RBED1 Antibody

Images

 
Immunohistochemistry-Paraffin: RBED1 Antibody [NBP1-89848] - Staining shows moderate cytoplasmic positivity in smooth muscle cells.
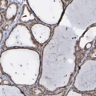
Immunohistochemistry-Paraffin: RBED1 Antibody [NBP1-89848] - Staining of human thyroid gland shows moderate cytoplasmic positivity in glandular cells.
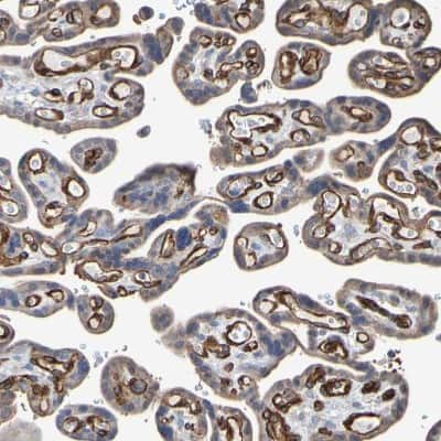
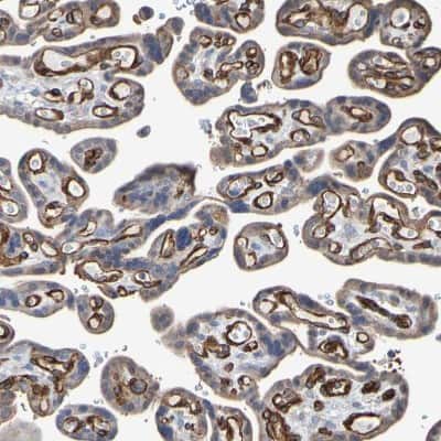
Immunohistochemistry-Paraffin: RBED1 Antibody [NBP1-89848] - Staining of human placenta shows moderate positivity in endothelial cells.
Immunohistochemistry-Paraffin: RBED1 Antibody [NBP1-89848] - Staining of human breast shows positivity in glandular cells.

Product Details

Summary
Product Discontinued
View other related RBED1 Primary Antibodies

Order Details


    • Catalog Number
      NBP1-89848
    • Availability
      Product Discontinued

    Can't find what you are looking for? Use our Antibody Concierge Service & we will help you locate your antibody!

    Or feel free to contact us for alternative products.

RBED1 Antibody Summary

Immunogen
This antibody was developed against Recombinant Protein corresponding to amino acids: EWEPRVVSTEVVRAQEEWEAVDTIQPETGSQASSEQPGQLISFSEALQHFQTVDLSPFKKRIQPTIRRTGLAALRHYLFGPPKLHQRLREERDLVLTIAQCGLDSQDPVHG
Isotype
IgG
Clonality
Polyclonal
Host
Rabbit
Gene
ELMOD3
Purity
Immunogen affinity purified
Innovator's Reward
Test in a species/application not listed above to receive a full credit towards a future purchase.

Applications/Dilutions

Dilutions
  • Immunohistochemistry 1:50 - 1:200
  • Immunohistochemistry-Paraffin 1:50 - 1:200
Application Notes
For IHC-Paraffin, HIER pH 6 retrieval is recommended.

Packaging, Storage & Formulations

Storage
Store at 4C short term. Aliquot and store at -20C long term. Avoid freeze-thaw cycles.
Buffer
PBS (pH 7.2) and 40% Glycerol
Preservative
0.02% Sodium Azide
Purity
Immunogen affinity purified

Alternate Names for RBED1 Antibody

  • C330008I15Rik
  • ELMO domain-containing protein 3
  • ELMO/CED-12 domain containing 3
  • FLJ21977
  • FLJ35601
  • liver-specific organic anion transporter 3TM12
  • LST3
  • MGC111036
  • organic anion transporter LST-3b
  • RBED1
  • RBM29
  • RNA binding motif and ELMO domain 1
  • RNA binding motif and ELMO/CED-12 domain 1
  • RNA binding motif protein 29
  • RNA-binding motif and ELMO domain-containing protein 1
  • RNA-binding motif protein 29
  • RNA-binding protein 29

Limitations

This product is for research use only and is not approved for use in humans or in clinical diagnosis. Primary Antibodies are guaranteed for 1 year from date of receipt.

Publications for RBED1 Antibody (NBP1-89848) (0)

There are no publications for RBED1 Antibody (NBP1-89848).
By submitting your publication information earn gift cards and discounts for future purchases.

Reviews for RBED1 Antibody (NBP1-89848) (0)

There are no reviews for RBED1 Antibody (NBP1-89848). By submitting a review you will receive an Amazon e-Gift Card or Novus Product Discount.
  • Review with no image -- $10/€7/£6/$10 CAD/¥70 Yuan/¥1110 Yen
  • Review with an image -- $25/€18/£15/$25 CAD/¥150 Yuan/¥2500 Yen

Product General Protocols

Find general support by application which include: protocols, troubleshooting, illustrated assays, videos and webinars.

FAQs for RBED1 Antibody (NBP1-89848) (0)

There are no specific FAQs related to this product. Read our general customer & technical service FAQs.

Secondary Antibodies

 

Isotype Controls

Additional RBED1 Products

Array NBP1-89848

Research Areas for RBED1 Antibody (NBP1-89848)

Find related products by research area.

Blogs on RBED1

There are no specific blogs for RBED1, but you can read our latest blog posts.

Contact Information

Product PDFs

Calculators

Concentration Calculator

The concentration calculator allows you to quickly calculate the volume, mass or concentration of your vial. Simply enter your mass, volume, or concentration values for your reagent and the calculator will determine the rest.

=
÷

Review this Product

Be the first to review our RBED1 Antibody and receive a gift card or discount.

Bioinformatics

Gene Symbol ELMOD3