Sort By:
page of 1

IFIT1B Products By Gene Name

4 Results for "IFIT1B"
100 μg
Hu, Mu, Rt
Species Glossary
Reactivity: Hu, Mu, Rt
WB, ELISA, ICC/IF, IHC
Applications: WB, ELISA, ICC/IF, IHC
Rabbit Polyclonal
Host: Rabbit Polyclonal
Unconjugated  
compare
(select up to 3 products from this page to compare)
0.1 ml
Hu
Species Glossary
Reactivity: Hu
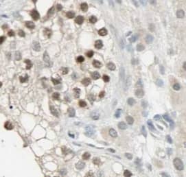
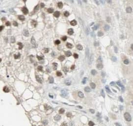
IHC
Applications: IHC
Rabbit Polyclonal
Host: Rabbit Polyclonal
Sample Size Available
Sizes: Sample Size Available
Unconjugated  
Available Formulations
Formulation Catalog # Availability Price  
compare
(select up to 3 products from this page to compare)
0.1 mg
Hu
Species Glossary
Reactivity: Hu
WB
Applications: WB
compare
(select up to 3 products from this page to compare)
0.1 ml
Hu
Species Glossary
Reactivity: Hu
AC
Applications: AC
compare
(select up to 3 products from this page to compare)
page of 1