Skip to main content
Support: 1-888-506-6887
Items in Cart (
0
)
[X]
Quick Order
Account
COVID-19 Research Tools
Antibodies
Primary Antibodies
Conjugated Antibodies
Sample Size Antibodies
KO Validated Antibodies
Recombinant Antibodies
Antibody Sampler Packs
Antibody Pairs
Secondary Antibodies
Isotype Control Antibodies
Proteins and Peptides
Peptides & Proteins
Blocking Peptides
Biologically Active Proteins
Lysates and Cell Lines
Lysates
Stem Cell Lines
Kits
Antibody Labeling Kits
ChIP Kits
ELISA Kits
Flow Cytometry Kits
Activators and Inhibitors
Inhibitors
Activators
Support Products
Exosome Isolation
Flow Cytometry Beads
IHC Tissue Slides
IHC Microarrays
Western Blot Gels & Buffers
Western Blot Membranes
All Support Products
Bulk and Custom
Products
Our Protocols
Resources
Protocols
Video Protocols
Troubleshooting Guides
Posters and Literature
Handbooks and Guides
Calculators
FAQs
Blogs
Diseases
Whitepapers
Webinars
Tools
Spectra Viewer
Flow Cytometry Panel Builder
Application
ELISA
Flow Cytometry
Mass Cytometry (CyTOF)
ICC
IHC
