Mouse anti-Human IgG Fc Secondary Antibody (3D3cc) [HRP]

Images

 
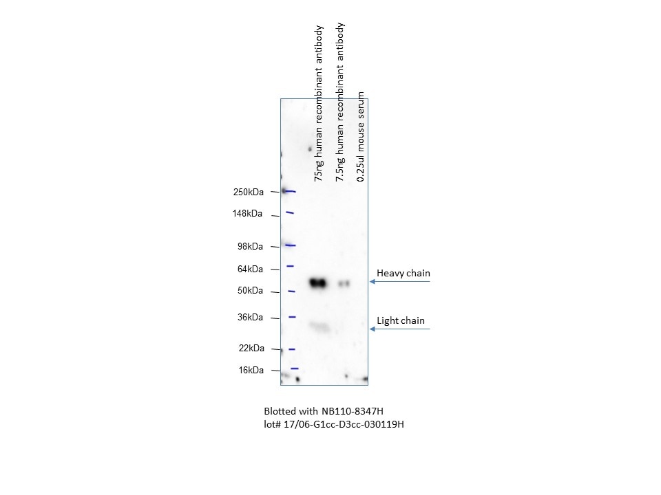
Western Blot: Mouse anti-Human IgG Fc Secondary Antibody (3D3cc) [HRP] [NB110-8347H] - Image from verified customer review.

Product Details

Summary
Reactivity HuSpecies Glossary
Applications WB, ELISA
Clone
3D3cc
Clonality
Monoclonal
Host
Mouse
Conjugate
HRP

Mouse anti-Human IgG Fc Secondary Antibody (3D3cc) [HRP] Summary

Immunogen
Hybridoma clone has been derived from hybridization of Sp2/0 myeloma cells with spleen cells of Balb/c mice immunized with IgG from human serum.
Specificity
Class-specific for human IgG. No allotype restriction. Fc-region specific. Relatively high affinity. No cross-reactivity with human IgA, IgM, IgE. Pan g (Cg 3 domain-specific).
Isotype
IgG2 Alpha
Clonality
Monoclonal
Host
Mouse
Purity
Protein G purified

Applications/Dilutions

Dilutions
  • ELISA
  • Western Blot
Application Notes
Optimal dilution of this antibody should be experimentally determined.
Reviewed Applications
Read 1 Review rated 5
using
NB110-8347H in the following applications:

Packaging, Storage & Formulations

Storage
Store at 4C in the dark.
Buffer
PBS
Preservative
No Preservative
Purity
Protein G purified

Limitations

This product is for research use only and is not approved for use in humans or in clinical diagnosis. Secondary Antibodies are guaranteed for 1 year from date of receipt.

Publications for IgG Fc Antibody (NB110-8347H) (0)

There are no publications for IgG Fc Antibody (NB110-8347H).
By submitting your publication information earn gift cards and discounts for future purchases.

Review for IgG Fc Antibody (NB110-8347H) (1) 51

Average Rating: 5
(Based on 1 review)
We have 1 review tested in 1 species: Human.

Reviews using NB110-8347H:
Filter by Applications
WB
(1)
All Applications
Filter by Species
Human
(1)
All Species
Images Ratings Applications Species Date Details
Western Blot IgG Fc NB110-8347H
Enlarge
5
reviewed by:
Verified Customer
WB Human 04/01/2019
View

Summary

ApplicationWestern Blot
Sample TestedHuman recombinant antibody
SpeciesHuman
Lot17/06-G1cc-D3cc-030119H

Product General Protocols

Find general support by application which include: protocols, troubleshooting, illustrated assays, videos and webinars.

Video Protocols

WB Video Protocol

FAQs for IgG Fc Antibody (NB110-8347H) (0)

There are no specific FAQs related to this product. Read our general customer & technical service FAQs.

Additional IgG Fc Products

Research Areas for IgG Fc Antibody (NB110-8347H)

Find related products by research area.

Blogs on IgG Fc

There are no specific blogs for IgG Fc, but you can read our latest blog posts.

Contact Information

Product PDFs

Calculators

Concentration Calculator

The concentration calculator allows you to quickly calculate the volume, mass or concentration of your vial. Simply enter your mass, volume, or concentration values for your reagent and the calculator will determine the rest.

=
÷

Recent Reviews

5
5
1
4
0
3
0
2
0
1
0

Verified Customer
04/01/2019
Application: WB
Species: Human