Skip to main content
Support: 1-888-506-6887
Items in Cart (
0
)
[X]
Quick Order
Account
COVID-19 Research Tools
Antibodies
Primary Antibodies
Conjugated Antibodies
Sample Size Antibodies
KO Validated Antibodies
Recombinant Antibodies
Antibody Sampler Packs
Antibody Pairs
Secondary Antibodies
Isotype Control Antibodies
Proteins and Peptides
Peptides & Proteins
Blocking Peptides
Biologically Active Proteins
Lysates and Cell Lines
Lysates
Stem Cell Lines
Kits
Antibody Labeling Kits
ChIP Kits
ELISA Kits
Flow Cytometry Kits
Activators and Inhibitors
Inhibitors
Activators
Support Products
Exosome Isolation
Flow Cytometry Beads
IHC Tissue Slides
IHC Microarrays
Western Blot Gels & Buffers
Western Blot Membranes
All Support Products
Bulk and Custom
Products
Our Protocols
Resources
Protocols
Video Protocols
Troubleshooting Guides
Posters and Literature
Handbooks and Guides
Calculators
FAQs
Blogs
Diseases
Whitepapers
Webinars
Tools
Spectra Viewer
Flow Cytometry Panel Builder
Application
ELISA
Flow Cytometry
Mass Cytometry (CyTOF)
ICC
IHC
Western Blotting
Interviews
