HMG2L1 Products

Antibodies
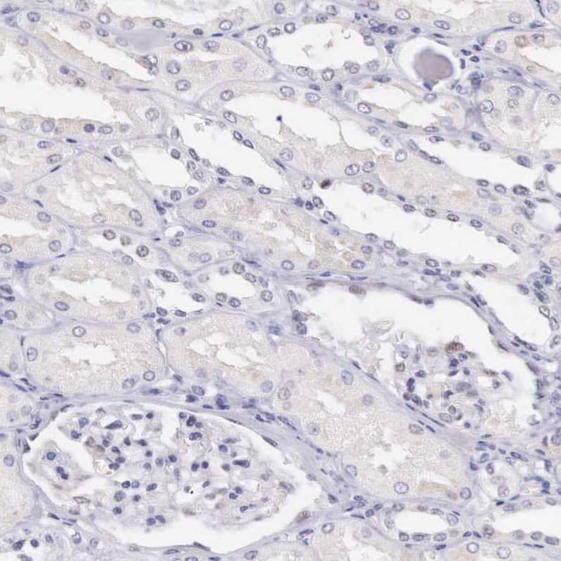
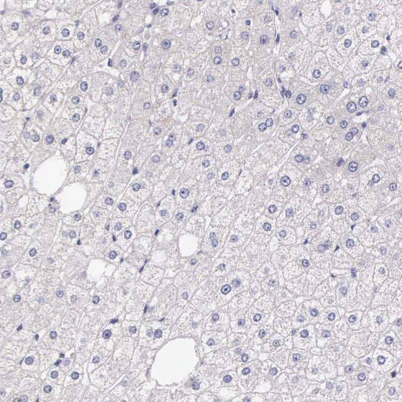
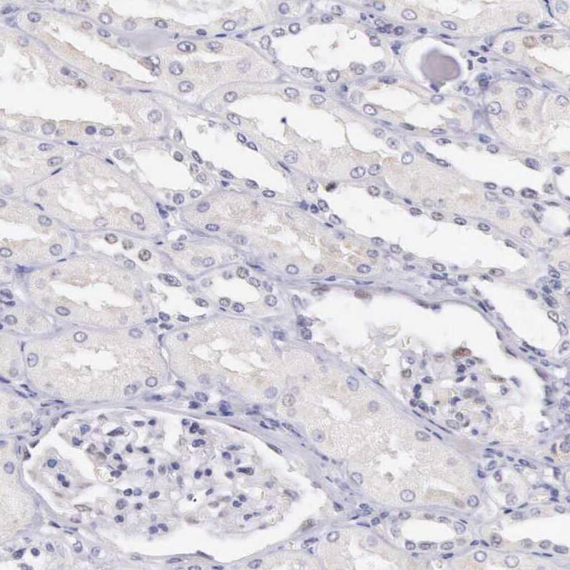
HMG2L1 Antibody - BSA Free
HMG2L1 Antibody - BSA Free
NBP1-91995
Species: Hu
Applications: IHC
Host: Rabbit Polyclonal
Formulation Catalog # Availability Price  
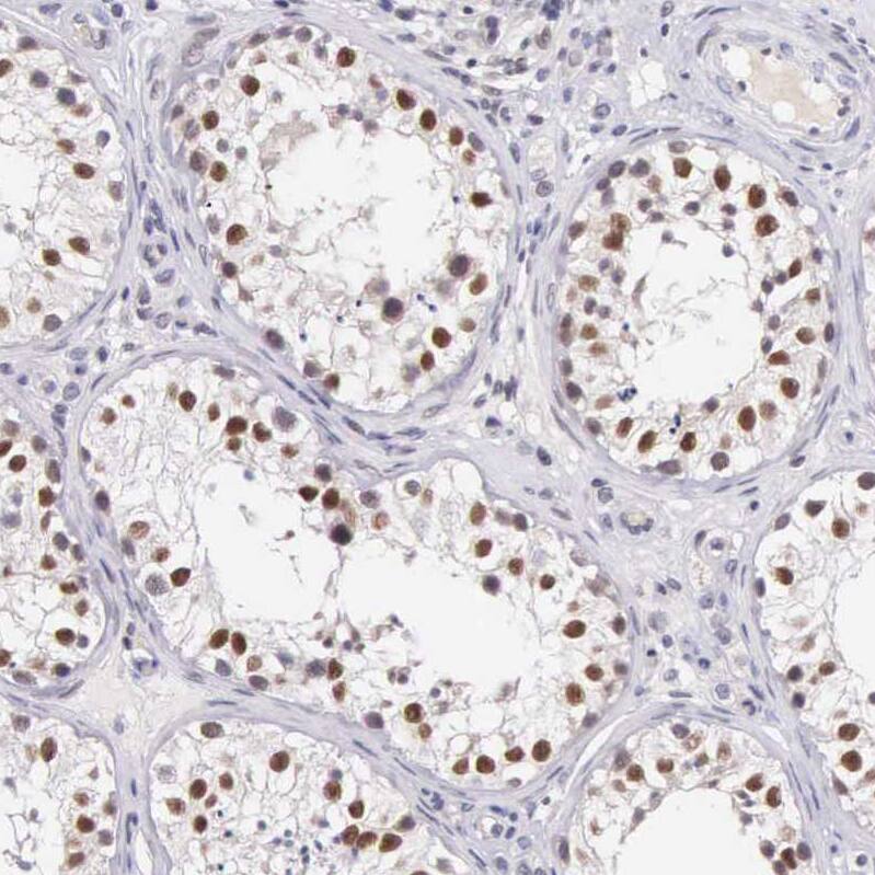
HMG2L1 Antibody (3C12) - Azid ...
HMG2L1 Antibody (3C12) - Azide and...
H00010042-M03
Species: Hu
Applications: WB, ELISA, ICC/IF, IHC
Host: Mouse Monoclonal
Lysates
HMG2L1 Overexpression Lysate
HMG2L1 Overexpression Lysate
NBP2-11296
Species: Hu
Applications: WB
HMG2L1 Overexpression Lysate
HMG2L1 Overexpression Lysate
NBL1-11608
Species: Hu
Applications: WB
Proteins
HMG2L1 Recombinant Protein An ...
HMG2L1 Recombinant Protein Antigen
NBP3-17260PEP
Species: Hu
Applications: AC
HMG2L1 Recombinant Protein An ...
HMG2L1 Recombinant Protein Antigen
NBP1-91995PEP
Species: Hu
Applications: AC

Description

Negatively regulates Wnt/beta-catenin signaling during development

Bioinformatics

Entrez Human
Uniprot Human
Human
Human
Product By Gene ID 10042
Alternate Names
  • High mobility group protein 2-like 1
  • high-mobility group protein 2-like 1
  • HMG box domain containing 4
  • HMG domain-containing protein 4
  • HMG2L1HMG box-containing protein 4
  • HMGBCG
  • Protein HMGBCG
  • THC211630