PEAK3 Antibody (3-B7)

Images

 
Immunocytochemistry/ Immunofluorescence: PEAK3 Antibody (3-B7) [NBP2-67197] - Staining C19orf35 in human embryonic stem cells (red). Cells were fixed in paraformaldehyde, permeabilised with 0.25% Triton X100/PBS.
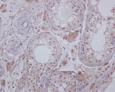
Immunohistochemistry-Paraffin: PEAK3 Antibody (3-B7) [NBP2-67197] - Analysis of paraffin-embedded human testis tissue using anti- C19orf35 mouse mAb.
Immunocytochemistry/ Immunofluorescence: PEAK3 Antibody (3-B7) [NBP2-67197] - Staining C19orf35 in Hela cells (red). Cells were fixed in paraformaldehyde, permeabilised with 0.25% Triton X100/PBS.

Product Details

Summary
Product Discontinued
View other related PEAK3 Primary Antibodies

Order Details


    • Catalog Number
      NBP2-67197
    • Availability
      Product Discontinued

    Can't find what you are looking for? Use our Antibody Concierge Service & we will help you locate your antibody!

    Or feel free to contact us for alternative products.

PEAK3 Antibody (3-B7) Summary

Additional Information
Recombinant Monoclonal Antibody
Immunogen
Recombinant protein within Human PEAK3 aa 1-473 / 473. (SwissProt: Q6ZS72 Human)
Localization
Cell membrane
Isotype
IgG1
Clonality
Monoclonal
Host
Mouse
Gene
C19orf35
Purity
Protein A purified
Innovator's Reward
Test in a species/application not listed above to receive a full credit towards a future purchase.

Applications/Dilutions

Dilutions
  • Immunocytochemistry/ Immunofluorescence 1:200
  • Immunohistochemistry
  • Immunohistochemistry-Paraffin 1:200-1:500

Reactivity Notes

Mouse blocking reagent may be needed for IHC and ICC experiments to reduce high background signal. You can find these reagents under catalog numbers PK-2200-NB and MP-2400-NB. Please contact Technical Support if you have any. Please note that this antibody is reactive to Mouse and derived from the same host, Mouse. Mouse-On-questions.

Packaging, Storage & Formulations

Storage
Store at 4C short term. Aliquot and store at -20C long term. Avoid freeze-thaw cycles.
Buffer
PBS (pH7.4), 0.2% BSA, 40% Glycerol
Preservative
0.05% Sodium Azide
Concentration
2 mg/ml
Purity
Protein A purified

Alternate Names for PEAK3 Antibody (3-B7)

  • Chromosome 19 Open Reading Frame 35

Limitations

This product is for research use only and is not approved for use in humans or in clinical diagnosis. Primary Antibodies are guaranteed for 1 year from date of receipt.

Publications for PEAK3 Antibody (NBP2-67197) (0)

There are no publications for PEAK3 Antibody (NBP2-67197).
By submitting your publication information earn gift cards and discounts for future purchases.

Reviews for PEAK3 Antibody (NBP2-67197) (0)

There are no reviews for PEAK3 Antibody (NBP2-67197). By submitting a review you will receive an Amazon e-Gift Card or Novus Product Discount.
  • Review with no image -- $10/€7/£6/$10 CAD/¥70 Yuan/¥1110 Yen
  • Review with an image -- $25/€18/£15/$25 CAD/¥150 Yuan/¥2500 Yen

Product General Protocols

Find general support by application which include: protocols, troubleshooting, illustrated assays, videos and webinars.

Video Protocols

ICC/IF Video Protocol

FAQs for PEAK3 Antibody (NBP2-67197) (0)

There are no specific FAQs related to this product. Read our general customer & technical service FAQs.

Contact Information

Product PDFs

Calculators

Concentration Calculator

The concentration calculator allows you to quickly calculate the volume, mass or concentration of your vial. Simply enter your mass, volume, or concentration values for your reagent and the calculator will determine the rest.

=
÷

Review this Product

Be the first to review our PEAK3 Antibody (3-B7) and receive a gift card or discount.

Bioinformatics

Gene Symbol C19orf35