Sort By:
page of 1

Ankyrin Repeat Domain 33B Antibodies

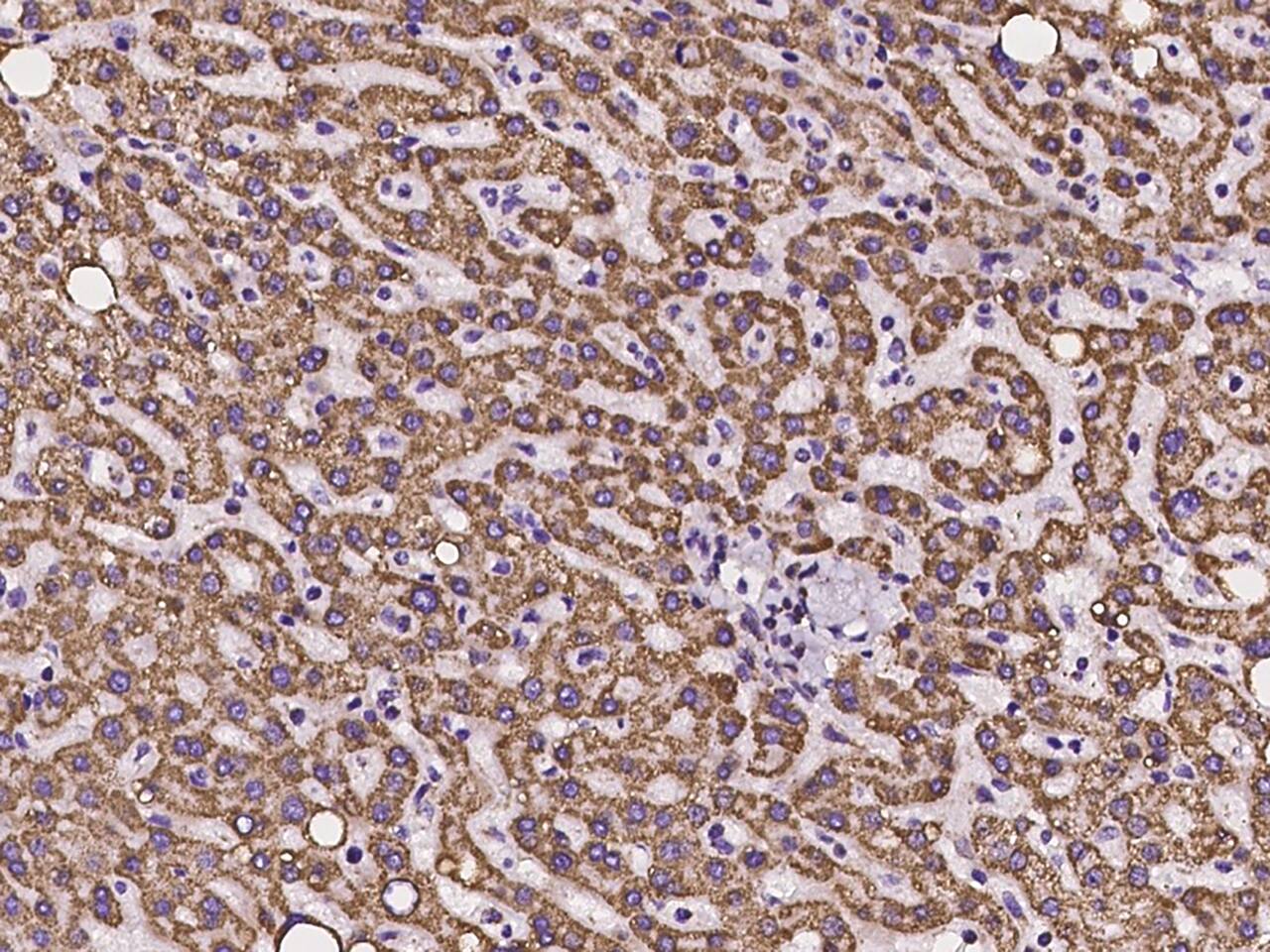
We offer Ankyrin Repeat Domain 33B Antibodies for use in common research applications: Immunohistochemistry. Each Ankyrin Repeat Domain 33B Antibody is fully covered by our Guarantee+, to give you complete peace of mind and the support when you need it. Our Ankyrin Repeat Domain 33B Antibodies can be used in a variety of model species: Human. Use the list below to choose the Ankyrin Repeat Domain 33B Antibody which is most appropriate for your research; you can click on each one to view full technical details, images, references, reviews and related products. Choose from our Ankyrin Repeat Domain 33B polyclonal antibodies.
Alternate Names for Ankyrin Repeat Domain 33B Antibodies
anti-Ankyrin Repeat Domain 33B antibody, anti-ANKRD33B antibody, anti-Ankyrin Repeat Domain-Containing Protein 33B antibody, anti-Ankyrin Repeat Domain-Containing Protein LOC651746 antibody
3 Results for "ankyrin-repeat-domain-33b" in Primary Antibodies
100 ul
Hu
Species Glossary
Reactivity: Hu
ICC/IF, IHC
Applications: ICC/IF, IHC
Rabbit Polyclonal
Host: Rabbit Polyclonal
Sample Size Available
Sizes: Sample Size Available
Unconjugated  
Available Conjugates:
Available Formulations
Formulation Catalog # Availability Price  
compare
(select up to 3 products from this page to compare)
0.1 ml
Hu
Species Glossary
Reactivity: Hu
ICC/IF, IHC
Applications: ICC/IF, IHC
Rabbit Polyclonal
Host: Rabbit Polyclonal
Sample Size Available
Sizes: Sample Size Available
Unconjugated  
Available Formulations
Formulation Catalog # Availability Price  
compare
(select up to 3 products from this page to compare)
page of 1