Calsyntenin-2 Products

Antibodies
ELISA Kits
Human Calsyntenin-2 ELISA Kit ...
Human Calsyntenin-2 ELISA Kit (Col...
NBP3-27400
Species: Hu
Applications: ELISA
Human Calsyntenin-2 - Ready- ...
Human Calsyntenin-2 - Ready-To-Us...
NBP3-31174
Species: Hu
Applications: ELISA
Lysates
Calsyntenin-2 Overexpression ...
Calsyntenin-2 Overexpression Lysate
NBL1-09285
Species: Hu
Applications: WB
Proteins
Recombinant Human Calsyntenin ...
Recombinant Human Calsyntenin-2 Pr...
5480-CL
Species: Hu
Applications: Bioactivity
Formulation Catalog # Availability Price  
Calsyntenin-2 Recombinant Pro ...
Calsyntenin-2 Recombinant Protein ...
NBP1-85705PEP
Species: Hu
Applications: AC

Description

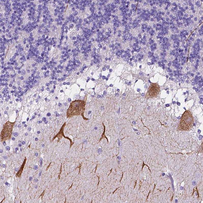
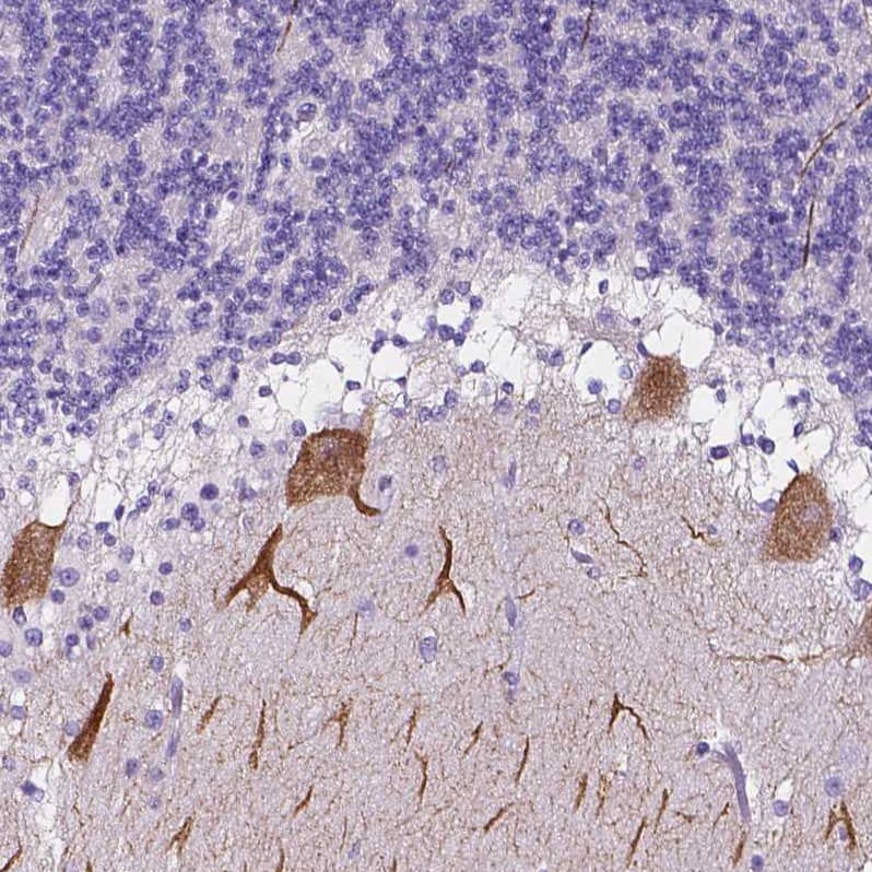
CLSTN2 may modulate calcium-mediated postsynaptic signals

Bioinformatics

Entrez Human
Uniprot Human
Human
Human
Product By Gene ID 64084
Alternate Names
  • alcadein gamma
  • Alcadein-gamma
  • alcagamma
  • Alc-gamma
  • ALC-GAMMA
  • cadherin-related family member 13
  • calsyntenin 2
  • calsyntenin-2
  • CDHR13
  • CS2alcadein-gamma
  • CSTN2
  • FLJ39113
  • FLJ39499
  • MGC119560