Skip to main content
Support: 1-888-506-6887
Items in Cart (
0
)
[X]
Quick Order
Account
COVID-19 Research Tools
Antibodies
Primary Antibodies
Conjugated Antibodies
Sample Size Antibodies
KO Validated Antibodies
Recombinant Antibodies
Antibody Sampler Packs
Antibody Pairs
Secondary Antibodies
Isotype Control Antibodies
Proteins and Peptides
Peptides & Proteins
Blocking Peptides
Biologically Active Proteins
Lysates and Cell Lines
Lysates
Stem Cell Lines
Kits
Antibody Labeling Kits
ChIP Kits
ELISA Kits
Flow Cytometry Kits
Activators and Inhibitors
Inhibitors
Activators
Support Products
Exosome Isolation
Flow Cytometry Beads
IHC Tissue Slides
IHC Microarrays
Western Blot Gels & Buffers
Western Blot Membranes
All Support Products
Bulk and Custom
Products
Our Protocols
Resources
Protocols
Video Protocols
Troubleshooting Guides
Posters and Literature
Handbooks and Guides
Calculators
FAQs
Blogs
Diseases
Whitepapers
Webinars
Tools
Spectra Viewer
Flow Cytometry Panel Builder
Application
ELISA
Flow Cytometry
Mass Cytometry (CyTOF)
ICC
IHC
Western Blotting
Interviews
Faculty
Postdoc
Resources
View Pathways
By Research Area
Apoptosis
Autophagy
Cancer
Cell Biology
Cellular Markers
Epigenetics
Epitope Tags
Exosomes Research
Hypoxia
Immunology
Microbiology
Neuroscience
Stem Cells
By Pathway
AKT
Apoptosis
Autophagy
ERK1/2/5 Pathway
Hedgehog
Hippo
JNK Pathway
mTOR
Necroptosis
NFKB Signaling
p38 Signaling
