CoREST3/RCOR3 Products

Antibodies
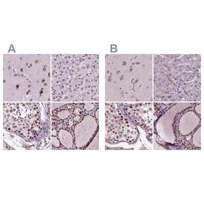
CoREST3/RCOR3 Antibody - BSA ...
CoREST3/RCOR3 Antibody - BSA Free
NBP1-83820
Species: Hu, Mu, Rt
Applications: ICC/IF, IHC
Host: Rabbit Polyclonal
Formulation Catalog # Availability Price  
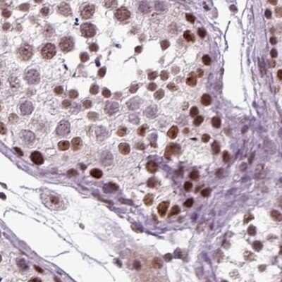
CoREST3/RCOR3 Antibody
CoREST3/RCOR3 Antibody
NB100-60637
Species: Hu, Mu
Applications: WB, ICC/IF, IHC, IP
Host: Rabbit Polyclonal
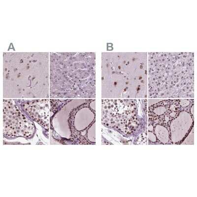
CoREST3/RCOR3 Antibody - BSA ...
CoREST3/RCOR3 Antibody - BSA Free
NBP2-68930
Species: Hu, Mu, Rt
Applications: IHC
Host: Rabbit Polyclonal
Formulation Catalog # Availability Price  
ELISA Kits
Human CoREST3/RCOR3 ELISA Kit ...
Human CoREST3/RCOR3 ELISA Kit (Col...
NBP2-82528
Species: Hu
Applications: ELISA
Lysates
CoREST3/RCOR3 Overexpression ...
CoREST3/RCOR3 Overexpression Lysate
NBP2-06838
Species: Hu
Applications: WB
Proteins
CoREST3/RCOR3 Recombinant Pro ...
CoREST3/RCOR3 Recombinant Protein ...
NBP2-68930PEP
Species: Hu
Applications: AC
CoREST3/RCOR3 Recombinant Pro ...
CoREST3/RCOR3 Recombinant Protein ...
NBP1-83820PEP
Species: Hu
Applications: AC

Description

RCOR3 is a member of the coREST family that functions as a co-repressor for REST (RE1-silencing transcription factor) to regulate neuronal gene expression and neuronal stem cell fate. The coREST family includes RCOR1, also known as coREST, RCOR2, and RCOR3. REST complexes regulate gene expression by modifying chromatin to create a repressive epigenetic environment. Alternate names for RCOR3 include KIAA1343, FLJ10876, FLJ16298, and RP11-318L16.1.

Bioinformatics

Entrez Mouse
Human
Uniprot Human
Human
Human
Product By Gene ID 55758
Alternate Names
  • FLJ10876
  • FLJ16298
  • KIAA1343
  • REST corepressor 3
  • RP11-318L16.1