FAM108B1 Antibody

Images

 
Immunohistochemistry-Paraffin: FAM108B1 Antibody [NBP1-91878] - Staining of human uterus, pre-menopause shows strong cytoplasmic and membranous positivity in glandular cells.
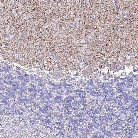
Immunohistochemistry-Paraffin: FAM108B1 Antibody [NBP1-91878] - Staining of human cerebellum shows strong positivity in neuronal processes in cells in molecular layer.
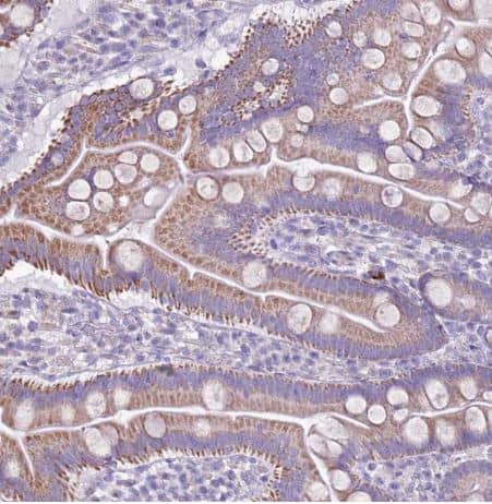
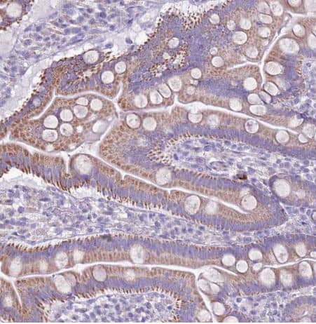
Immunohistochemistry-Paraffin: FAM108B1 Antibody [NBP1-91878] - Staining of human upper small intestine shows moderate to strong cytoplasmic positivity in glandular cells.
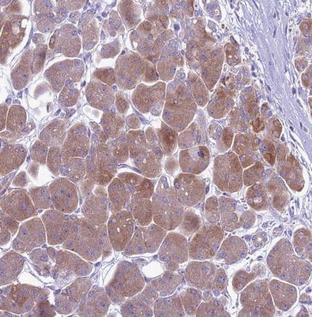
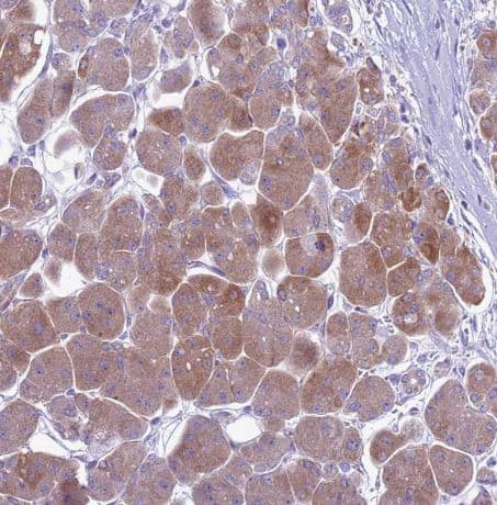
Immunohistochemistry-Paraffin: FAM108B1 Antibody [NBP1-91878] - Staining of human pancreas shows strong cytoplasmic positivity in exocrine glandular cells.

Product Details

Summary
Product Discontinued
View other related FAM108B1 Primary Antibodies

Order Details


    • Catalog Number
      NBP1-91878
    • Availability
      Product Discontinued

    Can't find what you are looking for? Use our Antibody Concierge Service & we will help you locate your antibody!

    Or feel free to contact us for alternative products.

FAM108B1 Antibody Summary

Immunogen
This antibody was developed against Recombinant Protein corresponding to amino acids: DAIECFMTRTSKGNRIACMFVRCSPN
Predicted Species
Mouse (100%), Rat (100%). Backed by our 100% Guarantee.
Isotype
IgG
Clonality
Polyclonal
Host
Rabbit
Gene
ABHD17B
Purity
Immunogen affinity purified
Innovator's Reward
Test in a species/application not listed above to receive a full credit towards a future purchase.

Applications/Dilutions

Dilutions
  • Immunohistochemistry 1:20 - 1:50
  • Immunohistochemistry-Paraffin 1:20 - 1:50
Application Notes
For IHC-Paraffin, HIER pH 6 retrieval is recommended.

Packaging, Storage & Formulations

Storage
Store at 4C short term. Aliquot and store at -20C long term. Avoid freeze-thaw cycles.
Buffer
PBS (pH 7.2) and 40% Glycerol
Preservative
0.02% Sodium Azide
Purity
Immunogen affinity purified

Alternate Names for FAM108B1 Antibody

  • abhydrolase domain-containing protein FAM108B1
  • C9orf77
  • CGI-67
  • chromosome 9 open reading frame 77
  • EC 3.-
  • family with sequence similarity 108, member B1
  • RP11-409O11.2

Limitations

This product is for research use only and is not approved for use in humans or in clinical diagnosis. Primary Antibodies are guaranteed for 1 year from date of receipt.

Publications for FAM108B1 Antibody (NBP1-91878) (0)

There are no publications for FAM108B1 Antibody (NBP1-91878).
By submitting your publication information earn gift cards and discounts for future purchases.

Reviews for FAM108B1 Antibody (NBP1-91878) (0)

There are no reviews for FAM108B1 Antibody (NBP1-91878). By submitting a review you will receive an Amazon e-Gift Card or Novus Product Discount.
  • Review with no image -- $10/€7/£6/$10 CAD/¥70 Yuan/¥1110 Yen
  • Review with an image -- $25/€18/£15/$25 CAD/¥150 Yuan/¥2500 Yen

Product General Protocols

Find general support by application which include: protocols, troubleshooting, illustrated assays, videos and webinars.

FAQs for FAM108B1 Antibody (NBP1-91878) (0)

There are no specific FAQs related to this product. Read our general customer & technical service FAQs.

Contact Information

Product PDFs

Calculators

Concentration Calculator

The concentration calculator allows you to quickly calculate the volume, mass or concentration of your vial. Simply enter your mass, volume, or concentration values for your reagent and the calculator will determine the rest.

=
÷

Review this Product

Be the first to review our FAM108B1 Antibody and receive a gift card or discount.

Bioinformatics

Gene Symbol ABHD17B