PHF21B Antibody

Images

 
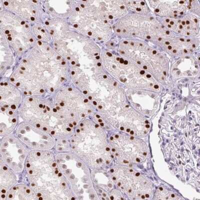
Immunohistochemistry-Paraffin: PHF21B Antibody [NBP2-30660] - Staining of human kidney shows strong nuclear positivity in cells in tubules.

Product Details

Summary
Product Discontinued
View other related PHF21B Primary Antibodies

Order Details


    • Catalog Number
      NBP2-30660
    • Availability
      Product Discontinued

    Can't find what you are looking for? Use our Antibody Concierge Service & we will help you locate your antibody!

    Or feel free to contact us for alternative products.

PHF21B Antibody Summary

Immunogen
This antibody was developed against a recombinant protein corresponding to amino acids: VTGPQVSSLQRLAGQGAAVLPQVRPKTLIPDSLPVAPGRDRPPKQPPTFQKATVVSVKNPSPALPTANNTVSHVP
Predicted Species
Mouse (96%), Rat (96%). Backed by our 100% Guarantee.
Isotype
IgG
Clonality
Polyclonal
Host
Rabbit
Gene
PHF21B
Purity
Immunogen affinity purified
Innovator's Reward
Test in a species/application not listed above to receive a full credit towards a future purchase.

Applications/Dilutions

Dilutions
  • Immunohistochemistry 1:2500 - 1:5000
  • Immunohistochemistry-Paraffin 1:2500 - 1:5000
Application Notes
For IHC-Paraffin, HIER pH 6 retrieval is recommended.

Packaging, Storage & Formulations

Storage
Store at 4C short term. Aliquot and store at -20C long term. Avoid freeze-thaw cycles.
Buffer
PBS (pH 7.2) and 40% Glycerol
Preservative
0.02% Sodium Azide
Purity
Immunogen affinity purified

Alternate Names for PHF21B Antibody

  • BHC80L
  • FLJ34161
  • KIAA1661
  • PHD finger protein 21B
  • PHD finger protein 4
  • PHF4

Limitations

This product is for research use only and is not approved for use in humans or in clinical diagnosis. Primary Antibodies are guaranteed for 1 year from date of receipt.

Publications for PHF21B Antibody (NBP2-30660) (0)

There are no publications for PHF21B Antibody (NBP2-30660).
By submitting your publication information earn gift cards and discounts for future purchases.

Reviews for PHF21B Antibody (NBP2-30660) (0)

There are no reviews for PHF21B Antibody (NBP2-30660). By submitting a review you will receive an Amazon e-Gift Card or Novus Product Discount.
  • Review with no image -- $10/€7/£6/$10 CAD/¥70 Yuan/¥1110 Yen
  • Review with an image -- $25/€18/£15/$25 CAD/¥150 Yuan/¥2500 Yen

Product General Protocols

Find general support by application which include: protocols, troubleshooting, illustrated assays, videos and webinars.

FAQs for PHF21B Antibody (NBP2-30660) (0)

There are no specific FAQs related to this product. Read our general customer & technical service FAQs.

Secondary Antibodies

 

Isotype Controls

Additional PHF21B Products

Research Areas for PHF21B Antibody (NBP2-30660)

Find related products by research area.

Blogs on PHF21B

There are no specific blogs for PHF21B, but you can read our latest blog posts.

Contact Information

Product PDFs

Calculators

Concentration Calculator

The concentration calculator allows you to quickly calculate the volume, mass or concentration of your vial. Simply enter your mass, volume, or concentration values for your reagent and the calculator will determine the rest.

=
÷

Review this Product

Be the first to review our PHF21B Antibody and receive a gift card or discount.

Bioinformatics

Gene Symbol PHF21B
Uniprot