(select up to 3 products from this page to compare)
0.1ml
Hu
Species Glossary
Reactivity: Hu
WB
Applications: WB
Rabbit Polyclonal
Host: Rabbit Polyclonal
Unconjugated  
compare
(select up to 3 products from this page to compare)
page of 1