Skip to main content
Support: 1-888-506-6887
Items in Cart (
0
)
[X]
Quick Order
Account
COVID-19 Research Tools
Antibodies
Primary Antibodies
Conjugated Antibodies
Sample Size Antibodies
KO Validated Antibodies
Recombinant Antibodies
Antibody Sampler Packs
Antibody Pairs
Secondary Antibodies
Isotype Control Antibodies
Proteins and Peptides
Peptides & Proteins
Blocking Peptides
Biologically Active Proteins
Lysates and Cell Lines
Lysates
Stem Cell Lines
Kits
Antibody Labeling Kits
ChIP Kits
ELISA Kits
Flow Cytometry Kits
Activators and Inhibitors
Inhibitors
Activators
Support Products
Exosome Isolation
Flow Cytometry Beads
IHC Tissue Slides
IHC Microarrays
Western Blot Gels & Buffers
Western Blot Membranes
All Support Products
Bulk and Custom
Products
Our Protocols
Resources
Protocols
Video Protocols
Troubleshooting Guides
Posters and Literature
Handbooks and Guides
Calculators
FAQs
Blogs
Diseases
Whitepapers
Webinars
Tools
Spectra Viewer
Flow Cytometry Panel Builder
Application
ELISA
Flow Cytometry
Mass Cytometry (CyTOF)
ICC
IHC
Western Blotting
Interviews
Faculty
Postdoc
Resources
View Pathways
By Research Area
Apoptosis
Autophagy
Cancer
Cell Biology
Cellular Markers
Epigenetics
Epitope Tags
Exosomes Research
Hypoxia
Immunology
Microbiology
Neuroscience
Stem Cells
By Pathway
AKT
Apoptosis
Autophagy
ERK1/2/5 Pathway
Hedgehog
Hippo
JNK Pathway
mTOR
Necroptosis
NFKB Signaling
p38 Signaling
TGF Beta
TLR
Research Areas
Get Rewards
Customer Care
100% Guarantee
Risk Free Testing
Novus Rewards Program
Publication Rewards Program
Scholarship
Travel Grants
Customer Care
Novus Careers
About us
Careers
Collaborations
Events
Novus Story
Our Team
Philanthropy
Press Releases
Why choose Novus
About Us
Contact Us
Customer Service
Distributors
Technical Support
Contact
Home
» TMEM100 Products
TMEM100 Products
TMEM100 Antibodies (3)
TMEM100 Lysates (2)
Antibodies
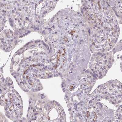
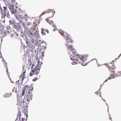
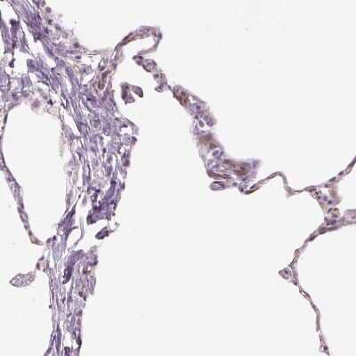
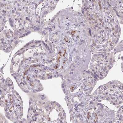
TMEM100 Antibody (OTI10G3)
TMEM100 Antibody (OTI10G3)
NBP1-48024
Species:
Hu, Mu, Rt
Applications:
WB, ICC/IF, IHC
Host:
Mouse Monoclonal
Conjugates
Conjugate
Catalog #
Availability
Size
Price
Alexa Fluor 350
NBP2-74545AF350
Alexa Fluor 405
NBP2-74545AF405
Alexa Fluor 488
NBP2-74545AF488
Alexa Fluor 532
NBP2-74545AF532
Alexa Fluor 594
NBP2-74545AF594
Alexa Fluor 647
NBP2-74545AF647
Alexa Fluor 700
NBP2-74545AF700
Alexa Fluor 750
NBP2-74545AF750
Alexa Fluor Plus 488
