TMEM206 Antibody

Images

 
Immunohistochemistry-Paraffin: TMEM206 Antibody [NBP1-88325] - Staining of human Rectum shows moderate granular cytoplasmic positivity in glandular cells.
Immunohistochemistry-Paraffin: TMEM206 Antibody [NBP1-88325] - Staining of human Cerebral cortex shows very weak granular cytoplasmic positivity in neuronal cells.
Immunohistochemistry-Paraffin: TMEM206 Antibody [NBP1-88325] - Staining of human Kidney shows strong granular cytoplasmic positivity in cells in tubules.
Immunohistochemistry-Paraffin: TMEM206 Antibody [NBP1-88325] - Staining of human Lymph node shows weak granular cytoplasmic positivity in germinal and non-germinal center cells.
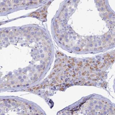
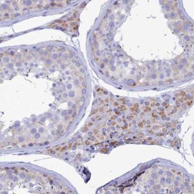
Immunohistochemistry-Paraffin: TMEM206 Antibody [NBP1-88325] - Staining of human Testis shows moderate granular cytoplasmic positivity in Leydig cells.

Product Details

Summary
Product Discontinued
View other related TMEM206 Primary Antibodies

Order Details


    • Catalog Number
      NBP1-88325
    • Availability
      Product Discontinued

    Can't find what you are looking for? Use our Antibody Concierge Service & we will help you locate your antibody!

    Or feel free to contact us for alternative products.

TMEM206 Antibody Summary

Immunogen
This antibody was developed against Recombinant Protein corresponding to amino acids: LKHPVMSVSYKEVDRYDAPGIALYPGQAQLLSCKHHYEVIPPLTSPGQPGDMNCTTQRINYTDPFSNQTVKSALIVQGPREVKKRELVFLQFRLNKSSEDFSAIDYLLFSSFQEFLQSPNRV
Isotype
IgG
Clonality
Polyclonal
Host
Rabbit
Gene
TMEM206
Purity
Immunogen affinity purified
Innovator's Reward
Test in a species/application not listed above to receive a full credit towards a future purchase.

Applications/Dilutions

Dilutions
  • Immunohistochemistry 1:50 - 1:200
  • Immunohistochemistry-Paraffin 1:50 - 1:200
Application Notes
For IHC-Paraffin, HIER pH 6 retrieval is recommended.
Control Peptide
TMEM206 Protein (NBP1-88325PEP)

Reactivity Notes

Immunogen displays the following percentage of sequence identity for non-tested species: Mouse (87%), Rat (89%)

Packaging, Storage & Formulations

Storage
Store at 4C short term. Aliquot and store at -20C long term. Avoid freeze-thaw cycles.
Buffer
PBS (pH 7.2) and 40% Glycerol
Preservative
0.02% Sodium Azide
Purity
Immunogen affinity purified

Alternate Names for TMEM206 Antibody

  • transmembrane protein 206

Limitations

This product is for research use only and is not approved for use in humans or in clinical diagnosis. Primary Antibodies are guaranteed for 1 year from date of receipt.

Publications for TMEM206 Antibody (NBP1-88325) (0)

There are no publications for TMEM206 Antibody (NBP1-88325).
By submitting your publication information earn gift cards and discounts for future purchases.

Reviews for TMEM206 Antibody (NBP1-88325) (0)

There are no reviews for TMEM206 Antibody (NBP1-88325). By submitting a review you will receive an Amazon e-Gift Card or Novus Product Discount.
  • Review with no image -- $10/€7/£6/$10 CAD/¥70 Yuan/¥1110 Yen
  • Review with an image -- $25/€18/£15/$25 CAD/¥150 Yuan/¥2500 Yen

Product General Protocols

Find general support by application which include: protocols, troubleshooting, illustrated assays, videos and webinars.

FAQs for TMEM206 Antibody (NBP1-88325) (0)

There are no specific FAQs related to this product. Read our general customer & technical service FAQs.

Contact Information

Product PDFs

Calculators

Concentration Calculator

The concentration calculator allows you to quickly calculate the volume, mass or concentration of your vial. Simply enter your mass, volume, or concentration values for your reagent and the calculator will determine the rest.

=
÷

Review this Product

Be the first to review our TMEM206 Antibody and receive a gift card or discount.

Bioinformatics

Gene Symbol TMEM206