OR10D3 Antibody

Images

 
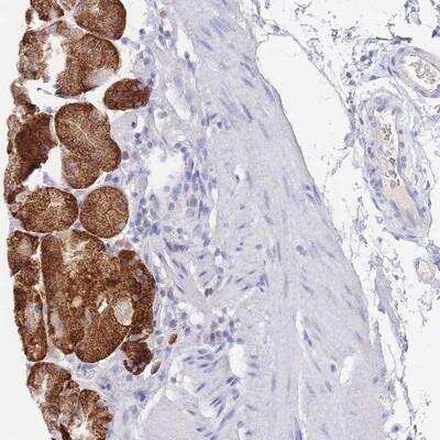
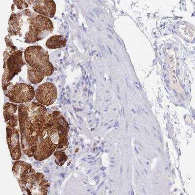
Immunohistochemistry-Paraffin: OR10D3 Antibody [NBP2-14700] - Staining of human stomach, lower shows strong cytoplasmic positivity in glandular cells.

Product Details

Summary
Product Discontinued
View other related OR10D3 Primary Antibodies

Order Details


    • Catalog Number
      NBP2-14700
    • Availability
      Product Discontinued

    Can't find what you are looking for? Use our Antibody Concierge Service & we will help you locate your antibody!

    Or feel free to contact us for alternative products.

OR10D3 Antibody Summary

Immunogen
This antibody was developed against Recombinant Protein corresponding to amino acids: IPAVLPLACKDTSLAQRVGFTNV
Isotype
IgG
Clonality
Polyclonal
Host
Rabbit
Gene
OR10D3
Purity
Immunogen affinity purified
Innovator's Reward
Test in a species/application not listed above to receive a full credit towards a future purchase.

Applications/Dilutions

Dilutions
  • Immunohistochemistry 1:20 - 1:50
  • Immunohistochemistry-Paraffin 1:20 - 1:50
Application Notes
For IHC-Paraffin, HIER pH 6 retrieval is recommended.

Reactivity Notes

Immunogen displays the following percentage of sequence identity for non-tested species: Mouse (87%), Rat (87%)

Packaging, Storage & Formulations

Storage
Store at 4C short term. Aliquot and store at -20C long term. Avoid freeze-thaw cycles.
Buffer
PBS (pH 7.2) and 40% Glycerol
Preservative
0.02% Sodium Azide
Purity
Immunogen affinity purified

Alternate Names for OR10D3 Antibody

  • HTPCRX09
  • OR10D3 olfactory receptor, family 10, subfamily D, member 3 (non-functional)
  • OR10D3P

Limitations

This product is for research use only and is not approved for use in humans or in clinical diagnosis. Primary Antibodies are guaranteed for 1 year from date of receipt.

Publications for OR10D3 Antibody (NBP2-14700) (0)

There are no publications for OR10D3 Antibody (NBP2-14700).
By submitting your publication information earn gift cards and discounts for future purchases.

Reviews for OR10D3 Antibody (NBP2-14700) (0)

There are no reviews for OR10D3 Antibody (NBP2-14700). By submitting a review you will receive an Amazon e-Gift Card or Novus Product Discount.
  • Review with no image -- $10/€7/£6/$10 CAD/¥70 Yuan/¥1110 Yen
  • Review with an image -- $25/€18/£15/$25 CAD/¥150 Yuan/¥2500 Yen

Product General Protocols

Find general support by application which include: protocols, troubleshooting, illustrated assays, videos and webinars.

FAQs for OR10D3 Antibody (NBP2-14700) (0)

There are no specific FAQs related to this product. Read our general customer & technical service FAQs.

Contact Information

Product PDFs

Calculators

Concentration Calculator

The concentration calculator allows you to quickly calculate the volume, mass or concentration of your vial. Simply enter your mass, volume, or concentration values for your reagent and the calculator will determine the rest.

=
÷

Review this Product

Be the first to review our OR10D3 Antibody and receive a gift card or discount.

Bioinformatics

Gene Symbol OR10D3