Olfactory Receptor OR6N1 Antibody

Images

 
Immunohistochemistry-Paraffin: Olfactory Receptor OR6N1 Antibody [NLS3228] - Anti-OR6N1 antibody IHC of human brain, cortex, neurons. Immunohistochemistry of formalin-fixed, paraffin-embedded tissue after heat-induced ...read more
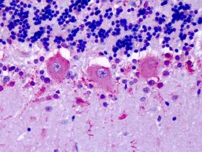
Immunohistochemistry-Paraffin: Olfactory Receptor OR6N1 Antibody [NLS3228] - Analysis of anti-OR6N1 antibody with human brain, cerebellum, Purkinje neurons at concentration 6-14 ug/ml.

Product Details

Summary
Product Discontinued
View other related Olfactory Receptor OR6N1 Primary Antibodies

Order Details


    • Catalog Number
      NLS3228
    • Availability
      Product Discontinued

    Can't find what you are looking for? Use our Antibody Concierge Service & we will help you locate your antibody!

    Or feel free to contact us for alternative products.

Olfactory Receptor OR6N1 Antibody Summary

Immunogen
Synthetic 15 amino acid peptide from 1st extracellular domain of human OR6N1.
Specificity
Human OR6N1. BLAST analysis of the peptide immunogen showed no homology with other human proteins, except OR6K3 (67%).
Predicted Species
Opossum (100%), Primate (93%), Monkey (100%), Canine (93%). Backed by our 100% Guarantee.
Isotype
IgG
Clonality
Polyclonal
Host
Rabbit
Gene
OR6N1
Purity
Immunogen affinity purified
Innovator's Reward
Test in a species/application not listed above to receive a full credit towards a future purchase.

Applications/Dilutions

Dilutions
  • Immunohistochemistry
  • Immunohistochemistry-Paraffin 7 ug/ml

Reactivity Notes

Predicted cross-reactivity based on sequence identity: Gorilla (100%), Gibbon (100%), Marmoset (93%), Bovine (87%), Equine (87%), Porcine (87%).

Packaging, Storage & Formulations

Storage
Store at 4C short term. Aliquot and store at -20C long term. Avoid freeze-thaw cycles.
Buffer
PBS
Preservative
0.1% Sodium Azide
Concentration
1.0 mg/ml
Purity
Immunogen affinity purified

Alternate Names for Olfactory Receptor OR6N1 Antibody

  • olfactory receptor 6N1
  • olfactory receptor OR1-22
  • olfactory receptor, family 6, subfamily N, member 1
  • OR1-22

Background

OR6N1 belongs to the Olfactory Receptor subfamily of GPCRs. OR6N1 is similar in sequence to mouse olfactory receptor MOR105-1.

Limitations

This product is for research use only and is not approved for use in humans or in clinical diagnosis. Primary Antibodies are guaranteed for 1 year from date of receipt.

Publications for Olfactory Receptor OR6N1 Antibody (NLS3228) (0)

There are no publications for Olfactory Receptor OR6N1 Antibody (NLS3228).
By submitting your publication information earn gift cards and discounts for future purchases.

Reviews for Olfactory Receptor OR6N1 Antibody (NLS3228) (0)

There are no reviews for Olfactory Receptor OR6N1 Antibody (NLS3228). By submitting a review you will receive an Amazon e-Gift Card or Novus Product Discount.
  • Review with no image -- $10/€7/£6/$10 CAD/¥70 Yuan/¥1110 Yen
  • Review with an image -- $25/€18/£15/$25 CAD/¥150 Yuan/¥2500 Yen

Product General Protocols

View specific protocols for Olfactory Receptor OR6N1 Antibody (NLS3228): Find general support by application which include: protocols, troubleshooting, illustrated assays, videos and webinars.

FAQs for Olfactory Receptor OR6N1 Antibody (NLS3228) (0)

There are no specific FAQs related to this product. Read our general customer & technical service FAQs.

Secondary Antibodies

 

Isotype Controls

Additional Olfactory Receptor OR6N1 Products

Research Areas for Olfactory Receptor OR6N1 Antibody (NLS3228)

Find related products by research area.

Blogs on Olfactory Receptor OR6N1

There are no specific blogs for Olfactory Receptor OR6N1, but you can read our latest blog posts.

Contact Information

Product PDFs

Calculators

Concentration Calculator

The concentration calculator allows you to quickly calculate the volume, mass or concentration of your vial. Simply enter your mass, volume, or concentration values for your reagent and the calculator will determine the rest.

=
÷

Review this Product

Be the first to review our Olfactory Receptor OR6N1 Antibody and receive a gift card or discount.

Bioinformatics

Gene Symbol OR6N1
Entrez