Sort By:
page of 1

LAMB4 Products By Gene Name

1 Results for "LAMB4"
100 ul
Hu
Species Glossary
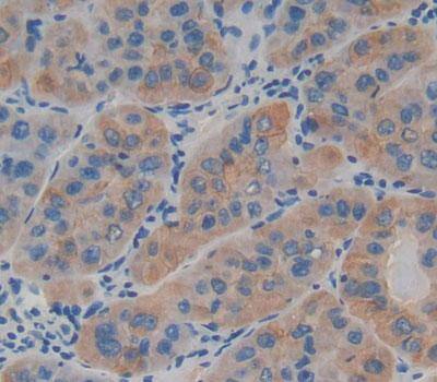
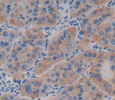
Reactivity: Hu
WB, IHC
Applications: WB, IHC
Rabbit Polyclonal
Host: Rabbit Polyclonal
Unconjugated  
compare
(select up to 3 products from this page to compare)
page of 1