Fc gamma RIIIB/CD16b Products

Antibodies
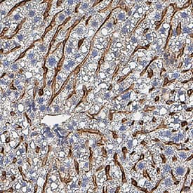
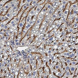
Fc gamma RIIIB/CD16b Antibody ...
Fc gamma RIIIB/CD16b Antibody (316...
MAB11667
Species: Mu
Applications: WB, IHC, ICC/IF, mIF
Host: Rabbit Monoclonal
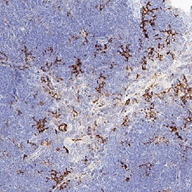
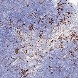
Fc gamma RIIIB/CD16b Antibody ...
Fc gamma RIIIB/CD16b Antibody (110...
Species: Mu
Applications: WB, IHC, mIF
Host: Rat Monoclonal
Formulation Catalog # Availability Price  
Fc gamma RIIIB/CD16b Antibody ...
Fc gamma RIIIB/CD16b Antibody (BLR...
NBP3-14737
Species: Hu
Applications: WB, ICC/IF, IHC, mIF
Host: Rabbit Monoclonal
ELISA Kits
Human Fc gamma RIIIB/CD16b EL ...
Human Fc gamma RIIIB/CD16b ELISA K...
NBP3-00384
Species: Hu
Applications: ELISA
Proteins
Recombinant Human Fc gamma RI ...
Recombinant Human Fc gamma RIIIB/C...
1597-FC/CF
Species: Hu
Applications: Binding Activity
Formulation Catalog # Availability Price  
Recombinant Human Fc gamma RI ...
Recombinant Human Fc gamma RIIIB/C...
AVI11507
Species: Hu
Applications: Bioactivity
Conjugate Catalog # Availability Size Price
Formulation Catalog # Availability Price  
Recombinant Human Fc gamma RI ...
Recombinant Human Fc gamma RIIIB/C...
9948-FC
Species: Hu
Applications: Bioactivity
Formulation Catalog # Availability Price  

Description

CD16 (FcgRIII) is a 50-65 kDa glycoprotein serving as a low affinity IgG receptor. Human FcgRIII is expressed in two forms FcgRIII-A and -B. FcgRIII-A is a transmembrane protein of monocytes, macrophages, NK cells and a subset of T cells. It is associated with FceRI-g subunit and is responsible for antibody-dependent NK cell cytotoxicity. Mast cell FcgRIII-A is associated, moreover, with FceRI-b subunit. Besides IgG, FceRI-A can be triggered also by oligomeric IgE. FcgRIII-B is a GPI-linked monomeric receptor expressed on neutrophils and is involved in their activation and induction of a proadhesive phenotype.

Bioinformatics

Entrez Human
Uniprot Human
Product By Gene ID 2215
Alternate Names
  • CD16
  • CD16b antigen
  • CD16B
  • CD16b
  • Fc fragment of IgG, low affinity IIIb, receptor (CD16b)
  • Fc fragment of IgG, low affinity IIIb, receptor for (CD16)
  • FCG3
  • Fc-gamma receptor IIIb (CD 16)
  • Fc-gamma RIII
  • Fc-gamma RIIIb
  • Fc-gamma RIII-beta
  • FCGR3
  • FcR-10
  • fcR-10
  • fcRIII
  • FcRIII
  • FcRIIIb
  • fcRIIIb
  • IGFR3
  • IgG Fc receptor III-1
  • low affinity immunoglobulin gamma Fc region receptor III-B