Western Blotting
Interviews
Faculty
Postdoc
Resources
View Pathways
By Research Area
Apoptosis
Autophagy
Cancer
Cell Biology
Cellular Markers
Epigenetics
Epitope Tags
Exosomes Research
Hypoxia
Immunology
Microbiology
Neuroscience
Stem Cells
By Pathway
AKT
Apoptosis
Autophagy
ERK1/2/5 Pathway
Hedgehog
Hippo
JNK Pathway
mTOR
Necroptosis
NFKB Signaling
p38 Signaling
TGF Beta
TLR
Research Areas
Get Rewards
Customer Care
100% Guarantee
Risk Free Testing
Novus Rewards Program
Publication Rewards Program
Scholarship
Travel Grants
Customer Care
Novus Careers
About us
Careers
Collaborations
Events
Novus Story
Our Team
Philanthropy
Press Releases
Why choose Novus
About Us
Contact Us
Customer Service
Distributors
Technical Support
Contact
Home
» Creatine Kinase BB Products
Creatine Kinase BB Products
Creatine Kinase BB Antibodies (49)
Creatine Kinase BB ELISA Kit (1)
Creatine Kinase BB Lysate (1)
Creatine Kinase BB Proteins (2)
Antibodies
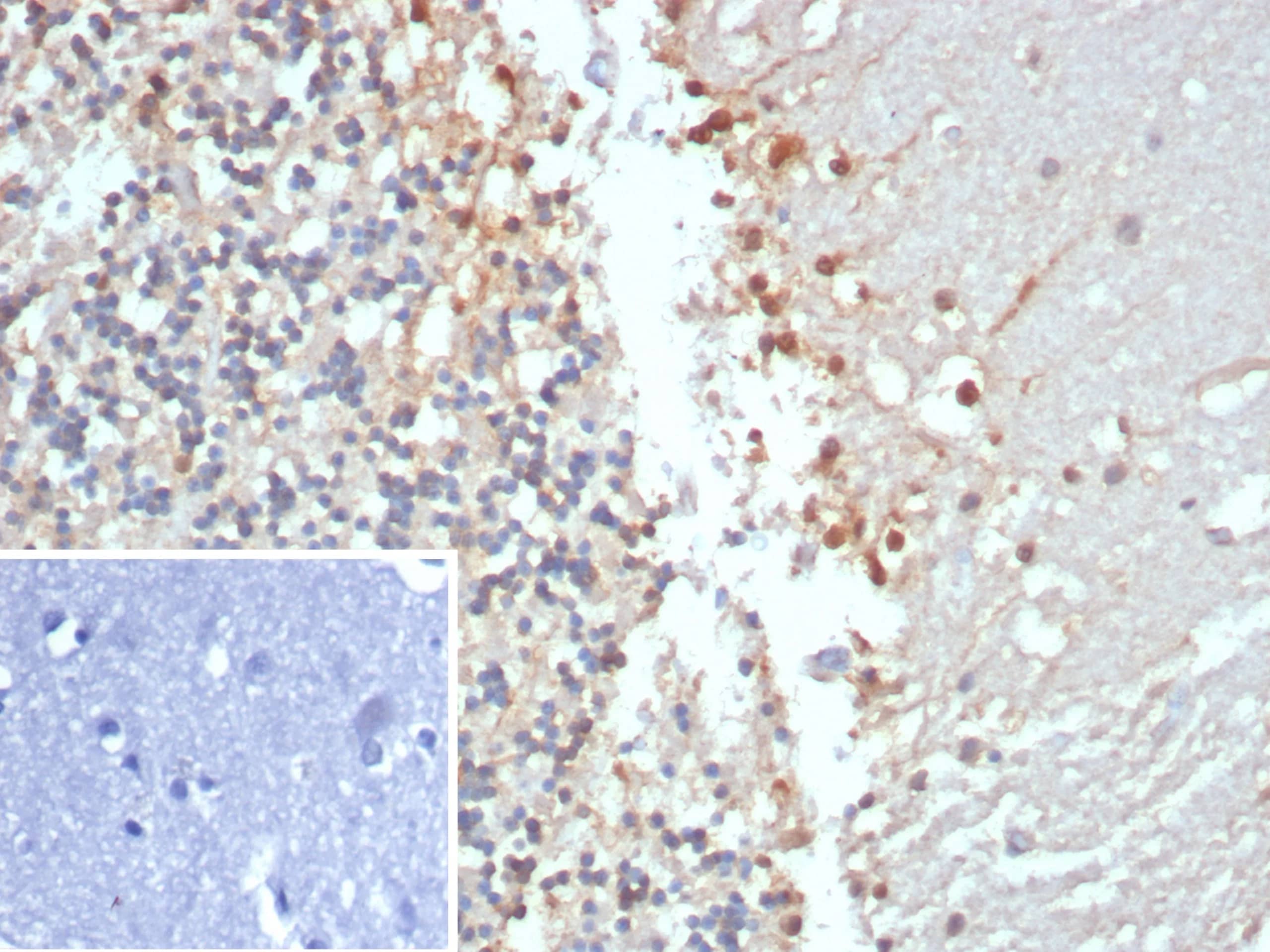
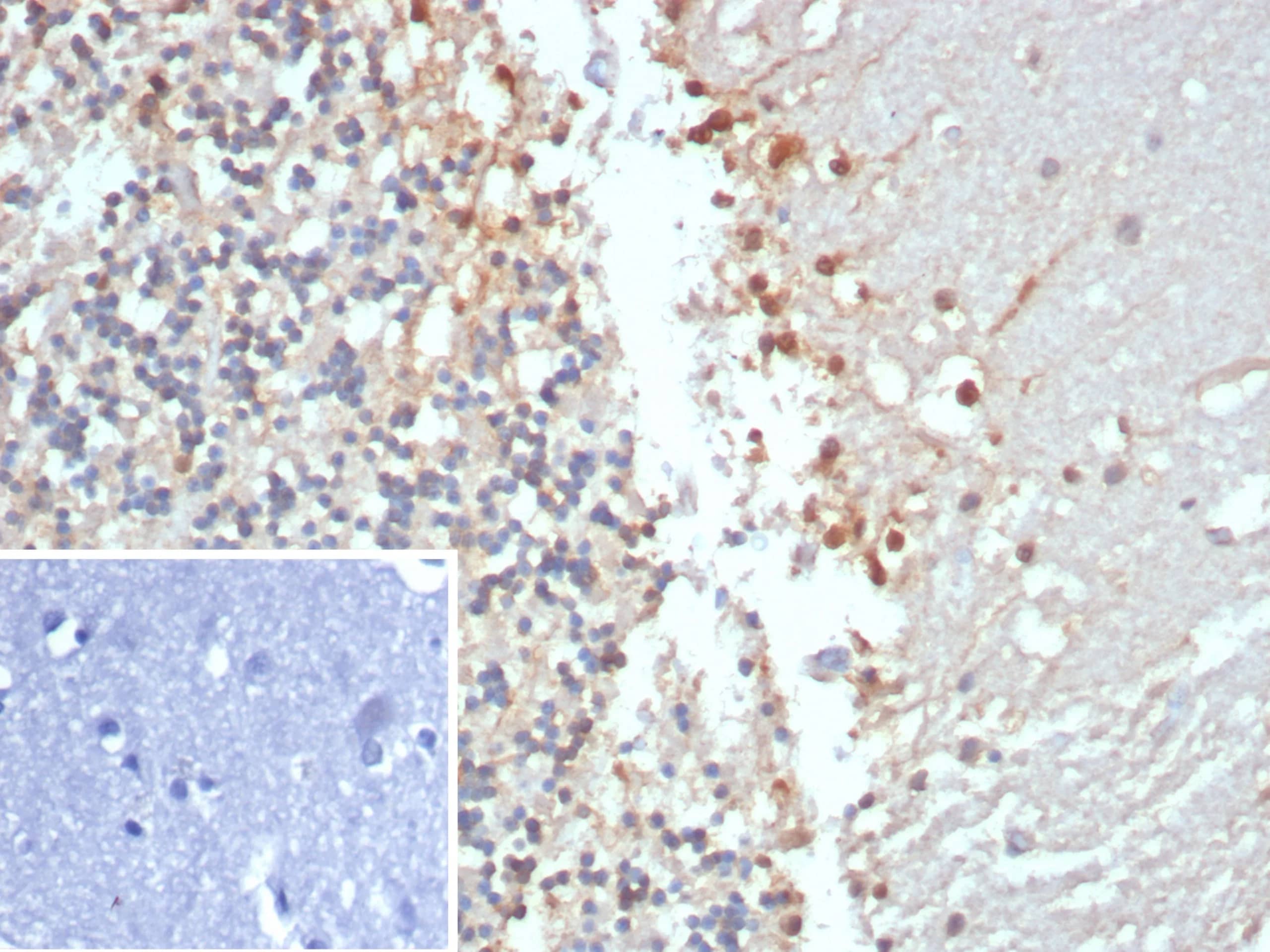
Creatine Kinase BB Antibody - ...
