ZNF598 Products

Antibodies
ZNF598 Antibody - BSA Free
ZNF598 Antibody - BSA Free
NBP1-84658
Species: Hu
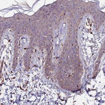
Applications: ICC/IF, IHC
Host: Rabbit Polyclonal
Formulation Catalog # Availability Price  
ZNF598 Antibody - Azide Free
ZNF598 Antibody - Azide Free
NBP2-21035
Species: Hu, Mu
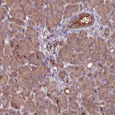
Applications: WB, ICC/IF, IHC
Host: Rabbit Polyclonal
ZNF598 Antibody - BSA Free
ZNF598 Antibody - BSA Free
NBP1-84659
Species: Hu
Applications: WB, ICC/IF
Host: Rabbit Polyclonal
Formulation Catalog # Availability Price  
Lysates
ZNF598 Overexpression Lysate
ZNF598 Overexpression Lysate
NBP2-04989
Species: Hu
Applications: WB
Proteins
ZNF598 Recombinant Protein An ...
ZNF598 Recombinant Protein Antigen
NBP1-84658PEP
Species: Hu
Applications: AC
ZNF598 Recombinant Protein An ...
ZNF598 Recombinant Protein Antigen
NBP1-84659PEP
Species: Hu
Applications: AC

Description

Chimera RNA interference (chimera RNAi) is process by which small interfering RNA/DNA chimera triggers the destruction of mRNA for the original gene.  The discovery work, design, and application of chimera RNAi has been pioneered by Professor Kaoru Saigo and Dr. Kumiko Ui-Tei at the University of Tokyo.  Chimera RNAi has many advantages over the conventional siRNAs.  First, it has been demonstrated to have reliable knock-down for over 10,000 human genes.  Because the human genome is composed of an intricate, genetic network, chimera RNAi's unique design has successfully obviated the off-target effects including microRNA-based influence.  Another advantage of the chimera RNAi technology is its effectiveness at low concentrations (0.5nM to 5nM); only mRNA is destroyed so genomic genes are not affected.  Finally, having both the sense and anti-sense strands consisting RNA/DNA chimera, it offers much greater compound stability for streamlining in vitro and in vivo assays and applications while minimizing interferon induction and other adverse reactions.

Bioinformatics

Product By Gene ID 90850
Alternate Names
  • DKFZp762F135
  • FLJ00086
  • zinc finger protein 598