ZNF346 Products

Antibodies
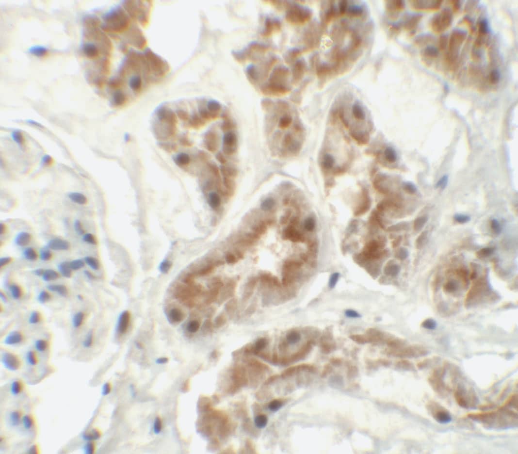
ZNF346 Antibody - BSA Free
ZNF346 Antibody - BSA Free
NBP3-12616
Species: Hu
Applications: WB, ICC/IF, IHC, IP
Host: Rabbit Polyclonal
Formulation Catalog # Availability Price  
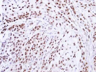
ZNF346 Antibody - BSA Free
ZNF346 Antibody - BSA Free
NBP1-32927
Species: Hu, Rt, Po, Bv
Applications: WB, IHC
Host: Rabbit Polyclonal
Proteins
Recombinant Human ZNF346 His ...
Recombinant Human ZNF346 His Protein
NBP2-22956
Species: Hu
Applications: PAGE
ZNF346 Recombinant Protein An ...
ZNF346 Recombinant Protein Antigen
NBP1-83084PEP
Species: Hu
Applications: AC
ZNF346 Antibody Blocking Pept ...
ZNF346 Antibody Blocking Peptide
NBP1-76540PEP
Species: Hu
Applications: AC

Description

ZNF346 is encoded by this gene is a nucleolar, zinc finger protein that preferentially binds to double-stranded (ds) RNA or RNA/DNA hybrids, rather than DNA alone. Mutational studies indicate that the zinc finger domains are not only essential for dsRNA binding, but are also required for its nucleolar localization. The encoded protein may be involved in cell growth and survival.

Bioinformatics

Entrez Human
Uniprot Human
Human
Human
Human
Product By Gene ID 23567
Alternate Names
  • KIAA0844ZNF365D
  • MGC41821
  • MGC87345
  • Su48
  • talanin
  • UANprotein ZNF365
  • zinc finger protein 365

Research Areas for ZNF346

Find related products by research area and learn more about each of the different research areas below.

Apoptosis