Faculty
Postdoc
Resources
View Pathways
By Research Area
Apoptosis
Autophagy
Cancer
Cell Biology
Cellular Markers
Epigenetics
Epitope Tags
Exosomes Research
Hypoxia
Immunology
Microbiology
Neuroscience
Stem Cells
By Pathway
AKT
Apoptosis
Autophagy
ERK1/2/5 Pathway
Hedgehog
Hippo
JNK Pathway
mTOR
Necroptosis
NFKB Signaling
p38 Signaling
TGF Beta
TLR
Research Areas
Get Rewards
Customer Care
100% Guarantee
Risk Free Testing
Novus Rewards Program
Publication Rewards Program
Scholarship
Travel Grants
Customer Care
Novus Careers
About us
Careers
Collaborations
Events
Novus Story
Our Team
Philanthropy
Press Releases
Why choose Novus
About Us
Contact Us
Customer Service
Distributors
Technical Support
Contact
Home
» C7orf26 Products
C7orf26 Products
C7orf26 Antibodies (5)
C7orf26 Proteins (2)
Antibodies
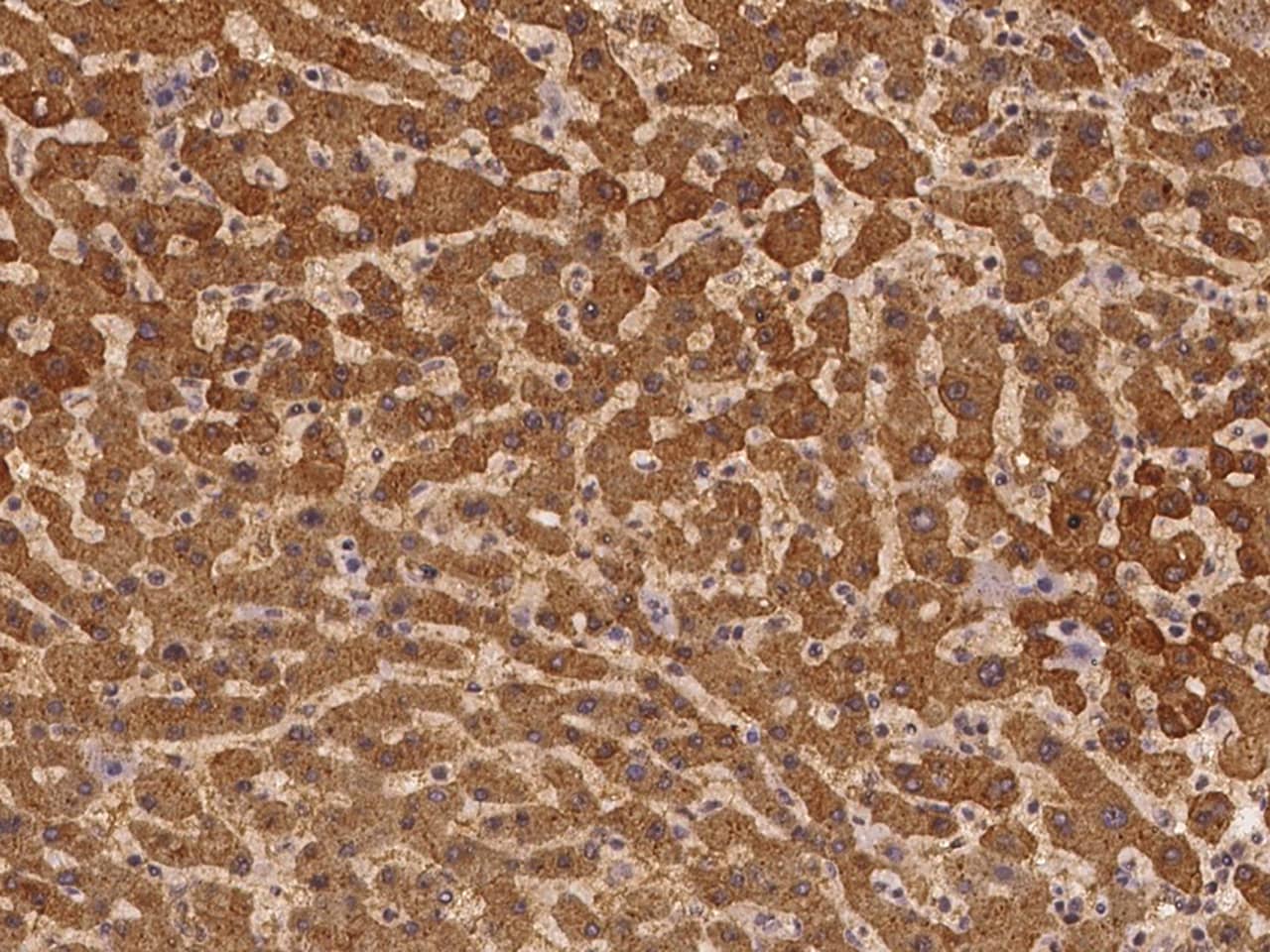
C7orf26 Antibody - BSA Free
C7orf26 Antibody - BSA Free
NBP2-14764
(1 Publication)
Species:
Hu, Mu
Applications:
WB, IHC, IP
Host:
Rabbit Polyclonal
Formulations
Formulation
Catalog #
Availability
Price
BSA Free
NBP2-14764-25ul
