ZNF562 Products

Antibodies
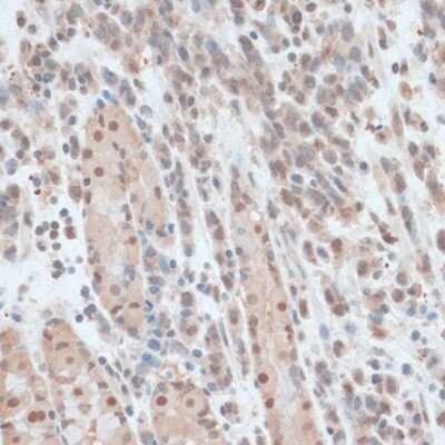
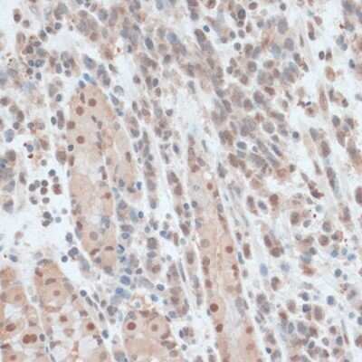
ZNF562 Antibody - Azide and B ...
ZNF562 Antibody - Azide and BSA Free
NBP3-04480
Species: Hu, Mu, Rt
Applications: IHC
Host: Rabbit Polyclonal
Formulation Catalog # Availability Price  
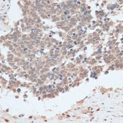
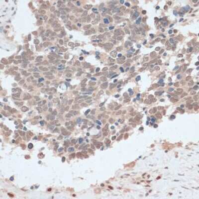
ZNF562 Antibody - BSA Free
ZNF562 Antibody - BSA Free
NBP1-79456
Species: Hu
Applications: WB
Host: Rabbit Polyclonal

Description

ZNF562 may be involved in transcriptional regulation

Bioinformatics

Entrez Human
Uniprot Human
Product By Gene ID 54811
Alternate Names
  • FLJ20079
  • MGC126160
  • zinc finger protein 562