Donkey anti-Goat IgG (H+L) Secondary Antibody [HRP] (Pre-adsorbed)

Images

 
Western Blot: Donkey anti-Goat IgG (H+L) Secondary Antibody [HRP] (Pre-adsorbed) [NBP1-74822] - 50 ug of mouse lung lysate per lane. Primary antibody: Goat anti-mouse JAM-C antibody. Secondary antibody: Donkey anti-Goat ...read more
Western Blot: Donkey anti-Goat IgG (H+L) Secondary Antibody [HRP] (Pre-adsorbed) [NBP1-74822] - Lysates of mouse embryo tissue loaded at the indicated concentrations. PVDF membrane was probed with 0.2 ug/mL goat ...read more

Product Details

Summary
Reactivity GtSpecies Glossary
Applications WB, ELISA, IHC
Clonality
Polyclonal
Host
Donkey
Conjugate
HRP
Format
Pre-adsorbed
Concentration
LYOPH

Donkey anti-Goat IgG (H+L) Secondary Antibody [HRP] (Pre-adsorbed) Summary

Description
Purity > 95% based on SDS-PAGE. Donkey serum was obtained from healthy animals of US origin and under the care of a registered veterinarian. After reconstituted, prepare fresh working dilution daily.

Store lyophilized material at 2-8C. For long term storage after reconstitution, dilute with 50% glycerol and store at -20C as a liquid.
Immunogen
This Donkey anti-Goat IgG (H+L) Secondary Antibody [HRP] (Pre-adsorbed) was developed against purified goat IgG (H&L).
Specificity
Based on IEP, this Donkey anti-Goat IgG (H+L) Secondary Antibody [HRP] (Pre-adsorbed) heavy gamma chains on goat IgG and light chains on all goat immunoglobulins. This antibody has been pre-adsorbed against human, mouse, rabbit or rat IgG
Isotype
IgG
Clonality
Polyclonal
Host
Donkey
Purity
Affinity purified

Applications/Dilutions

Dilutions
  • ELISA 1:200-1:5000
  • Immunohistochemistry 1:500-1:5000
  • Immunohistochemistry-Paraffin
  • Western Blot 1:200-1:5000
Application Notes
This conjugate is suitable for all immunoassay applications.
Readout System
Reviewed Applications
Read 2 Reviews rated 5
using
NBP1-74822 in the following applications:

Reactivity Notes

Based on IEP, no reactivity is observed to non-immunoglobulin goat serum immunoglobulins and IgG from human, mouse, rabbit, or rat

Packaging, Storage & Formulations

Storage
Store lyophilized antibody at 4C. Mix reconstituted liquid with an equal volume of glycerol, aliquot contents and freeze at -20C or below for long term storage.
Buffer
10 mM Sodium Phosphate, 0.15 M Sodium Chloride, pH 7.2, 1 % (w/v) BSA, Protease/IgG free
Preservative
0.1% ProClin 150
Concentration
LYOPH
Purity
Affinity purified
Reconstitution Instructions
Rehydrate with 1.1 ml of deionized water and let stand 30 minutes at room temperature to dissolve. (Product has been overfilled to ensure complete recovery.) Centrifuge to remove any particulates. Prepare fresh working dilution daily.

Background

Antibodies, also known as immunoglobulins (Igs) are critical for immunity and are grouped into five primary classes: IgG, IgM, IgA, IgD, and IgE. The most abundant antibody isotype is immunoglobulin G (IgG) with concentrations ranging from 7.5-22 mg/ml in human serum and has a molecular weight of 150 kDa. The major effector functions of IgG include neutralization, opsonization, complement fixation and antibody dependent cell-mediated cytotoxicity (ADCC). This monomeric immunoglobulin, expressed on the surface of mature B cells, is often depicted as a Y-shape and comprised of 2 heavy chains and 2 light chains linked by disulfide bonds. The heavy chain is type gamma including subtypes gamma 1, gamma 2, gamma 3, and gamma 4 while the light chain is either a kappa or lambda chain. An IgG molecule has two antigen binding sites, each consisting of a heavy and light chain N-terminal variable domain. When combined with the constant heavy chain 1 (Ch1) and the constant light chain domains, it forms the fragment antigen-binding (Fab) region (2 per antibody). The remaining domains (Ch2-Ch4) of both heavy chains make up the Fc region and contain a site for covalently linking an enzymatic or fluorochrome probe, such as HRP or Janelia Fluor 549, for target detection and visualization (1,2,3).

The 4 IgG subclasses, sharing 95% amino acid identity, include IgG1, IgG2, IgG3, and IgG4 for humans and IgG1, IgG2a, IgG2b, and IgG3 for mice. The relative abundance of each human subclass is 60% for IgG1, 32% for IgG2, 4% for IgG3, and 4% for IgG4. In an IgG deficiency, there may be a shortage of one or more subclasses (4).

References

1. Painter RH. (1998) Encyclopedia of Immunology (Second Edition). Elsevier. 1208-1211

2. Chapter 9 - Antibodies. (2012) Immunology for Pharmacy. Mosby 70-78

3. Schroeder H, Cavacini, L. (2010) Structure and Function of Immunoglobulins. J Allergy Clin Immunol. 125(2 0 2): S41-S52. PMID: 20176268

4. Vidarsson G, Dekkers G, Rispens T. (2014) IgG subclasses and allotypes: from structure to effector functions. Front Immunol. 5:520. PMID: 25368619

Limitations

This product is for research use only and is not approved for use in humans or in clinical diagnosis. Secondary Antibodies are guaranteed for 1 year from date of receipt.

