MFSD3 Antibody

Images

 
Immunocytochemistry/ Immunofluorescence: MFSD3 Antibody [NBP2-30815] - Staining of human cell line HEK 293 shows localization to vesicles.
Immunohistochemistry: MFSD3 Antibody [NBP2-30815] - Staining of human lymph node shows strong positivity in subsets of germinal center cells.
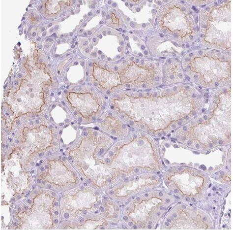
MFSD3 Antibody [NBP2-30815] -Staining of human kidney shows moderate membranous positivity in cells in tubules.
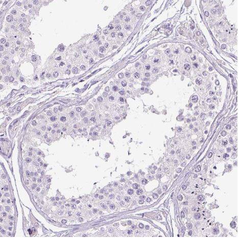
MFSD3 Antibody [NBP2-30815] -Staining of human testis shows no positivity in cells in seminiferous ducts as expected.
MFSD3 Antibody [NBP2-30815] -Staining of human cervix, uterine shows no positivity in squamous epithelial cells as expected.

Product Details

Summary
Product Discontinued
View other related MFSD3 Primary Antibodies

Order Details


    • Catalog Number
      NBP2-30815
    • Availability
      Product Discontinued

    Can't find what you are looking for? Use our Antibody Concierge Service & we will help you locate your antibody!

    Or feel free to contact us for alternative products.

MFSD3 Antibody Summary

Immunogen
This antibody was developed against a recombinant protein corresponding to amino acids: VFHLDTLGASMDAGTILRGSALL
Isotype
IgG
Clonality
Polyclonal
Host
Rabbit
Gene
MFSD3
Purity
Immunogen affinity purified
Innovator's Reward
Test in a species/application not listed above to receive a full credit towards a future purchase.

Applications/Dilutions

Dilutions
  • Immunocytochemistry/ Immunofluorescence 0.25-2 ug/ml
  • Immunohistochemistry 1:20 - 1:50
  • Immunohistochemistry-Paraffin 1:20 - 1:50
Application Notes
For IHC-Paraffin, HIER pH 6 retrieval is recommended. ICC/IF,Fixation Permeabilization: Use PFA/Triton X-100.

Packaging, Storage & Formulations

Storage
Store at 4C short term. Aliquot and store at -20C long term. Avoid freeze-thaw cycles.
Buffer
PBS (pH 7.2) and 40% Glycerol
Preservative
0.02% Sodium Azide
Purity
Immunogen affinity purified

Alternate Names for MFSD3 Antibody

  • major facilitator superfamily domain containing 3
  • major facilitator superfamily domain-containing protein 3

Limitations

This product is for research use only and is not approved for use in humans or in clinical diagnosis. Primary Antibodies are guaranteed for 1 year from date of receipt.

Publications for MFSD3 Antibody (NBP2-30815) (0)

There are no publications for MFSD3 Antibody (NBP2-30815).
By submitting your publication information earn gift cards and discounts for future purchases.

Reviews for MFSD3 Antibody (NBP2-30815) (0)

There are no reviews for MFSD3 Antibody (NBP2-30815). By submitting a review you will receive an Amazon e-Gift Card or Novus Product Discount.
  • Review with no image -- $10/€7/£6/$10 CAD/¥70 Yuan/¥1110 Yen
  • Review with an image -- $25/€18/£15/$25 CAD/¥150 Yuan/¥2500 Yen

Product General Protocols

Find general support by application which include: protocols, troubleshooting, illustrated assays, videos and webinars.

Video Protocols

ICC/IF Video Protocol

FAQs for MFSD3 Antibody (NBP2-30815) (0)

There are no specific FAQs related to this product. Read our general customer & technical service FAQs.

Contact Information

Product PDFs

Calculators

Concentration Calculator

The concentration calculator allows you to quickly calculate the volume, mass or concentration of your vial. Simply enter your mass, volume, or concentration values for your reagent and the calculator will determine the rest.

=
÷

Review this Product

Be the first to review our MFSD3 Antibody and receive a gift card or discount.

Bioinformatics

Gene Symbol MFSD3
Uniprot