Creatine Kinase BB Antibody - BSA ...
NBP1-84460
(4 Publications)
Species:
Hu, Mu, Rt
Applications:
ICC/IF, IHC
Host:
Rabbit Polyclonal
Formulations
Formulation
Catalog #
Availability
Price
BSA Free
NBP1-84460-25ul
Creatine Kinase BB Antibody ( ...
Creatine Kinase BB Antibody (96940...
MAB9076
(1 Publication)
Species:
Hu, Mu, Rt
Applications:
WB, ICC/IF
Host:
Mouse Monoclonal
Conjugates
Conjugate
Catalog #
Availability
Size
Price
Alexa Fluor 350
FAB9076U-100UG
Alexa Fluor 405
FAB9076V-100UG
Alexa Fluor 488
FAB9076G-100UG
Alexa Fluor 532
FAB9076X-100UG
Alexa Fluor 594
FAB9076T-100UG
Alexa Fluor 647
FAB9076R-100UG
Alexa Fluor 700
FAB9076N-100UG
Alexa Fluor 750
FAB9076S-100UG
Allophycocyanin
FAB9076A
Biotin
FAB9076B
CoraFluor 1
FAB9076CL1
DyLight 350
FAB9076D
DyLight 405
FAB9076E
DyLight 488
FAB9076K
DyLight 550
FAB9076L
DyLight 594
FAB9076M
DyLight 650
FAB9076W
DyLight 680
FAB9076Y
DyLight 755
FAB9076Z
FITC
FAB9076F
HRP
FAB9076H
Janelia Fluor 525
FAB9076JF525
Janelia Fluor 549
FAB9076I
Janelia Fluor 646
FAB9076J
Janelia Fluor 669
FAB9076JF669
PE
FAB9076P
PerCP
FAB9076C
mFluor Violet 450 SE
FAB9076MFV450
mFluor Violet 500 SE
FAB9076MFV500
mFluor Violet 610 SE
FAB9076MFV610
Formulations
Formulation
Catalog #
Availability
Price
Carrier Free
MAB9076-100
Carrier Free
MAB9076-SP
Creatine Kinase BB Antibody ( ...
Creatine Kinase BB Antibody (CKBB/...
NBP3-49602
Species:
Hu
Applications:
WB, IHC
Host:
Rabbit Monoclonal
Conjugates
Conjugate
Catalog #
Availability
Size
Price
Alexa Fluor Plus 405
NBP3-49602AFP405
Alexa Fluor Plus 488
NBP3-49602AFP488
Alexa Fluor Plus 555
NBP3-49602AFP555
Alexa Fluor Plus 594
NBP3-49602AFP594
Alexa Fluor Plus 647
NBP3-49602AFP647
Alexa Fluor Plus 680
NBP3-49602AFP680
Read More
Read More
Read More
We have 49 Creatine Kinase BB Antibodies
ELISA Kits
Human Creatine Kinase BB ELIS ...
Human Creatine Kinase BB ELISA Kit...
NBP2-75288
Species:
Hu
Applications:
ELISA
Read More
We have 1 Creatine Kinase BB ELISA Kit
Lysates
Creatine Kinase BB Overexpres ...
Creatine Kinase BB Overexpression ...
NBL1-09218
Species:
Hu
Applications:
WB
Read More
We have 1 Creatine Kinase BB Lysate
Proteins
Recombinant Human Creatine Ki ...
Recombinant Human Creatine Kinase ...
9076-CK
Species:
Hu
Applications:
Enzyme Activity
Formulations
Formulation
Catalog #
Availability
Price
Carrier Free
9076-CK-050
Creatine Kinase BB Recombinan ...
Creatine Kinase BB Recombinant Pro...
NBP1-84460PEP
Species:
Hu
Applications:
AC
Read More
Read More
We have 2 Creatine Kinase BB Proteins
Bioinformatics
Product By Gene ID
1152
Alternate Names
Creatine Kinase Isoenzyme
Need help?
×
How can we help you?
Close
Start Chat