TAG-72 Antibody (IHC072)

Images

 
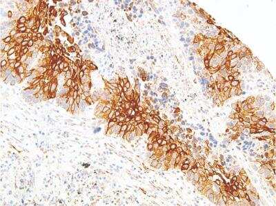
Immunohistochemistry-Paraffin: TAG-72 Antibody (IHC072) [NBP2-75986] - Staining of TAG-72 Antibody (IHC072) in colon.

Product Details

Summary
Product Discontinued
View other related TAG-72 Primary Antibodies

Order Details


    • Catalog Number
      NBP2-75986
    • Availability
      Product Discontinued

    Can't find what you are looking for? Use our Antibody Concierge Service & we will help you locate your antibody!

    Or feel free to contact us for alternative products.

TAG-72 Antibody (IHC072) Summary

Immunogen
Recombinant Human TAG-72
Isotype
IgG1 Kappa
Clonality
Monoclonal
Host
Mouse
Purity
Protein A purified
Innovator's Reward
Test in a species/application not listed above to receive a full credit towards a future purchase.

Applications/Dilutions

Dilutions
  • Immunohistochemistry 1:100 - 1:200
  • Immunohistochemistry-Paraffin 1:100 - 1:200
Application Notes
Visualization of the antigen present in tissue sections is accomplished in a multi-step immunohistochemical staining process, in conjunction with a horseradish peroxidase (HRP) or alkaline phosphatase (AP) linked detection system. Positive control: Lung Adenocarcinoma. The 7mL size is a pre-diluted size and no additional dilutions are required before using this item for the intended application.

Packaging, Storage & Formulations

Storage
Store at 4C in the dark. Do not freeze.
Buffer
Tris Buffer, pH 7.3 - 7.7, with 1% BSA
Preservative
0.1% Sodium Azide
Purity
Protein A purified

Alternate Names for TAG-72 Antibody (IHC072)

  • CA 72-4
  • Protein TAG-72
  • tag 72
  • tag-72 Protein TAG-72

Background

Tumor-associated glycoprotein (TAG-72) is an oncofetal antigen with properties of a mucin. About 60% of carcinoma patients express TAG-72 in their sera. Majority of human adenocarcinomas including colorectal, pancreatic, gastric, ovarian, endometrial, mammary, and non-small cell lung cancer display some cell populations that are positive for Ab-1 staining. Weak or no reactivity has been observed with most cell types of normal adult tissue excepting the secretory endometrium. Ab-1 is reportedly useful in distinguishing pulmonary adenocarcinomas (B72.3+) from pleural mesotheliomas (B72.3-).

Limitations

This product is for research use only and is not approved for use in humans or in clinical diagnosis. Primary Antibodies are guaranteed for 1 year from date of receipt.

Publications for TAG-72 Antibody (NBP2-75986) (0)

There are no publications for TAG-72 Antibody (NBP2-75986).
By submitting your publication information earn gift cards and discounts for future purchases.

Reviews for TAG-72 Antibody (NBP2-75986) (0)

There are no reviews for TAG-72 Antibody (NBP2-75986). By submitting a review you will receive an Amazon e-Gift Card or Novus Product Discount.
  • Review with no image -- $10/€7/£6/$10 CAD/¥70 Yuan/¥1110 Yen
  • Review with an image -- $25/€18/£15/$25 CAD/¥150 Yuan/¥2500 Yen

Product General Protocols

View specific protocols for TAG-72 Antibody (NBP2-75986): Find general support by application which include: protocols, troubleshooting, illustrated assays, videos and webinars.

FAQs for TAG-72 Antibody (NBP2-75986) (0)

There are no specific FAQs related to this product. Read our general customer & technical service FAQs.

Secondary Antibodies

 

Isotype Controls

Additional TAG-72 Products

Research Areas for TAG-72 Antibody (NBP2-75986)

Find related products by research area.

Blogs on TAG-72

There are no specific blogs for TAG-72, but you can read our latest blog posts.

Contact Information

Product PDFs

Calculators

Concentration Calculator

The concentration calculator allows you to quickly calculate the volume, mass or concentration of your vial. Simply enter your mass, volume, or concentration values for your reagent and the calculator will determine the rest.

=
÷

Review this Product

Be the first to review our TAG-72 Antibody (IHC072) and receive a gift card or discount.