Skip to main content
Support: 1-888-506-6887
Items in Cart (
0
)
[X]
Quick Order
Account
COVID-19 Research Tools
Antibodies
Primary Antibodies
Conjugated Antibodies
Sample Size Antibodies
KO Validated Antibodies
Recombinant Antibodies
Antibody Sampler Packs
Antibody Pairs
Secondary Antibodies
Isotype Control Antibodies
Proteins and Peptides
Peptides & Proteins
Blocking Peptides
Biologically Active Proteins
Lysates and Cell Lines
Lysates
Stem Cell Lines
Kits
Antibody Labeling Kits
ChIP Kits
ELISA Kits
Flow Cytometry Kits
Activators and Inhibitors
Inhibitors
Activators
Support Products
Exosome Isolation
Flow Cytometry Beads
IHC Tissue Slides
IHC Microarrays
Western Blot Gels & Buffers
Western Blot Membranes
All Support Products
Bulk and Custom
Products
Our Protocols
Resources
Protocols
Video Protocols
Troubleshooting Guides
Posters and Literature
Handbooks and Guides
Calculators
FAQs
Blogs
Diseases
Whitepapers
Webinars
Tools
Spectra Viewer
Flow Cytometry Panel Builder
Application
ELISA
Flow Cytometry
Mass Cytometry (CyTOF)
ICC
IHC
Western Blotting
Interviews
Faculty
Postdoc
Resources
View Pathways
By Research Area
Apoptosis
Autophagy
Cancer
Cell Biology
Cellular Markers
Epigenetics
Epitope Tags
Exosomes Research
Hypoxia
Immunology
Microbiology
Neuroscience
Stem Cells
By Pathway
AKT
Apoptosis
Autophagy
ERK1/2/5 Pathway
Hedgehog
Hippo
JNK Pathway
mTOR
Necroptosis
NFKB Signaling
p38 Signaling
TGF Beta
TLR
Research Areas
Get Rewards
Customer Care
100% Guarantee
Risk Free Testing
Novus Rewards Program
Publication Rewards Program
Scholarship
Travel Grants
Customer Care
Novus Careers
About us
Careers
Collaborations
Events
Novus Story
Our Team
Philanthropy
Press Releases
Why choose Novus
About Us
Contact Us
Customer Service
Distributors
Technical Support
Contact
Home
» CMSS1 Products
CMSS1 Products
CMSS1 Antibodies (4)
CMSS1 Lysate (1)
CMSS1 Protein (1)
Antibodies
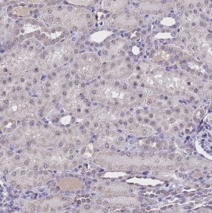
CMSS1 Antibody - BSA Free
CMSS1 Antibody - BSA Free
NBP1-81078
Species:
Hu
Applications:
WB, ICC/IF, IHC
Host:
Rabbit Polyclonal
Formulations
Formulation
Catalog #
Availability
Price
BSA Free
NBP1-81078-25ul
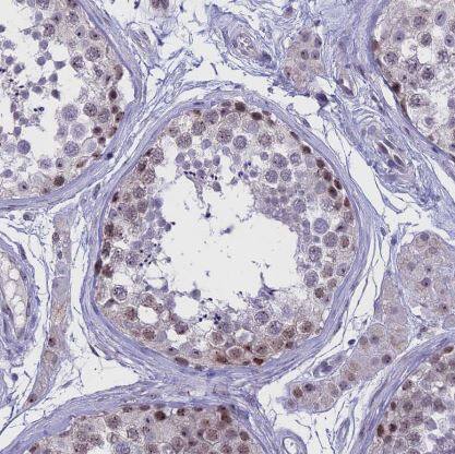
CMSS1 Antibody - BSA Free
CMSS1 Antibody - BSA Free
NBP2-82714
Species:
Hu
Applications:
WB
Host:
Rabbit Polyclonal
Formulations
Formulation
Catalog #
Availability
Price
BSA Free
NBP2-82714-0.1ml
CMSS1 Antibody - BSA Free
CMSS1 Antibody - BSA Free
NBP2-82707
Species:
Hu
Applications:
WB
Host:
Rabbit Polyclonal
Formulations
Formulation
Catalog #
Availability
Price
BSA Free
NBP2-82707-0.1ml
Read More
Read More
Read More
We have 4 CMSS1 Antibodies
Lysates
CMSS1 Overexpression Lysate
CMSS1 Overexpression Lysate
NBL1-08441
Species:
Hu
Applications:
WB
Read More
We have 1 CMSS1 Lysate
Proteins
CMSS1 Recombinant Protein Ant ...
CMSS1 Recombinant Protein Antigen
NBP1-81078PEP
Species:
Hu
Applications:
AC
Read More
We have 1 CMSS1 Protein
Bioinformatics
Entrez
84319
Human
Uniprot
NM_032359
Human
Product By Gene ID
84319
Alternate Names
C3orf26
chromosome 3 open reading frame 26
cms1 ribosomal small subunit homolog (yeast)
hypothetical protein LOC84319
MGC4308
Need help?
×
How can we help you?
Close
Start Chat