SNRPB2 Products

Antibodies
SNRPB2 Antibody - BSA Free
SNRPB2 Antibody - BSA Free
NBP3-45874
Species: Hu, Mu, Rt
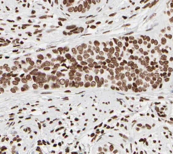
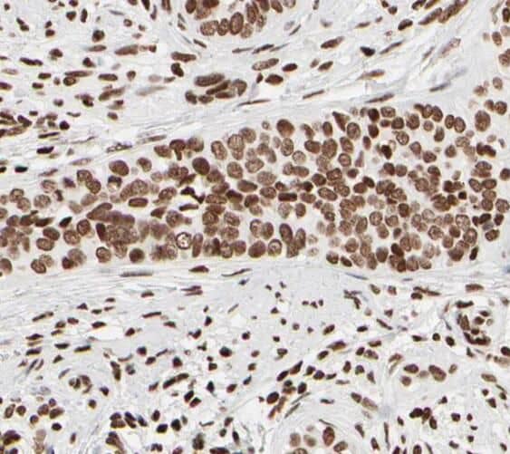
Applications: WB, ELISA, ICC/IF, IHC, IP
Host: Rabbit Polyclonal
SNRPB2 Antibody - BSA Free
SNRPB2 Antibody - BSA Free
NBP2-69013
Species: Hu, Rt
Applications: WB, IHC
Host: Rabbit Polyclonal
Formulation Catalog # Availability Price  
Lysates
SNRPB2 Overexpression Lysate
SNRPB2 Overexpression Lysate
NBL1-16289
Species: Hu
Applications: WB
SNRPB2 Overexpression Lysate
SNRPB2 Overexpression Lysate
NBL1-16288
Species: Hu
Applications: WB
Proteins
Recombinant Human SNRPB2 His ...
Recombinant Human SNRPB2 His Protein
NBP1-72292
Species: Hu
Applications: PAGE
SNRPB2 Recombinant Protein An ...
SNRPB2 Recombinant Protein Antigen
NBP2-69013PEP
Species: Hu
Applications: AC
SNRPB2 Recombinant Protein An ...
SNRPB2 Recombinant Protein Antigen
NBP2-58608PEP
Species: Hu
Applications: AC

Description

The protein encoded by the SNRPB2 gene associates with stem loop IV of U2 small nuclear ribonucleoprotein (U2 snRNP) in the presence of snRNP-A'. The encoded protein may play a role in pre-mRNA splicing. Autoantibodies from patients with systemic lupus erythematosus frequently recognize epitopes on the encoded protein. Two transcript variants encoding the same protein have been found for this gene. (provided by RefSeq)

Bioinformatics

Entrez Human
Uniprot Human
Human
Human
Human
Product By Gene ID 6629
Alternate Names
  • MGC24807
  • MGC45309
  • Msl1
  • small nuclear ribonucleoprotein polypeptide B
  • small nuclear ribonucleoprotein polypeptide B''
  • small nuclear ribonucleoprotein polypeptide B2
  • U2 small nuclear ribonucleoprotein B''
  • U2 snRNP B''