MARCH10 Products

Antibodies
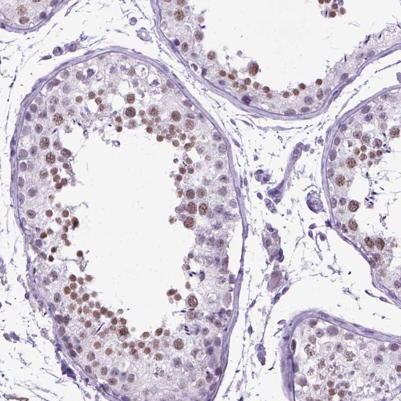
MARCH10 Antibody - BSA Free
MARCH10 Antibody - BSA Free
NBP1-89833
Species: Hu
Applications: ICC/IF, IHC
Host: Rabbit Polyclonal
Formulation Catalog # Availability Price  
MARCH10 Antibody
MARCH10 Antibody
NBP1-28483
Species: Hu, Rt, Bv
Applications: WB, ELISA, IHC
Host: Goat Polyclonal
MARCH10 Antibody - Azide and ...
MARCH10 Antibody - Azide and BSA Free
H00162333-D01P
Species: Hu, Mu
Applications: WB
Host: Rabbit Polyclonal
Lysates
MARCH10 Overexpression Lysate ...
MARCH10 Overexpression Lysate
NBP2-11425
Species: Hu
Applications: WB
MARCH10 Overexpression Lysate ...
MARCH10 Overexpression Lysate
NBL1-07138
Species: Hu
Applications: WB
Proteins
MARCH10 Recombinant Protein A ...
MARCH10 Recombinant Protein Antigen
NBP1-89833PEP
Species: Hu
Applications: AC

Bioinformatics

Entrez Human
Rat
Uniprot Human
Human
Human
Human
Human
Human
Product By Gene ID 162333
Alternate Names
  • EC 6.3.2.-
  • FLJ35757
  • MARCH-Xprobable E3 ubiquitin-protein ligase MARCH10
  • membrane-associated ring finger (C3HC4) 10
  • Membrane-associated RING finger protein 10
  • Membrane-associated RING-CH protein X
  • RING finger protein 190RNF190

Research Areas for MARCH10

Find related products by research area and learn more about each of the different research areas below.

Zinc Finger