Sort By:
page of 1

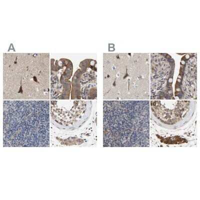
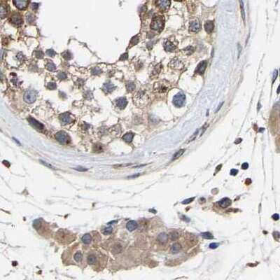
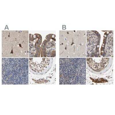
CCDC155 Antibodies

We offer CCDC155 Antibodies for use in common research applications: ELISA, Immunocytochemistry/Immunofluorescence, Immunohistochemistry, Immunohistochemistry-Paraffin, Western Blot. Each CCDC155 Antibody is fully covered by our Guarantee+, to give you complete peace of mind and the support when you need it. Our CCDC155 Antibodies can be used in a variety of model species: Human. Use the list below to choose the CCDC155 Antibody which is most appropriate for your research; you can click on each one to view full technical details, images, references, reviews and related products. Choose from our CCDC155 polyclonal antibodies.
Alternate Names for CCDC155 Antibodies
anti-CCDC155 antibody, anti-coiled-coil domain containing 155 antibody, anti-coiled-coil domain-containing protein 155 antibody, anti-DKFZp434A2223 antibody, anti-FLJ32658 antibody
4 Results for "ccdc155" in Primary Antibodies
0.1 ml
Hu
Species Glossary
Reactivity: Hu
WB, IHC
Applications: WB, IHC
Rabbit Polyclonal
Host: Rabbit Polyclonal
Sample Size Available
Sizes: Sample Size Available
Unconjugated  
         
Validated by:          
Available Formulations
Formulation Catalog # Availability Price  
compare
(select up to 3 products from this page to compare)
0.1 ml
Hu
Species Glossary
Reactivity: Hu
IHC
Applications: IHC
Rabbit Polyclonal
Host: Rabbit Polyclonal
Sample Size Available
Sizes: Sample Size Available
Unconjugated  
         
Validated by:          
Available Formulations
Formulation Catalog # Availability Price  
compare
(select up to 3 products from this page to compare)
100 ul
Hu
Species Glossary
Reactivity: Hu
WB
Applications: WB
Rabbit Polyclonal
Host: Rabbit Polyclonal
Unconjugated  
compare
(select up to 3 products from this page to compare)
0.05 mg
Hu
Species Glossary
Reactivity: Hu
WB
Applications: WB
Mouse Polyclonal
Host: Mouse Polyclonal
Unconjugated  
compare
(select up to 3 products from this page to compare)
page of 1