Filter ResultsClear All
clearclear

Protein/Target

clearclearclear

Citation

clearclearclearclear

Modification

clearclearclearclearclearclearclearclear

Has Sample Size

clear

Promotional Item

Sort By:
page of 4

BCL6 Products By Gene Name

38 Results for "BCL6"
100 ul
Hu
Species Glossary
Reactivity: Hu
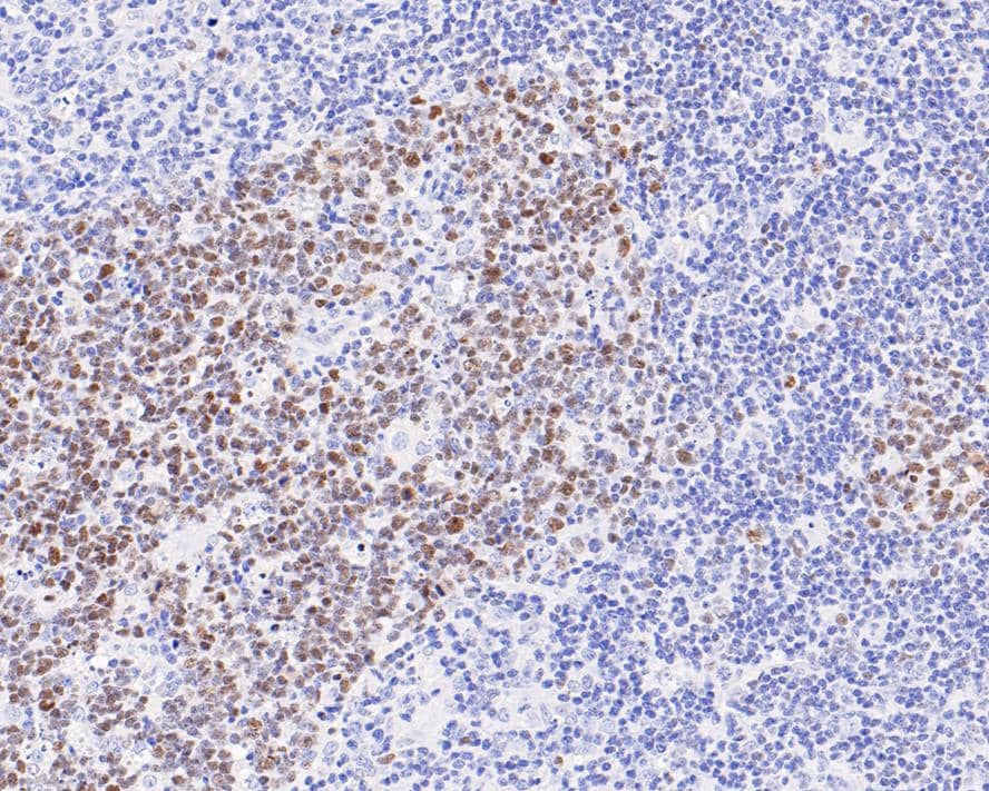
ICC/IF, IHC
Applications: ICC/IF, IHC
Mouse Monoclonal
Host: Mouse Monoclonal
Unconjugated  
compare
(select up to 3 products from this page to compare)
0.1 mg
Hu
Species Glossary
Reactivity: Hu
WB
Applications: WB
compare
(select up to 3 products from this page to compare)
100 ul
Hu
Species Glossary
Reactivity: Hu
ELISA, Flow, IHC
Applications: ELISA, Flow, IHC
Rabbit Monoclonal
Host: Rabbit Monoclonal
Unconjugated  
Available Formulations
Formulation Catalog # Availability Price  
compare
(select up to 3 products from this page to compare)
10 μg
Hu
Species Glossary
Reactivity: Hu
WB, ELISA, MA, AP
Applications: WB, ELISA, MA, AP
compare
(select up to 3 products from this page to compare)
page of 4