Ring finger protein 214 Antibody

Images

 
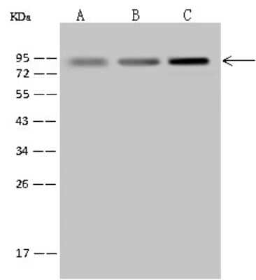
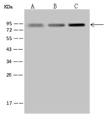
Western Blot: Ring finger protein 214 Antibody [NBP2-97645] - Anti-Ring finger protein 214 rabbit polyclonal antibody at 1:500 dilution. Lane A: HepG2 Whole Cell Lysate Lane B: 293T Whole Cell Lysate Lane C: Jurkat ...read more
Immunocytochemistry/ Immunofluorescence: Ring finger protein 214 Antibody [NBP2-97645] - Immunofluorescence staining of Ring finger protein 214 in A431 cells. Cells were fixed with 4% PFA, permeabilzed with 0.1% Triton ...read more
Immunoprecipitation: Ring finger protein 214 Antibody [NBP2-97645] - Ring finger protein 214 was immunoprecipitated using: Lane A: 0.5 mg Jurkat Whole Cell Lysate 4 ul anti-Ring finger protein 214 rabbit polyclonal ...read more

Product Details

Summary
Product Discontinued
View other related Ring finger protein 214 Primary Antibodies

Order Details


    • Catalog Number
      NBP2-97645
    • Availability
      Product Discontinued

    Can't find what you are looking for? Use our Antibody Concierge Service & we will help you locate your antibody!

    Or feel free to contact us for alternative products.

Ring finger protein 214 Antibody Summary

Description
This antibody can be stored at 2C to 8C for one month without detectable loss of activity. Antibody products are stable for twelve months from date of receipt when stored at -20C to -80C. Avoid repeated freeze-thaw cycles.
Immunogen
Produced in rabbits immunized with E. coli-derived Human Ring finger protein 214 fragment.
Isotype
IgG
Clonality
Polyclonal
Host
Rabbit
Gene
RNF214
Purity
Antigen Affinity-purified
Innovator's Reward
Test in a species/application not listed above to receive a full credit towards a future purchase.

Applications/Dilutions

Dilutions
  • Immunocytochemistry/ Immunofluorescence
  • Immunoprecipitation
  • Western Blot

Packaging, Storage & Formulations

Storage
Store at 4C short term. Aliquot and store at -20C long term. Avoid freeze-thaw cycles.
Buffer
PBS (pH 7.0)
Preservative
0.03% Proclin 300
Purity
Antigen Affinity-purified

Alternate Names for Ring finger protein 214 Antibody

  • DKFZp547C195
  • ring finger protein 214

Background

RNF214, also known as RING finger protein 214, is a 77.7 kDa, 703 amino acid protein. No information is available about the protein's function or pathways that the protein interacts in. Current research is investigating the effect of the protein on migraines.

Limitations

This product is for research use only and is not approved for use in humans or in clinical diagnosis. Primary Antibodies are guaranteed for 1 year from date of receipt.

Publications for Ring finger protein 214 Antibody (NBP2-97645) (0)

There are no publications for Ring finger protein 214 Antibody (NBP2-97645).
By submitting your publication information earn gift cards and discounts for future purchases.

Reviews for Ring finger protein 214 Antibody (NBP2-97645) (0)

There are no reviews for Ring finger protein 214 Antibody (NBP2-97645). By submitting a review you will receive an Amazon e-Gift Card or Novus Product Discount.
  • Review with no image -- $10/€7/£6/$10 CAD/¥70 Yuan/¥1110 Yen
  • Review with an image -- $25/€18/£15/$25 CAD/¥150 Yuan/¥2500 Yen

Product General Protocols

Find general support by application which include: protocols, troubleshooting, illustrated assays, videos and webinars.

Video Protocols

WB Video Protocol
ICC/IF Video Protocol

FAQs for Ring finger protein 214 Antibody (NBP2-97645) (0)

There are no specific FAQs related to this product. Read our general customer & technical service FAQs.

Contact Information

Product PDFs

Calculators

Concentration Calculator

The concentration calculator allows you to quickly calculate the volume, mass or concentration of your vial. Simply enter your mass, volume, or concentration values for your reagent and the calculator will determine the rest.

=
÷

Review this Product

Be the first to review our Ring finger protein 214 Antibody and receive a gift card or discount.

Bioinformatics

Gene Symbol RNF214