TGF Beta
TLR
Research Areas
Get Rewards
Customer Care
100% Guarantee
Risk Free Testing
Novus Rewards Program
Publication Rewards Program
Scholarship
Travel Grants
Customer Care
Novus Careers
About us
Careers
Collaborations
Events
Novus Story
Our Team
Philanthropy
Press Releases
Why choose Novus
About Us
Contact Us
Customer Service
Distributors
Technical Support
Contact
Home
» XTP3TPA Products
XTP3TPA Products
XTP3TPA Antibodies (10)
XTP3TPA Lysate (1)
XTP3TPA Proteins (2)
Antibodies
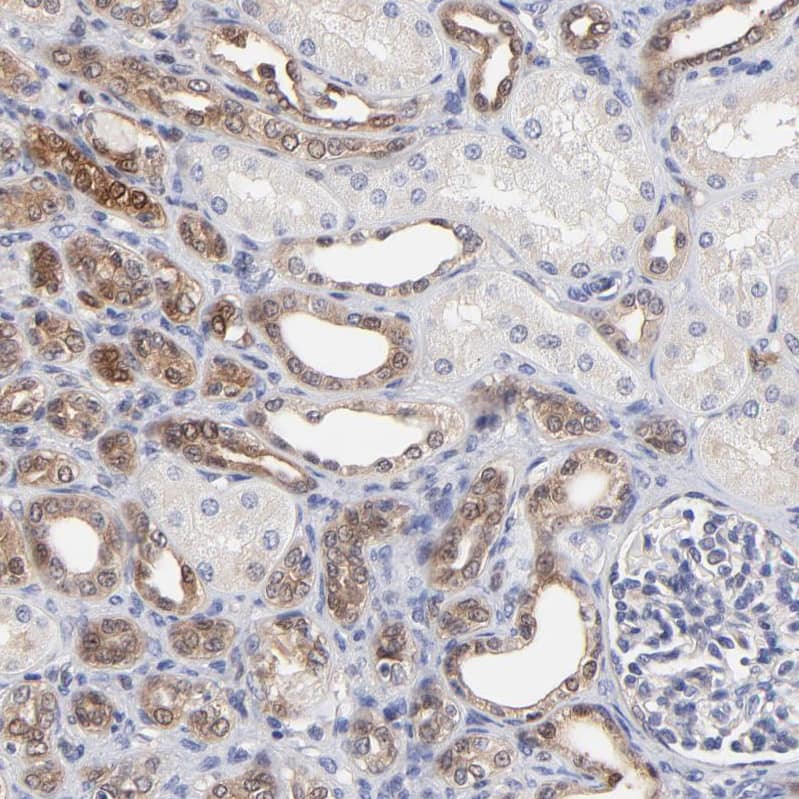
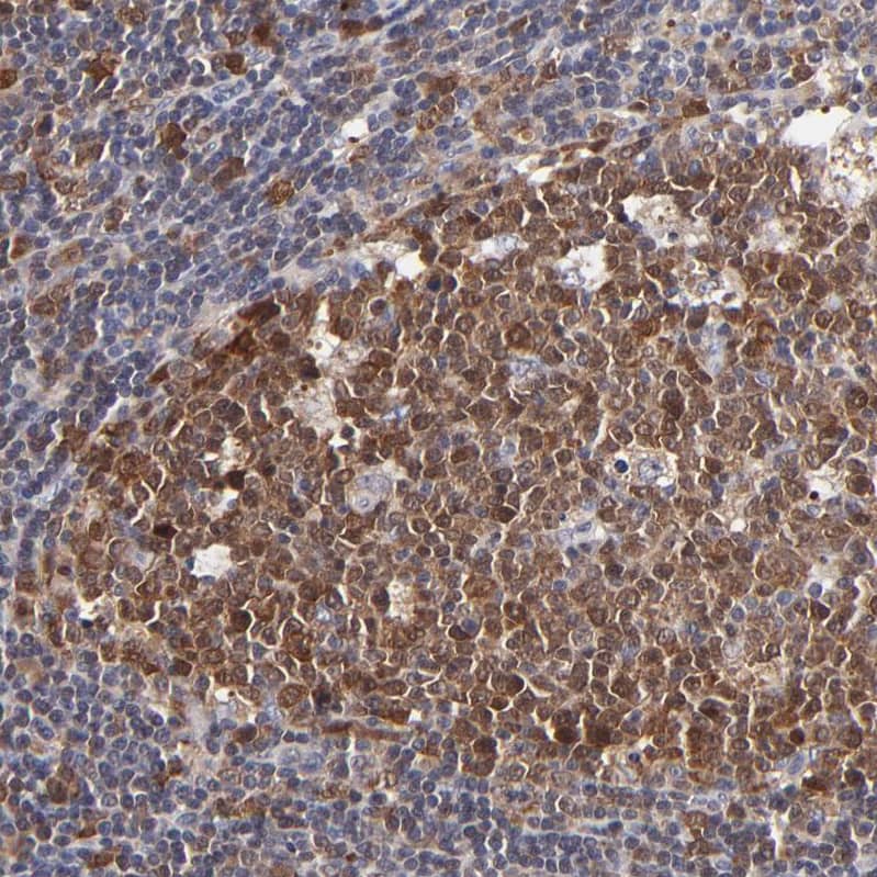
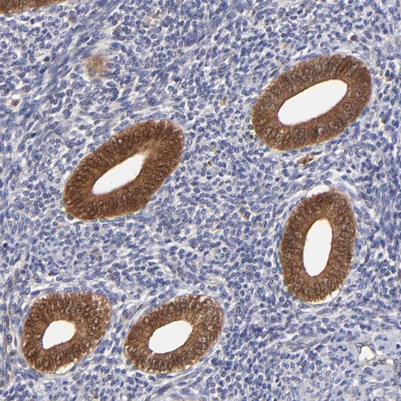
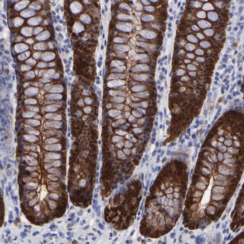
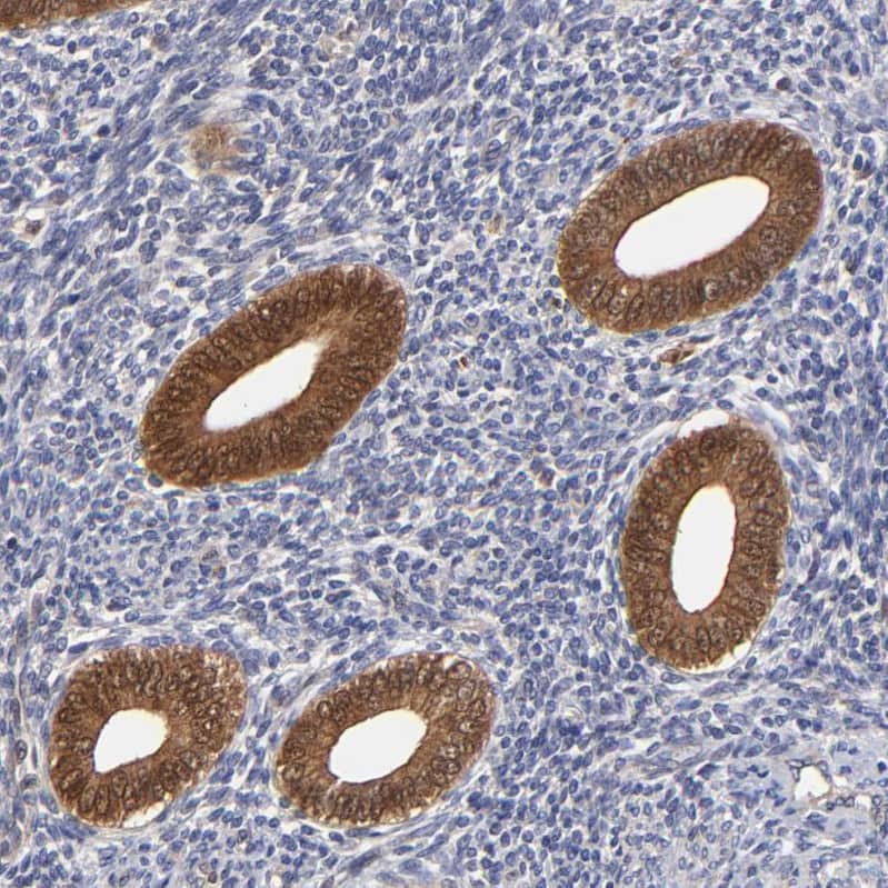
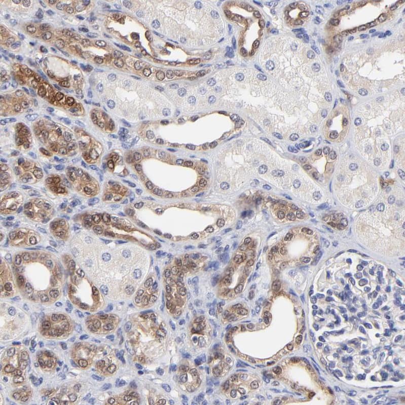
XTP3TPA Antibody - BSA Free
XTP3TPA Antibody - BSA Free
NBP1-85736
(2 Publications)
Species:
Hu
Applications:
WB, ICC/IF, IHC
Host:
Rabbit Polyclonal
Formulations
Formulation
Catalog #
Availability
Price
BSA Free
NBP1-85736-25ul
XTP3TPA Antibody - BSA Free
XTP3TPA Antibody - BSA Free
NBP3-18474
Species:
Hu, Mu
Applications:
WB, IP
Host:
Rabbit Polyclonal
Conjugates
Conjugate
Catalog #
Availability
Size
Price
Alexa Fluor 350
NBP3-18474AF350
Alexa Fluor 405
NBP3-18474AF405
Alexa Fluor 488
NBP3-18474AF488
Alexa Fluor 532
NBP3-18474AF532
Alexa Fluor 594
NBP3-18474AF594
Alexa Fluor 647
NBP3-18474AF647
Alexa Fluor 700
NBP3-18474AF700
Alexa Fluor 750
NBP3-18474AF750
Alexa Fluor Plus 488