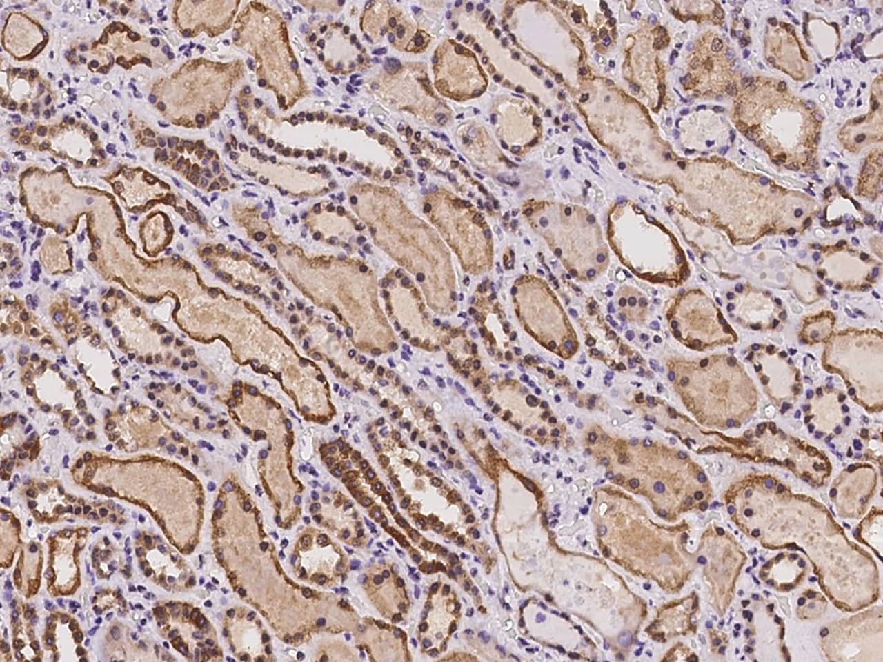
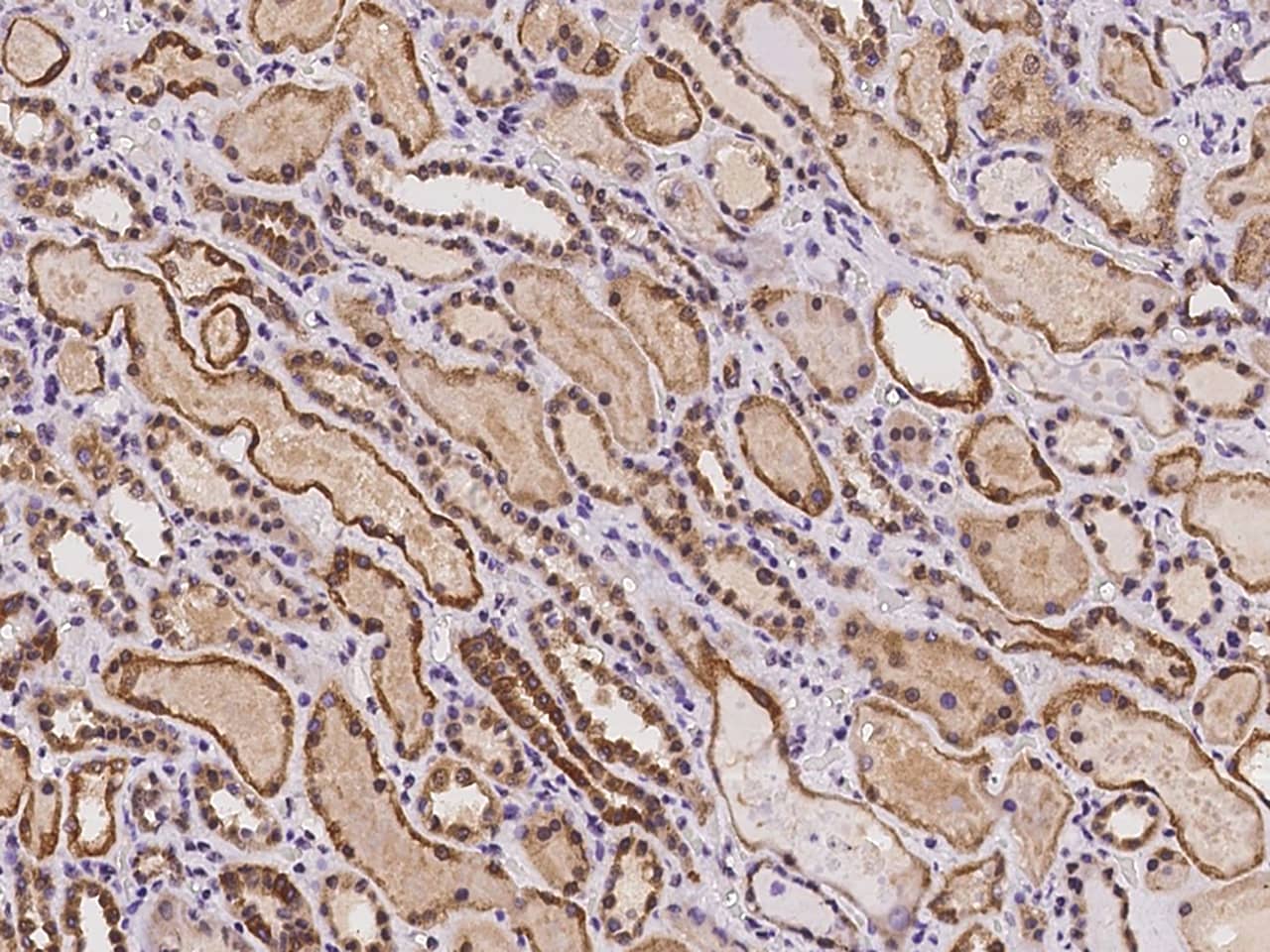
C7orf26 Antibody - BSA Free
C7orf26 Antibody - BSA Free
NBP3-21439
Species:
Hu
Applications:
IHC, IP
Host:
Rabbit Polyclonal
Conjugates
Conjugate
Catalog #
Availability
Size
Price
Alexa Fluor 350
NBP3-21439AF350
Alexa Fluor 405
NBP3-21439AF405
Alexa Fluor 488
NBP3-21439AF488
Alexa Fluor 532
NBP3-21439AF532
Alexa Fluor 594
NBP3-21439AF594
Alexa Fluor 647
NBP3-21439AF647
Alexa Fluor 700
NBP3-21439AF700
Alexa Fluor 750
NBP3-21439AF750
Alexa Fluor Plus 488
NBP3-21439AFP488
Alexa Fluor Plus 555
NBP3-21439AFP555
Alexa Fluor Plus 594
NBP3-21439AFP594
Alexa Fluor Plus 647
NBP3-21439AFP647
Alexa Fluor Plus 680
NBP3-21439AFP680
Allophycocyanin
NBP3-21439APC
Biotin
NBP3-21439B
CoraFluor 1
NBP3-21439CL1
DyLight 350
NBP3-21439UV
DyLight 405
NBP3-21439V
DyLight 488
NBP3-21439G
DyLight 550
NBP3-21439R
DyLight 594
NBP3-21439DL594
DyLight 650
NBP3-21439C
DyLight 680
NBP3-21439FR
DyLight 755
NBP3-21439IR
FITC
NBP3-21439F
HRP
NBP3-21439H
Janelia Fluor 525
NBP3-21439JF525
Janelia Fluor 549
