HEATR8 Antibody (A5-D4-A6)

Images

 
Western Blot: HEATR8 Antibody (A5-D4-A6) [NBP2-66884] - Analysis of C1orf175 on recombinant protein using anti-C1orf175 antibody at 1/1,000 dilution.
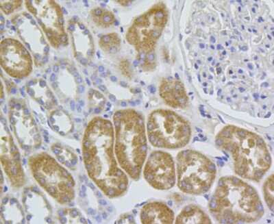
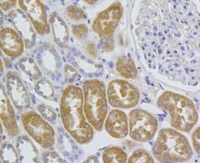
Immunohistochemistry-Paraffin: HEATR8 Antibody (A5-D4-A6) [NBP2-66884] - Analysis of paraffin-embedded human kidney tissue using anti-C1orf175 antibody. Counter stained with hematoxylin.

Product Details

Summary
Product Discontinued
View other related HEATR8 Primary Antibodies

Order Details


    • Catalog Number
      NBP2-66884
    • Availability
      Product Discontinued

    Can't find what you are looking for? Use our Antibody Concierge Service & we will help you locate your antibody!

    Or feel free to contact us for alternative products.

HEATR8 Antibody (A5-D4-A6) Summary

Additional Information
Recombinant Monoclonal Antibody
Immunogen
Recombinant protein within Human HEATR8 aa 1,025-1,323 / 1,323. (SwissProt: Q68CQ1 Human)
Localization
Membrane.
Isotype
IgG1
Clonality
Monoclonal
Host
Mouse
Gene
MROH7
Purity
Protein A purified
Innovator's Reward
Test in a species/application not listed above to receive a full credit towards a future purchase.

Applications/Dilutions

Dilutions
  • Immunohistochemistry
  • Immunohistochemistry-Paraffin 1:50-1:200
  • Western Blot 1:500-1:1000

Packaging, Storage & Formulations

Storage
Store at 4C short term. Aliquot and store at -20C long term. Avoid freeze-thaw cycles.
Buffer
PBS (pH7.4), 0.2% BSA, 40% Glycerol
Preservative
0.05% Sodium Azide
Concentration
2 mg/ml
Purity
Protein A purified

Alternate Names for HEATR8 Antibody (A5-D4-A6)

  • DKFZp781B0622
  • HEAT repeat containing 8

Limitations

This product is for research use only and is not approved for use in humans or in clinical diagnosis. Primary Antibodies are guaranteed for 1 year from date of receipt.

Publications for HEATR8 Antibody (NBP2-66884) (0)

There are no publications for HEATR8 Antibody (NBP2-66884).
By submitting your publication information earn gift cards and discounts for future purchases.

Reviews for HEATR8 Antibody (NBP2-66884) (0)

There are no reviews for HEATR8 Antibody (NBP2-66884). By submitting a review you will receive an Amazon e-Gift Card or Novus Product Discount.
  • Review with no image -- $10/€7/£6/$10 CAD/¥70 Yuan/¥1110 Yen
  • Review with an image -- $25/€18/£15/$25 CAD/¥150 Yuan/¥2500 Yen

Product General Protocols

Find general support by application which include: protocols, troubleshooting, illustrated assays, videos and webinars.

Video Protocols

WB Video Protocol

FAQs for HEATR8 Antibody (NBP2-66884) (0)

There are no specific FAQs related to this product. Read our general customer & technical service FAQs.

Contact Information

Product PDFs

Calculators

Concentration Calculator

The concentration calculator allows you to quickly calculate the volume, mass or concentration of your vial. Simply enter your mass, volume, or concentration values for your reagent and the calculator will determine the rest.

=
÷

Review this Product

Be the first to review our HEATR8 Antibody (A5-D4-A6) and receive a gift card or discount.

Bioinformatics

Gene Symbol MROH7