IgG4 Antibody (ST05-12)

Images

 
Western Blot: IgG4 Antibody (ST05-12) [NBP2-67527] - Analysis of IgG4 on human plasma lysates using anti-IgG4 antibody at 1/1,000 dilution.
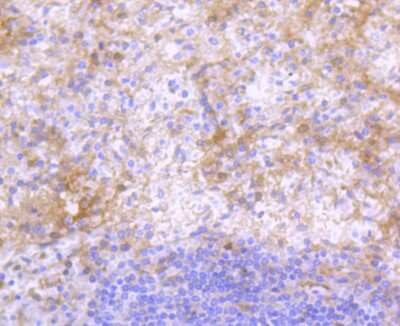
Immunohistochemistry-Paraffin: IgG4 Antibody (ST05-12) [NBP2-67527] - Analysis of paraffin-embedded human tonsil tissue using anti-IgG4 antibody. Counter stained with hematoxylin.
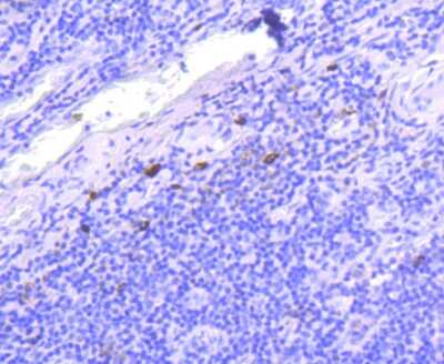
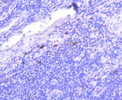
Immunohistochemistry-Paraffin: IgG4 Antibody (ST05-12) [NBP2-67527] - Analysis of paraffin-embedded human spleen tissue using anti-IgG4 antibody. Counter stained with hematoxylin.

Product Details

Summary
Product Discontinued
View other related IgG4 Primary Antibodies

Order Details


    • Catalog Number
      NBP2-67527
    • Availability
      Product Discontinued

    Can't find what you are looking for? Use our Antibody Concierge Service & we will help you locate your antibody!

    Or feel free to contact us for alternative products.

IgG4 Antibody (ST05-12) Summary

Additional Information
Recombinant Monoclonal Antibody.
Immunogen
Synthetic peptide within Human IgG4 aa 85-129 / 327. (SwissProt: P01861 Human)
Localization
Cell membrane, Immunoglobulin, Membrane, Secreted.
Isotype
IgG
Clonality
Monoclonal
Host
Rabbit
Purity
Protein A purified
Innovator's Reward
Test in a species/application not listed above to receive a full credit towards a future purchase.

Applications/Dilutions

Dilutions
  • Immunohistochemistry
  • Immunohistochemistry-Paraffin 1:50-1:200
  • Western Blot 1:500-1:5000

Packaging, Storage & Formulations

Storage
Store at 4C short term. Aliquot and store at -20C long term. Avoid freeze-thaw cycles.
Buffer
TBS (pH7.4), 0.05% BSA, 40% Glycerol
Preservative
0.05% Sodium Azide
Concentration
1 mg/ml
Purity
Protein A purified

Alternate Names for IgG4 Antibody (ST05-12)

  • Immunoglobulin G
  • Immunoglobulin G4
  • ImmunoglobulinG

Limitations

This product is for research use only and is not approved for use in humans or in clinical diagnosis. Primary Antibodies are guaranteed for 1 year from date of receipt.

Publications for IgG4 Antibody (NBP2-67527) (0)

There are no publications for IgG4 Antibody (NBP2-67527).
By submitting your publication information earn gift cards and discounts for future purchases.

Reviews for IgG4 Antibody (NBP2-67527) (0)

There are no reviews for IgG4 Antibody (NBP2-67527). By submitting a review you will receive an Amazon e-Gift Card or Novus Product Discount.
  • Review with no image -- $10/€7/£6/$10 CAD/¥70 Yuan/¥1110 Yen
  • Review with an image -- $25/€18/£15/$25 CAD/¥150 Yuan/¥2500 Yen

Product General Protocols

Find general support by application which include: protocols, troubleshooting, illustrated assays, videos and webinars.

Video Protocols

WB Video Protocol

FAQs for IgG4 Antibody (NBP2-67527) (0)

There are no specific FAQs related to this product. Read our general customer & technical service FAQs.

Secondary Antibodies

 

Isotype Controls

Additional IgG4 Products

Research Areas for IgG4 Antibody (NBP2-67527)

Find related products by research area.

Blogs on IgG4

There are no specific blogs for IgG4, but you can read our latest blog posts.

Contact Information

Product PDFs

Calculators

Concentration Calculator

The concentration calculator allows you to quickly calculate the volume, mass or concentration of your vial. Simply enter your mass, volume, or concentration values for your reagent and the calculator will determine the rest.

=
÷

Review this Product

Be the first to review our IgG4 Antibody (ST05-12) and receive a gift card or discount.