NBP3-18474AFP488
Alexa Fluor Plus 555
NBP3-18474AFP555
Alexa Fluor Plus 594
NBP3-18474AFP594
Alexa Fluor Plus 647
NBP3-18474AFP647
Alexa Fluor Plus 680
NBP3-18474AFP680
Allophycocyanin
NBP3-18474APC
Biotin
NBP3-18474B
CoraFluor 1
NBP3-18474CL1
DyLight 350
NBP3-18474UV
DyLight 405
NBP3-18474V
DyLight 488
NBP3-18474G
DyLight 550
NBP3-18474R
DyLight 594
NBP3-18474DL594
DyLight 650
NBP3-18474C
DyLight 680
NBP3-18474FR
DyLight 755
NBP3-18474IR
FITC
NBP3-18474F
HRP
NBP3-18474H
Janelia Fluor 525
NBP3-18474JF525
Janelia Fluor 549
NBP3-18474JF549
Janelia Fluor 646
NBP3-18474JF646
Janelia Fluor 669
NBP3-18474JF669
PE
NBP3-18474PE
PerCP
NBP3-18474PCP
mFluor Violet 450 SE
NBP3-18474MFV450
mFluor Violet 500 SE
NBP3-18474MFV500
mFluor Violet 610 SE
NBP3-18474MFV610
XTP3TPA Antibody - BSA Free
XTP3TPA Antibody - BSA Free
NBP3-18473
Species:
Hu
Applications:
WB, IP
Host:
Rabbit Polyclonal
Conjugates
Conjugate
Catalog #
Availability
Size
Price
Alexa Fluor 350
NBP3-18473AF350
Alexa Fluor 405
NBP3-18473AF405
Alexa Fluor 488
NBP3-18473AF488
Alexa Fluor 532
NBP3-18473AF532
Alexa Fluor 594
NBP3-18473AF594
Alexa Fluor 647
NBP3-18473AF647
Alexa Fluor 700
NBP3-18473AF700
Alexa Fluor 750
NBP3-18473AF750
Alexa Fluor Plus 488
NBP3-18473AFP488
Alexa Fluor Plus 555
NBP3-18473AFP555
Alexa Fluor Plus 594
NBP3-18473AFP594
Alexa Fluor Plus 647
NBP3-18473AFP647
Alexa Fluor Plus 680
NBP3-18473AFP680
Allophycocyanin
