GPCR GPR89 Antibody

Images

 
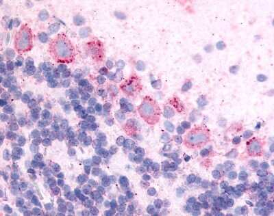
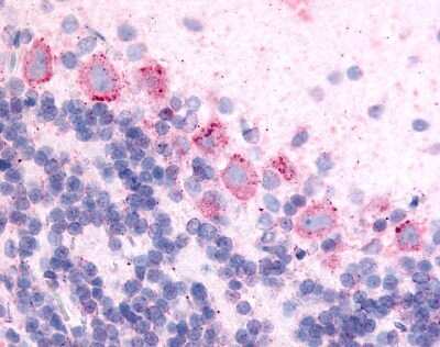
Immunohistochemistry-Paraffin: GPCR GPR89 Antibody [NLS1732] - Analysis of anti-GPR89A antibody of rat brain, Purkinje neurons at 34 ug/ml.

Product Details

Summary
Product Discontinued
View other related GPCR GPR89 Primary Antibodies

Order Details


    • Catalog Number
      NLS1732
    • Availability
      Product Discontinued

    Can't find what you are looking for? Use our Antibody Concierge Service & we will help you locate your antibody!

    Or feel free to contact us for alternative products.

GPCR GPR89 Antibody Summary

Immunogen
Synthetic 19 amino acid peptide from 3rd cytoplasmic domain of human GPR89A.
Specificity
Human GPR89A. BLAST analysis of the peptide immunogen showed no homology with other human proteins.
Predicted Species
Porcine (95%), Bovine (95%), Opossum (95%), Canine (95%), Primate (95%), Equine (95%), Monkey (95%). Backed by our 100% Guarantee.
Isotype
IgG
Clonality
Polyclonal
Host
Rabbit
Gene
GPR89A
Purity
Immunogen affinity purified
Innovator's Reward
Test in a species/application not listed above to receive a full credit towards a future purchase.

Applications/Dilutions

Dilutions
  • Immunohistochemistry
  • Immunohistochemistry-Paraffin 34 ug/ml

Reactivity Notes

Predicted cross-reactivity based on sequence identity: Gibbon (95%), Marmoset (89%), Mouse (89%), Rat (89%), Bat (89%), Hamster (89%), Chicken (84%), Zebrafish (84%).

Packaging, Storage & Formulations

Storage
Store at 4C short term. Aliquot and store at -20C long term. Avoid freeze-thaw cycles.
Buffer
PBS
Preservative
0.1% Sodium Azide
Concentration
1.0 mg/ml
Purity
Immunogen affinity purified

Alternate Names for GPCR GPR89 Antibody

  • FLJ10492
  • FLJ11696
  • FLJ36909
  • FLJ79270
  • G protein-coupled receptor 89A
  • Golgi pH regulator A
  • GPHR
  • GPHRA
  • GPR89
  • GPR89A
  • GPR89B
  • MGC688
  • MGC87324
  • protein GPR89
  • Protein GPR89A
  • Putative MAPK-activating protein PM01
  • Putative NF-kappa-B-activating protein 90
  • SH120
  • UNQ192

Background

GPR89/SH120 is an Orphan-A GPCR with an unknown ligand. GPR89/SH120 has been isolated from a wide variety of EST libraries, particularly those of brain and kidney.

Limitations

This product is for research use only and is not approved for use in humans or in clinical diagnosis. Primary Antibodies are guaranteed for 1 year from date of receipt.

Publications for GPCR GPR89 Antibody (NLS1732) (0)

There are no publications for GPCR GPR89 Antibody (NLS1732).
By submitting your publication information earn gift cards and discounts for future purchases.

Reviews for GPCR GPR89 Antibody (NLS1732) (0)

There are no reviews for GPCR GPR89 Antibody (NLS1732). By submitting a review you will receive an Amazon e-Gift Card or Novus Product Discount.
  • Review with no image -- $10/€7/£6/$10 CAD/¥70 Yuan/¥1110 Yen
  • Review with an image -- $25/€18/£15/$25 CAD/¥150 Yuan/¥2500 Yen

Product General Protocols

Find general support by application which include: protocols, troubleshooting, illustrated assays, videos and webinars.

FAQs for GPCR GPR89 Antibody (NLS1732) (0)

There are no specific FAQs related to this product. Read our general customer & technical service FAQs.

Contact Information

Product PDFs

Calculators

Concentration Calculator

The concentration calculator allows you to quickly calculate the volume, mass or concentration of your vial. Simply enter your mass, volume, or concentration values for your reagent and the calculator will determine the rest.

=
÷

Review this Product

Be the first to review our GPCR GPR89 Antibody and receive a gift card or discount.

Bioinformatics

Gene Symbol GPR89A
Entrez