NBP2-74545AFP488
Alexa Fluor Plus 555
NBP2-74545AFP555
Alexa Fluor Plus 594
NBP2-74545AFP594
Alexa Fluor Plus 647
NBP2-74545AFP647
Alexa Fluor Plus 680
NBP2-74545AFP680
Allophycocyanin
NBP2-74545APC
Biotin
NBP2-74545B
CoraFluor 1
NBP2-74545CL1
DyLight 350
NBP2-74545UV
DyLight 405
NBP2-74545V
DyLight 488
NBP2-74545G
DyLight 550
NBP2-74545R
DyLight 594
NBP2-74545DL594
DyLight 650
NBP2-74545C
DyLight 680
NBP2-74545FR
DyLight 755
NBP2-74545IR
FITC
NBP2-74545F
HRP
NBP2-74545H
Janelia Fluor 525
NBP2-74545JF525
Janelia Fluor 549
NBP2-74545JF549
Janelia Fluor 646
NBP2-74545JF646
Janelia Fluor 669
NBP2-74545JF669
PE
NBP2-74545PE
PerCP
NBP2-74545PCP
mFluor Violet 450 SE
NBP2-74545MFV450
mFluor Violet 500 SE
NBP2-74545MFV500
Formulations
Formulation
Catalog #
Availability
Price
Azide and BSA Free
NBP2-74545
TMEM100 Antibody (OTI10G3) - ...
TMEM100 Antibody (OTI10G3) - Azide...
NBP2-74545
Species:
Hu, Mu, Rt
Applications:
WB, ICC/IF, IHC
Host:
Mouse Monoclonal
Conjugates
Conjugate
Catalog #
Availability
Size
Price
Alexa Fluor 350
NBP2-74545AF350
Alexa Fluor 405
NBP2-74545AF405
Alexa Fluor 488
NBP2-74545AF488
Alexa Fluor 532
NBP2-74545AF532
Alexa Fluor 594
NBP2-74545AF594
Alexa Fluor 647
NBP2-74545AF647
Alexa Fluor 700
NBP2-74545AF700
Alexa Fluor 750
NBP2-74545AF750
Biotin
NBP2-74545B
CoraFluor 1
NBP2-74545CL1
DyLight 350
NBP2-74545UV
DyLight 405
NBP2-74545V
DyLight 488
NBP2-74545G
DyLight 550
NBP2-74545R
DyLight 594
NBP2-74545DL594
DyLight 650
NBP2-74545C
DyLight 680
NBP2-74545FR
DyLight 755
NBP2-74545IR
FITC
NBP2-74545F
HRP
NBP2-74545H
Janelia Fluor 525
NBP2-74545JF525
Janelia Fluor 549
NBP2-74545JF549
Janelia Fluor 646
NBP2-74545JF646
Janelia Fluor 669
NBP2-74545JF669
TMEM100 Antibody - Azide and ...
TMEM100 Antibody - Azide and BSA Free
NBP2-94746
(1 Publication)
Species:
Hu, Mu
Applications:
WB
Host:
Rabbit Polyclonal
Formulations
Formulation
Catalog #
Availability
Price
Azide and BSA Free
NBP2-94746-0.02ml
Azide and BSA Free
NBP2-94746-0.1ml
Read More
Read More
Read More
We have 3 TMEM100 Antibodies
Lysates
TMEM100 Overexpression Lysate ...
TMEM100 Overexpression Lysate
NBP2-09314
Species:
Hu
Applications:
WB
TMEM100 Overexpression Lysate ...
TMEM100 Overexpression Lysate
NBL1-16990
Species:
Hu
Applications:
WB
Read More
Read More
We have 2 TMEM100 Lysates
Bioinformatics
Entrez
55273
Human
Uniprot
NM_018286
Human
NP_001093110
Human
Product By Gene ID
55273
Alternate Names
FLJ10970
FLJ37856
transmembrane protein 100
Need help?
×
How can we help you?
Close
Start Chat