NBP3-18473APC
Biotin
NBP3-18473B
CoraFluor 1
NBP3-18473CL1
DyLight 350
NBP3-18473UV
DyLight 405
NBP3-18473V
DyLight 488
NBP3-18473G
DyLight 550
NBP3-18473R
DyLight 594
NBP3-18473DL594
DyLight 650
NBP3-18473C
DyLight 680
NBP3-18473FR
DyLight 755
NBP3-18473IR
FITC
NBP3-18473F
HRP
NBP3-18473H
Janelia Fluor 525
NBP3-18473JF525
Janelia Fluor 549
NBP3-18473JF549
Janelia Fluor 646
NBP3-18473JF646
Janelia Fluor 669
NBP3-18473JF669
PE
NBP3-18473PE
PerCP
NBP3-18473PCP
mFluor Violet 450 SE
NBP3-18473MFV450
mFluor Violet 500 SE
NBP3-18473MFV500
mFluor Violet 610 SE
NBP3-18473MFV610
Read More
Read More
Read More
We have 10 XTP3TPA Antibodies
Lysates
XTP3TPA Overexpression Lysate ...
XTP3TPA Overexpression Lysate
NBL1-17921
Species:
Hu
Applications:
WB
Read More
We have 1 XTP3TPA Lysate
Proteins
Recombinant Human XTP3TPA His ...
Recombinant Human XTP3TPA His Protein
NBP1-78880
Species:
Hu
Applications:
PAGE
XTP3TPA Recombinant Protein A ...
XTP3TPA Recombinant Protein Antigen
NBP1-85736PEP
Species:
Hu
Applications:
AC
Read More
Read More
We have 2 XTP3TPA Proteins
Bioinformatics
Entrez
79077
Human
Uniprot
NM_024096
Human
NP_077001.1
Human
Q9H773
Human
Product By Gene ID
79077
Alternate Names
dCTP pyrophosphatase 1
dCTPase 1
Deoxycytidine-triphosphatase 1
EC 3.6.1.12
MGC5627
RS21C6XTP3-transactivated gene A protein
XTP3TPACDA03
XTP3-transactivated protein A
Need help?
×
How can we help you?
Close
Start Chat