SUPT16H Products

Antibodies
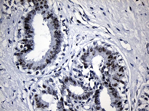
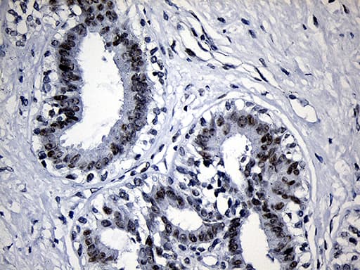
SUPT16H Antibody - BSA Free
SUPT16H Antibody - BSA Free
NBP2-38607
Species: Hu, Mu, Rt
Applications: ICC/IF, IHC
Host: Rabbit Polyclonal
Formulation Catalog # Availability Price  
SUPT16H Antibody - BSA Free
SUPT16H Antibody - BSA Free
NBP3-35888
Species: Hu, Mu, Rt
Applications: WB, ELISA, ICC/IF
Host: Rabbit Polyclonal
Formulation Catalog # Availability Price  
SUPT16H Antibody
SUPT16H Antibody
NB100-60942
Species: Hu, Mu, Po, Bv
Applications: WB, ELISA
Host: Goat Polyclonal
Proteins
SUPT16H Recombinant Protein A ...
SUPT16H Recombinant Protein Antigen
NBP2-38607PEP
Species: Hu
Applications: AC

Description

Transcription of protein-coding genes can be reconstituted on naked DNA with only the general transcription factors and RNA polymerase II. However, this minimal system cannot transcribe DNA packaged into chromatin, indicating that accessory factors may facilitate access to DNA. One such factor, FACT (facilitates chromatin transcription), interacts specifically with histones H2A/H2B to effect nucleosome disassembly and transcription elongation. FACT is composed of an 80 kDa subunit and a 140 kDa subunit; this gene encodes the 140 kDa subunit. (provided by RefSeq)

Bioinformatics

Entrez Human
Uniprot Human
Human
Human
Product By Gene ID 11198
Alternate Names
  • CDC68
  • Chromatin-specific transcription elongation factor 140 kDa subunit
  • facilitates chromatin remodeling 140 kDa subunit
  • Facilitates chromatin transcription complex subunit SPT16
  • FACT 140 kDa subunit
  • FACT complex subunit SPT16
  • FACT140
  • FACTp140
  • FACTP140FACT
  • FLJ10857
  • FLJ14010
  • FLJ34357
  • hSPT16
  • SPT16/CDC68
  • suppressor of Ty (S.cerevisiae) 16 homolog
  • suppressor of Ty 16 homolog (S. cerevisiae)