Bax inhibitor 1 Products

Antibodies
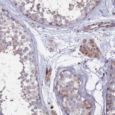
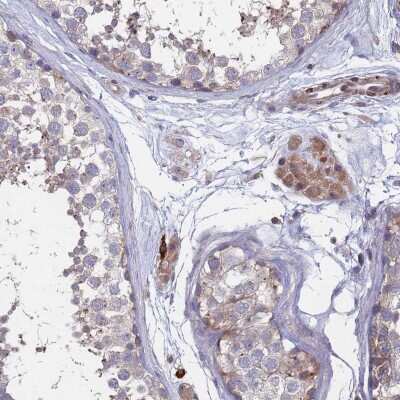
Bax inhibitor 1 Antibody - BS ...
Bax inhibitor 1 Antibody - BSA Free
NBP2-48535
Species: Hu, Mu, Rt
Applications: IHC
Host: Rabbit Polyclonal
Formulation Catalog # Availability Price  
Lysates
Bax inhibitor 1 Overexpressio ...
Bax inhibitor 1 Overexpression Lysate
NBL1-16807
Species: Hu
Applications: WB
Proteins
Bax inhibitor 1 Recombinant P ...
Bax inhibitor 1 Recombinant Protei...
NBP2-48535PEP
Species: Hu
Applications: AC

Bioinformatics

Entrez Human
Uniprot Human
Human
Human
Human
Product By Gene ID 7009
Alternate Names
  • BAXI1
  • BI1
  • BI-1Transmembrane BAX inhibitor motif-containing protein 6
  • TEGTbax inhibitor 1
  • testis enhanced gene transcript
  • Testis-enhanced gene transcript protein
  • transmembrane BAX inhibitor motif containing 6

Research Areas for Bax inhibitor 1

Find related products by research area and learn more about each of the different research areas below.

Apoptosis

Related Bax inhibitor 1 Blog Posts

Check out the latest blog posts on Bax inhibitor 1.
IRE1 alpha - stress no more!
The unfolded protein response (UPR) is a eukaryotic cell mechanism that copes with ER stress and is initiated by three ER-localized sensors: PKR-like ER kinase (PERK), activating transcription factor 6 (ATF6), and inositol-requiring enzyme 1 alpha (IR...    Read more.
Read more Bax inhibitor 1 related blogs.