Publications for IgG (H+L) Antibody (NBP1-74822) (0)

There are no publications for IgG (H+L) Antibody (NBP1-74822).
By submitting your publication information earn gift cards and discounts for future purchases.

Reviews for IgG (H+L) Antibody (NBP1-74822) (2) 52

Average Rating: 5
(Based on 2 reviews)
We have 2 reviews tested in 2 species: Human, Mouse.

Reviews using NBP1-74822:
Filter by Applications
WB
(1)
 IHC-P
(1)
All Applications
Filter by Species
Human
(1)
Mouse
(1)
All Species
Images Ratings Applications Species Date Details
Western Blot IgG (H+L) NBP1-74822
Enlarge
5
reviewed by:
James Xiao
WB Mouse 04/16/2018
View

Summary

ApplicationWestern Blot
Sample TestedLung tissue
SpeciesMouse
Lot41-121-030117

Comments

Comments50 ug of mouse lung lysate was used per lane. Primary antibody: Goat anti-mouse JAM-C antibody; Secondary antibody: Donkey anti-Goat IgG (H+L) Secondary Antibody [HRP] (Pre-absorbed) @ 1:2500 in 5% milk/PBST.
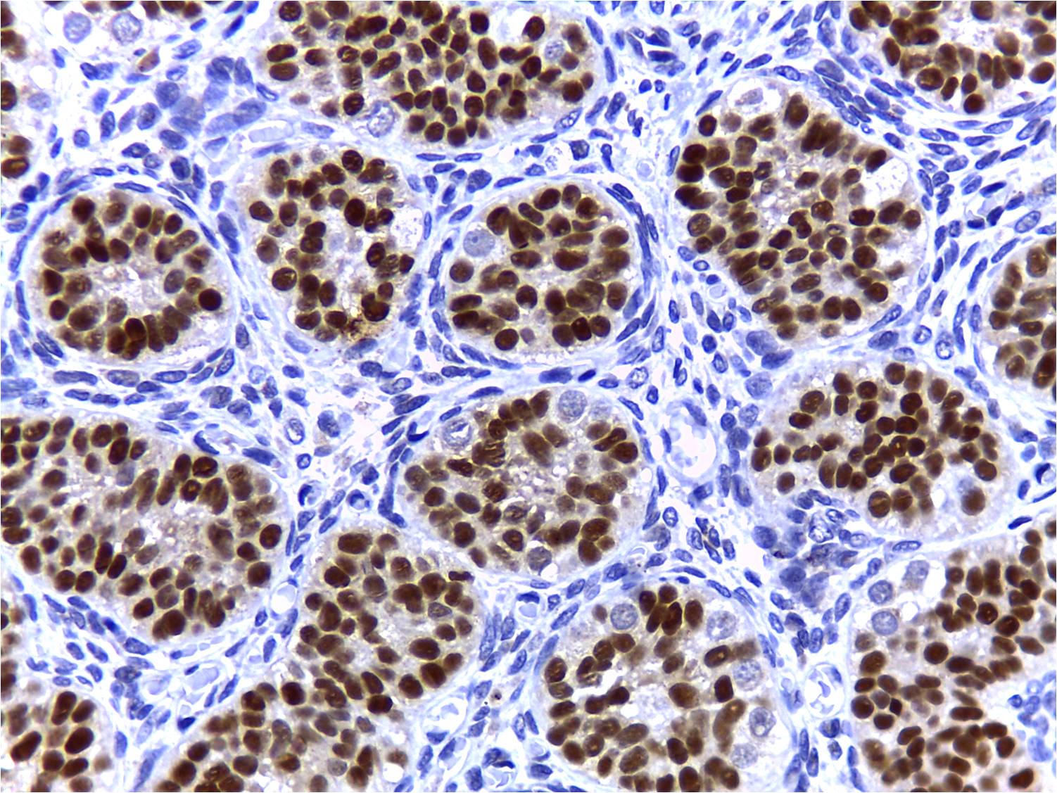
Immunohistochemistry-Paraffin IgG (H+L) NBP1-74822
Enlarge
5
reviewed by:
Paula Aliberti
 IHC-P Human 10/09/2017
View

Summary

ApplicationImmunohistochemistry-Paraffin
Sample TestedHuman testis
SpeciesHuman
Lot41-121-030117

Product General Protocols

Find general support by application which include: protocols, troubleshooting, illustrated assays, videos and webinars.

Video Protocols

WB Video Protocol

FAQs for IgG (H+L) Antibody (NBP1-74822) (0)

There are no specific FAQs related to this product. Read our general customer & technical service FAQs.

Additional IgG (H+L) Products

Array NBP1-74822

Research Areas for IgG (H+L) Antibody (NBP1-74822)

Find related products by research area.

Blogs on IgG (H+L)

There are no specific blogs for IgG (H+L), but you can read our latest blog posts.

Contact Information

Product PDFs

Calculators

Concentration Calculator

The concentration calculator allows you to quickly calculate the volume, mass or concentration of your vial. Simply enter your mass, volume, or concentration values for your reagent and the calculator will determine the rest.

=
÷

Recent Reviews

5
5
2
4
0
3
0
2
0
1
0

James Xiao
04/16/2018
Application: WB
Species: Mouse

Paula Aliberti
10/09/2017
Application:  IHC-P
Species: Human