FAM126B Antibody - BSA Free

Images

 
Immunohistochemistry-Paraffin: FAM126B Antibody [NBP1-81636] - Staining of human kidney shows strong membranous and weak cytoplasmic positivity in cells in tubules.
Immunohistochemistry-Paraffin: FAM126B Antibody [NBP1-81636] -Staining of human stomach shows moderate membranous/cytoplasmic positivity in glandular cells.
Immunohistochemistry-Paraffin: FAM126B Antibody [NBP1-81636] -Staining of human cerebral cortex shows moderate cytoplasmic positivity in neuropil and weak membranous positivity in neurons.
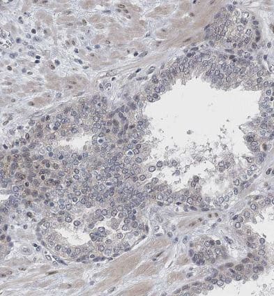
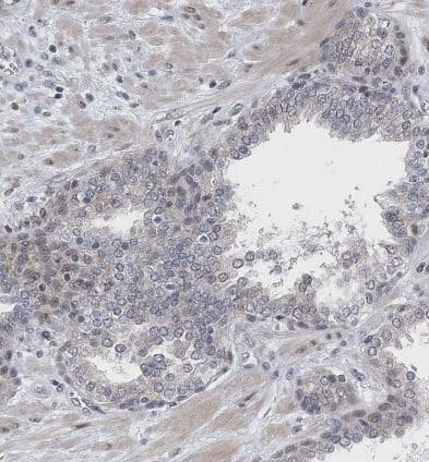
Immunohistochemistry-Paraffin: FAM126B Antibody [NBP1-81636] -Staining of human prostate shows no positivity in glandular cells as expected.
Western Blot: FAM126B Antibody [NBP1-81636] -Analysis in human cell line NB4.

Product Details

Summary
Product Discontinued
View other related FAM126B Primary Antibodies

Order Details


    • Catalog Number
      NBP1-81636
    • Availability
      Product Discontinued

    Can't find what you are looking for? Use our Antibody Concierge Service & we will help you locate your antibody!

    Or feel free to contact us for alternative products.

FAM126B Antibody - BSA Free Summary

Immunogen
This antibody was developed against Recombinant Protein corresponding to amino acids: PFDAPDSTQEGQKVLKVEVTPTVPRISRTAITTASIRRHRWRREGAEGVNGGEESVNLNDADEGFSSGASLSSQPIGTKPSSSS
Predicted Species
Mouse (93%), Rat (94%). Backed by our 100% Guarantee.
Isotype
IgG
Clonality
Polyclonal
Host
Rabbit
Gene
FAM126B
Purity
Immunogen affinity purified
Innovator's Reward
Test in a species/application not listed above to receive a full credit towards a future purchase.

Applications/Dilutions

Dilutions
  • Immunohistochemistry 1:200 - 1:500
  • Immunohistochemistry-Paraffin 1:200 - 1:500
  • Western Blot 0.04-0.4 ug/ml
Application Notes
For IHC-Paraffin, HIER pH 6 retrieval is recommended.
Publications
Read Publication using NBP1-81636.

Packaging, Storage & Formulations

Storage
Store at 4C short term. Aliquot and store at -20C long term. Avoid freeze-thaw cycles.
Buffer
PBS (pH 7.2) and 40% Glycerol
Preservative
0.02% Sodium Azide
Purity
Immunogen affinity purified

Alternate Names for FAM126B Antibody - BSA Free

  • family with sequence similarity 126, member B
  • FLJ10981
  • FLJ37917
  • FLJ42947
  • HYCC2
  • hypothetical protein LOC285172
  • MGC39518

Limitations

This product is for research use only and is not approved for use in humans or in clinical diagnosis. Primary Antibodies are guaranteed for 1 year from date of receipt.

Publications for FAM126B Antibody (NBP1-81636)(1)

Reviews for FAM126B Antibody (NBP1-81636) (0)

There are no reviews for FAM126B Antibody (NBP1-81636). By submitting a review you will receive an Amazon e-Gift Card or Novus Product Discount.
  • Review with no image -- $10/€7/£6/$10 CAD/¥70 Yuan/¥1110 Yen
  • Review with an image -- $25/€18/£15/$25 CAD/¥150 Yuan/¥2500 Yen

Product General Protocols

Find general support by application which include: protocols, troubleshooting, illustrated assays, videos and webinars.

Video Protocols

WB Video Protocol

FAQs for FAM126B Antibody (NBP1-81636) (0)

There are no specific FAQs related to this product. Read our general customer & technical service FAQs.

Contact Information

Product PDFs

Calculators

Concentration Calculator

The concentration calculator allows you to quickly calculate the volume, mass or concentration of your vial. Simply enter your mass, volume, or concentration values for your reagent and the calculator will determine the rest.

=
÷

Review this Product

Be the first to review our FAM126B Antibody - BSA Free and receive a gift card or discount.

Bioinformatics

Gene Symbol FAM126B