ZNF497 Products

Antibodies
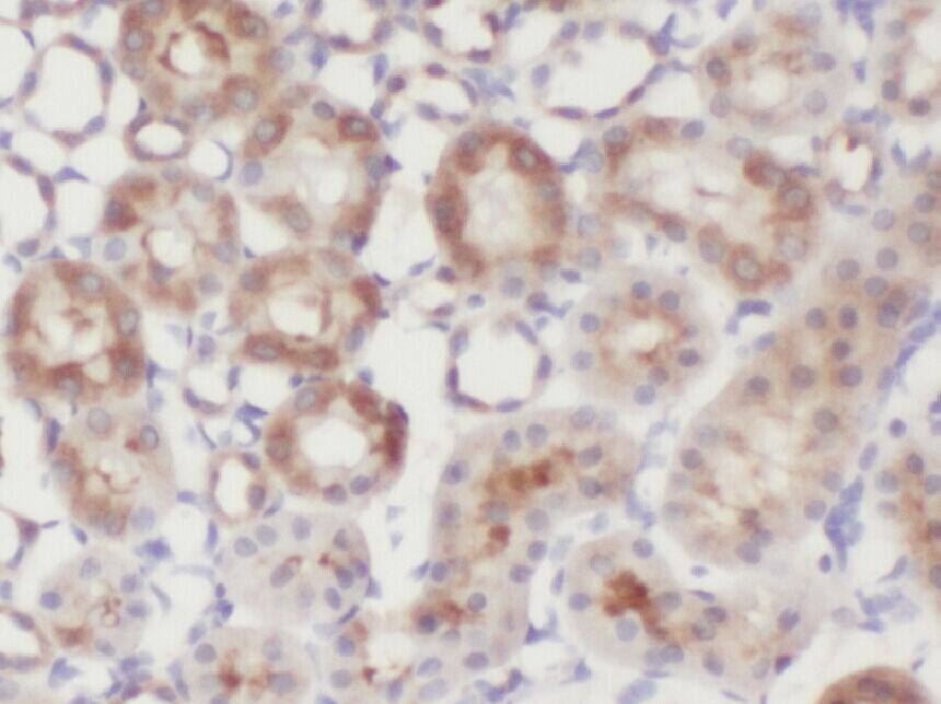
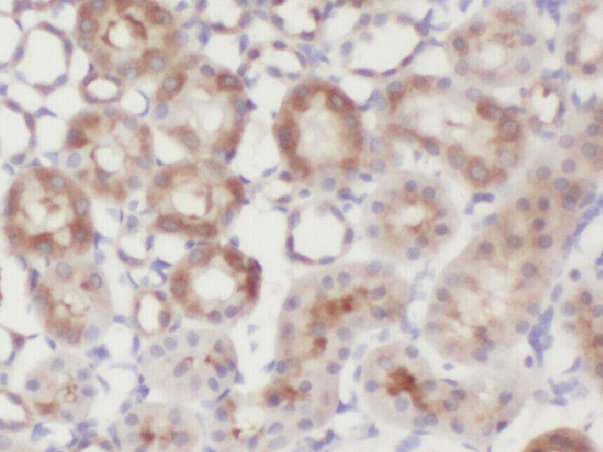
ZNF497 Antibody - BSA Free
ZNF497 Antibody - BSA Free
NBP2-13576
Species: Hu
Applications: ICC/IF, IHC
Host: Rabbit Polyclonal
Formulation Catalog # Availability Price  
ZNF497 Antibody - BSA Free
ZNF497 Antibody - BSA Free
NBP3-45461
Species: Hu, Mu
Applications: WB, ELISA, IHC
Host: Rabbit Polyclonal
ZNF497 Antibody - BSA Free
ZNF497 Antibody - BSA Free
NBP1-80438
Species: Hu
Applications: WB
Host: Rabbit Polyclonal
Proteins
ZNF497 Recombinant Protein An ...
ZNF497 Recombinant Protein Antigen
NBP2-13576PEP
Species: Hu
Applications: AC

Description

ZNF497 may be involved in transcriptional regulation

Bioinformatics

Entrez Human
Uniprot Human
Product By Gene ID 162968
Alternate Names
  • FLJ42722
  • FLJ44773
  • zinc finger protein 497
  • zinc finger-like protein