ASPDH Products

Antibodies
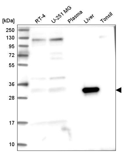
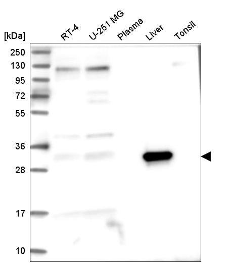
ASPDH Antibody - BSA Free
ASPDH Antibody - BSA Free
NBP1-85832
Species: Hu, Mu
Applications: WB, IHC
Host: Rabbit Polyclonal
Formulation Catalog # Availability Price  
Lysates
ASPDH Overexpression Lysate
ASPDH Overexpression Lysate
NBL1-12619
Species: Hu
Applications: WB
Proteins
ASPDH Recombinant Protein Ant ...
ASPDH Recombinant Protein Antigen
NBP1-86213PEP
Species: Hu
Applications: AC
ASPDH Recombinant Protein Ant ...
ASPDH Recombinant Protein Antigen
NBP1-85832PEP
Species: Hu
Applications: AC

Description

Specifically catalyzes the NAD or NADP-dependent dehydrogenation of L-aspartate to iminoaspartate (Bysimilarity)

Bioinformatics

Entrez Human
Uniprot Human
Human
Product By Gene ID 554235
Alternate Names
  • aspartate dehydrogenase domain containing
  • Aspartate dehydrogenase domain-containing protein
  • EC 1.4.1.21
  • putative L-aspartate dehydrogenase