C12orf66 Antibody

Images

 
Western Blot: C12orf66 Antibody [NBP2-30447] - Analysis in human cell line HDLM-2.
Immunocytochemistry/ Immunofluorescence: C12orf66 Antibody [NBP2-30447] - Staining of human cell line MCF7 shows localization to microtubules, cytokinetic bridge & mitotic spindle.
Immunohistochemistry-Paraffin: C12orf66 Antibody [NBP2-30447] - Staining of human small intestine shows strong cytoplasmic positivity in glandular cells.
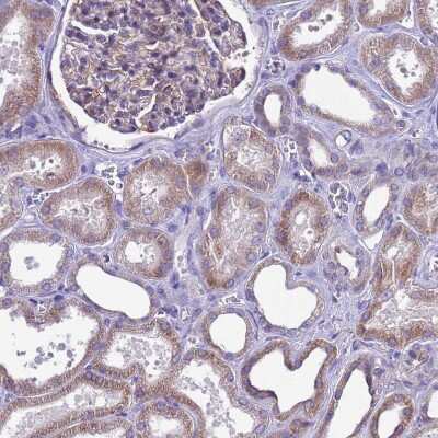
Immunohistochemistry-Paraffin: C12orf66 Antibody [NBP2-30447] - Staining of human kidney shows moderate cytoplasmic positivity in cells in tubules.
Immunohistochemistry-Paraffin: C12orf66 Antibody [NBP2-30447] - Staining of human fallopian tube shows moderate cytoplasmic positivity in glandular cells, as well as strong positivity in cilia.
Immunohistochemistry-Paraffin: C12orf66 Antibody [NBP2-30447] - Staining of human skeletal muscle shows no positivity in myocytes as expected.

Product Details

Summary
Product Discontinued
View other related C12orf66 Primary Antibodies

Order Details


    • Catalog Number
      NBP2-30447
    • Availability
      Product Discontinued

    Can't find what you are looking for? Use our Antibody Concierge Service & we will help you locate your antibody!

    Or feel free to contact us for alternative products.

C12orf66 Antibody Summary

Immunogen
This antibody was developed against a recombinant protein corresponding to amino acids: HHPILSPLESSFQLEVDVLCHLLKAQAQVSEWKFLPSLVNLHSAHTKLQTWGQIFEKQRETKKHLFGGQSQKAVQPPHLFLWLMKLKNMLLAKFSF
Predicted Species
Mouse (92%), Rat (92%). Backed by our 100% Guarantee.
Isotype
IgG
Clonality
Polyclonal
Host
Rabbit
Gene
C12orf66
Purity
Immunogen affinity purified
Innovator's Reward
Test in a species/application not listed above to receive a full credit towards a future purchase.

Applications/Dilutions

Dilutions
  • Immunocytochemistry/ Immunofluorescence 0.25-2 ug/ml
  • Immunohistochemistry 1:20 - 1:50
  • Immunohistochemistry-Paraffin 1:20 - 1:50
  • Western Blot 0.04-0.4 ug/ml
Application Notes
For IHC-Paraffin, HIER pH 6 retrieval is recommended. ICC/IF, Fixation Permeabilization: Use PFA/Triton X-100.

Packaging, Storage & Formulations

Storage
Store at 4C short term. Aliquot and store at -20C long term. Avoid freeze-thaw cycles.
Buffer
PBS (pH 7.2) and 40% Glycerol
Preservative
0.02% Sodium Azide
Purity
Immunogen affinity purified

Alternate Names for C12orf66 Antibody

  • Chromosome 12 Open Reading Frame 66
  • UPF0536 Protein C12orf66

Limitations

This product is for research use only and is not approved for use in humans or in clinical diagnosis. Primary Antibodies are guaranteed for 1 year from date of receipt.

Publications for C12orf66 Antibody (NBP2-30447) (0)

There are no publications for C12orf66 Antibody (NBP2-30447).
By submitting your publication information earn gift cards and discounts for future purchases.

Reviews for C12orf66 Antibody (NBP2-30447) (0)

There are no reviews for C12orf66 Antibody (NBP2-30447). By submitting a review you will receive an Amazon e-Gift Card or Novus Product Discount.
  • Review with no image -- $10/€7/£6/$10 CAD/¥70 Yuan/¥1110 Yen
  • Review with an image -- $25/€18/£15/$25 CAD/¥150 Yuan/¥2500 Yen

Product General Protocols

Find general support by application which include: protocols, troubleshooting, illustrated assays, videos and webinars.

Video Protocols

WB Video Protocol
ICC/IF Video Protocol

FAQs for C12orf66 Antibody (NBP2-30447) (0)

There are no specific FAQs related to this product. Read our general customer & technical service FAQs.

Contact Information

Product PDFs

Calculators

Concentration Calculator

The concentration calculator allows you to quickly calculate the volume, mass or concentration of your vial. Simply enter your mass, volume, or concentration values for your reagent and the calculator will determine the rest.

=
÷

Review this Product

Be the first to review our C12orf66 Antibody and receive a gift card or discount.

Bioinformatics

Gene Symbol C12orf66
Uniprot