NBP3-21439JF549
Janelia Fluor 646
NBP3-21439JF646
Janelia Fluor 669
NBP3-21439JF669
PE
NBP3-21439PE
PerCP
NBP3-21439PCP
mFluor Violet 450 SE
NBP3-21439MFV450
mFluor Violet 500 SE
NBP3-21439MFV500
mFluor Violet 610 SE
NBP3-21439MFV610
Formulations
Formulation
Catalog #
Availability
Price
BSA Free
NBP3-21439-100ul
BSA Free
NBP3-21439-25ul
C7orf26 Antibody - BSA Free
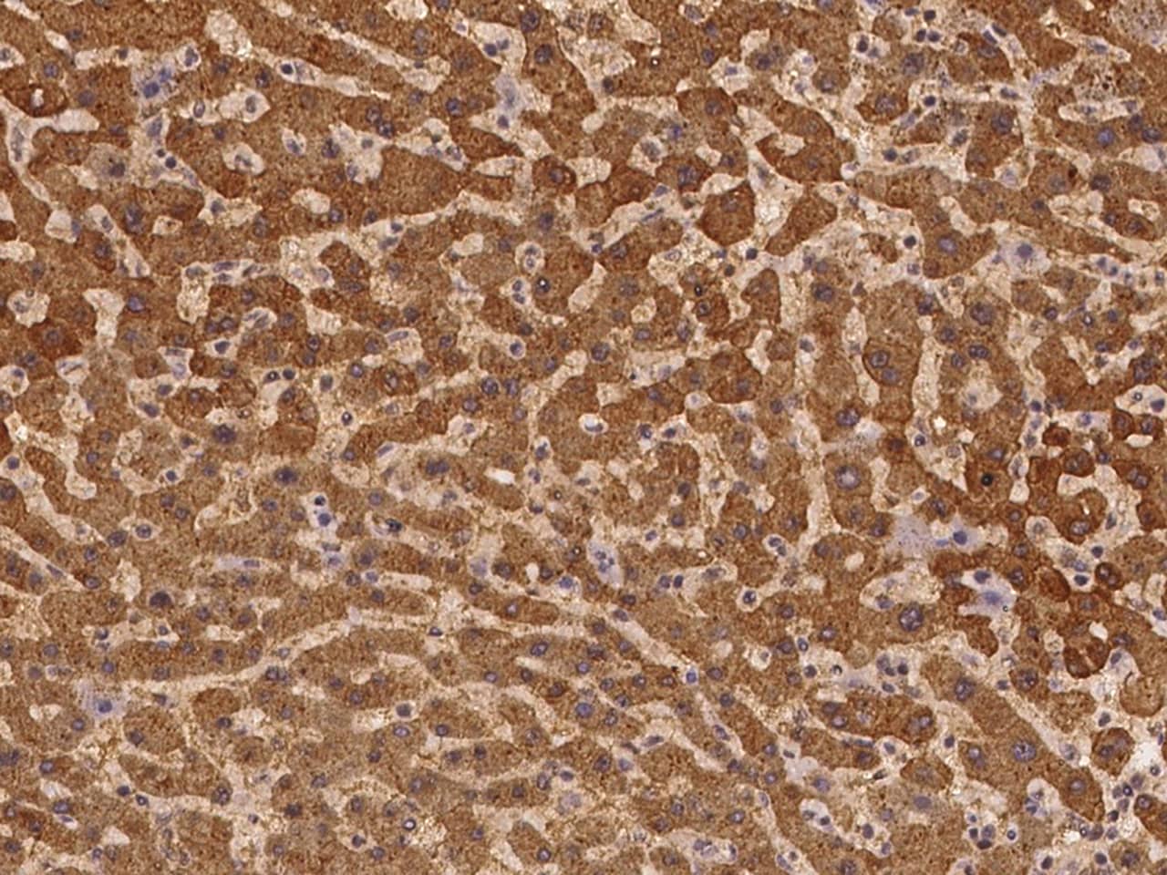
C7orf26 Antibody - BSA Free
NBP2-55233
Species:
Hu, Mu
Applications:
WB, ICC/IF
Host:
Rabbit Polyclonal
Formulations
Formulation
Catalog #
Availability
Price
BSA Free
NBP2-55233-25ul
Read More
Read More
Read More
We have 5 C7orf26 Antibodies
Proteins
C7orf26 Recombinant Protein A ...
C7orf26 Recombinant Protein Antigen
NBP2-14764PEP
Species:
Hu
Applications:
AC
C7orf26 Recombinant Protein A ...
C7orf26 Recombinant Protein Antigen
NBP2-55233PEP
Species:
Hu
Applications:
AC
Read More
Read More
We have 2 C7orf26 Proteins
Bioinformatics
Product By Gene ID
79034
Alternate Names
C7orf26 chromosome 7 open reading frame 26
Need help?
×
How can we help you?
Close
Start Chat