ELOVL2 Products

Antibodies
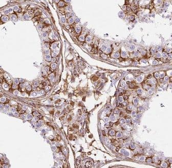
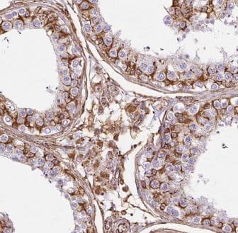
ELOVL2 Antibody - BSA Free
ELOVL2 Antibody - BSA Free
NBP3-46576
Species: Hu, Mu, Rt
Applications: ELISA, IHC
Host: Rabbit Polyclonal
ELOVL2 Antibody - Azide and B ...
ELOVL2 Antibody - Azide and BSA Free
NBP3-04888
Species: Hu, Rt
Applications: WB
Host: Rabbit Polyclonal
Formulation Catalog # Availability Price  
Proteins
Recombinant Human ELOVL2 GST ...
Recombinant Human ELOVL2 GST (N-Te...
H00054898-P01
Species: Hu
Applications: WB, ELISA, MA, AP

Description

Could be implicated in tissue-specific synthesis of very long chain fatty acids and sphingolipids. May catalyze one or both of the reduction reaction in fatty acid elongation, i.e., conversion of beta-ketoacyl CoA to beta-hydroxyacyl CoA or reduction of trans-2-enoyl CoA to the saturated acyl CoA derivative

Bioinformatics

Product By Gene ID 54898
Alternate Names
  • EC 2.3.1.n8
  • elongation of very long chain fatty acids (FEN1/Elo2, SUR4/Elo3, yeast)-like 2
  • FLJ20334
  • Ssc2
  • SSC2elongation of very long chain fatty acids protein 2,3-keto acyl-CoA synthase ELOVL2

Research Areas for ELOVL2

Find related products by research area and learn more about each of the different research areas below.

Cancer
Cardiovascular Biology
Diabetes Research
Signal Transduction