TLCD1 Antibody

Images

 
Western Blot: TLCD1 Antibody [NBP1-85834] - Analysis in human cell line SK-BR-3.
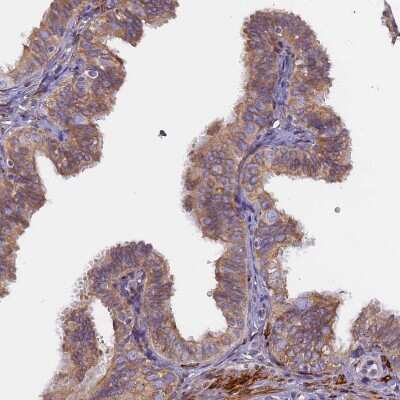
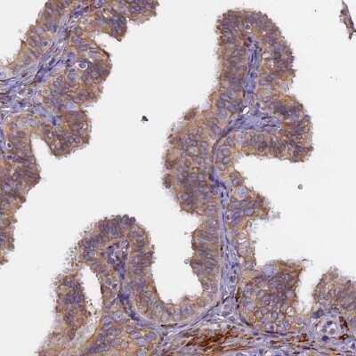
Immunohistochemistry-Paraffin: TLCD1 Antibody [NBP1-85834] - Staining of human fallopian tube shows moderate cytoplasmic positivity in glandular cells.
Orthogonal Strategies: Immunohistochemistry-Paraffin: TLCD1 Antibody [NBP1-85834] - Analysis in human fallopian tube and skeletal muscle tissues. Corresponding TLCD1 RNA-seq data are presented for the same ...read more
Immunohistochemistry-Paraffin: TLCD1 Antibody [NBP1-85834] - Staining of human kidney shows moderate cytoplasmic positivity in cells in tubules.
Immunohistochemistry-Paraffin: TLCD1 Antibody [NBP1-85834] - Staining of human skin shows strong cytoplasmic positivity in sebaceous gland.
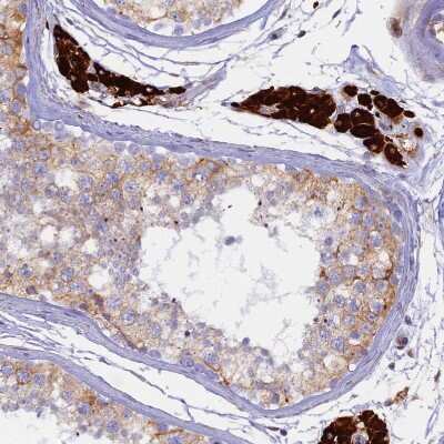
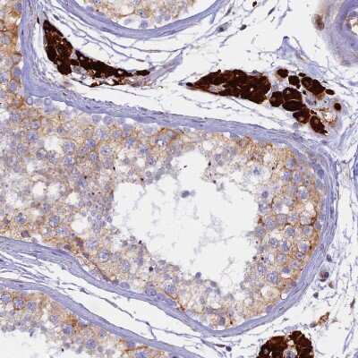
Immunohistochemistry-Paraffin: TLCD1 Antibody [NBP1-85834] - Staining of human testis shows strong cytoplasmic positivity in Leydig cells.
Immunohistochemistry-Paraffin: TLCD1 Antibody [NBP1-85834] - Staining of human skeletal muscle shows no positivity in myocytes as expected.

Product Details

Summary
Product Discontinued
View other related TLCD1 Primary Antibodies
Validated by:
       

Orthogonal Strategies

 

Order Details


    • Catalog Number
      NBP1-85834
    • Availability
      Product Discontinued

    Can't find what you are looking for? Use our Antibody Concierge Service & we will help you locate your antibody!

    Or feel free to contact us for alternative products.

TLCD1 Antibody Summary

Immunogen
This antibody was developed against Recombinant Protein corresponding to amino acids: SRLLRSDFCPEHVPKKQHKDKFLTE
Isotype
IgG
Clonality
Polyclonal
Host
Rabbit
Gene
TLCD1
Purity
Immunogen affinity purified
Innovator's Reward
Test in a species/application not listed above to receive a full credit towards a future purchase.

Applications/Dilutions

Dilutions
  • Immunohistochemistry 1:50 - 1:200
  • Immunohistochemistry-Paraffin 1:50-1:200
  • Western Blot 0.04-0.4 ug/ml
Application Notes
For IHC-Paraffin, HIER pH 6 retrieval is recommended.

Reactivity Notes

Immunogen displays the following percentage of sequence identity for non-tested species: Mouse (80%), Rat (80%)

Packaging, Storage & Formulations

Storage
Store at 4C short term. Aliquot and store at -20C long term. Avoid freeze-thaw cycles.
Buffer
PBS (pH 7.2) and 40% Glycerol
Preservative
0.02% Sodium Azide
Purity
Immunogen affinity purified

Alternate Names for TLCD1 Antibody

  • TLC domain containing 1
  • TLC domain-containing protein 1

Limitations

This product is for research use only and is not approved for use in humans or in clinical diagnosis. Primary Antibodies are guaranteed for 1 year from date of receipt.

Publications for TLCD1 Antibody (NBP1-85834) (0)

There are no publications for TLCD1 Antibody (NBP1-85834).
By submitting your publication information earn gift cards and discounts for future purchases.

Reviews for TLCD1 Antibody (NBP1-85834) (0)

There are no reviews for TLCD1 Antibody (NBP1-85834). By submitting a review you will receive an Amazon e-Gift Card or Novus Product Discount.
  • Review with no image -- $10/€7/£6/$10 CAD/¥70 Yuan/¥1110 Yen
  • Review with an image -- $25/€18/£15/$25 CAD/¥150 Yuan/¥2500 Yen

Product General Protocols

Find general support by application which include: protocols, troubleshooting, illustrated assays, videos and webinars.

Video Protocols

WB Video Protocol

FAQs for TLCD1 Antibody (NBP1-85834) (0)

There are no specific FAQs related to this product. Read our general customer & technical service FAQs.

Contact Information

Product PDFs

Calculators

Concentration Calculator

The concentration calculator allows you to quickly calculate the volume, mass or concentration of your vial. Simply enter your mass, volume, or concentration values for your reagent and the calculator will determine the rest.

=
÷

Review this Product

Be the first to review our TLCD1 Antibody and receive a gift card or discount.

Bioinformatics

Gene Symbol TLCD1