Skip to main content
Support: 1-888-506-6887
Items in Cart (
0
)
[X]
Quick Order
Account
COVID-19 Research Tools
Antibodies
Primary Antibodies
Conjugated Antibodies
Sample Size Antibodies
KO Validated Antibodies
Recombinant Antibodies
Antibody Sampler Packs
Antibody Pairs
Secondary Antibodies
Isotype Control Antibodies
Proteins and Peptides
Peptides & Proteins
Blocking Peptides
Biologically Active Proteins
Lysates and Cell Lines
Lysates
Stem Cell Lines
Kits
Antibody Labeling Kits
ChIP Kits
ELISA Kits
Flow Cytometry Kits
Activators and Inhibitors
Inhibitors
Activators
Support Products
Exosome Isolation
Flow Cytometry Beads
IHC Tissue Slides
IHC Microarrays
Western Blot Gels & Buffers
Western Blot Membranes
All Support Products
Bulk and Custom
Products
Our Protocols
Resources
Protocols
Video Protocols
Troubleshooting Guides
Posters and Literature
Handbooks and Guides
Calculators
FAQs
Blogs
Diseases
Whitepapers
Webinars
Tools
Spectra Viewer
Flow Cytometry Panel Builder
Application
ELISA
Flow Cytometry
Mass Cytometry (CyTOF)
ICC
IHC
Western Blotting
Interviews
Faculty
Postdoc
Resources
View Pathways
By Research Area
Apoptosis
Autophagy
Cancer
Cell Biology
Cellular Markers
Epigenetics
Epitope Tags
Exosomes Research
Hypoxia
Immunology
Microbiology
Neuroscience
Stem Cells
By Pathway
AKT
Apoptosis
Autophagy
ERK1/2/5 Pathway
Hedgehog
Hippo
JNK Pathway
mTOR
Necroptosis
NFKB Signaling
p38 Signaling
TGF Beta
TLR
Research Areas
Get Rewards
Customer Care
100% Guarantee
Risk Free Testing
Novus Rewards Program
Publication Rewards Program
Scholarship
Travel Grants
Customer Care
Novus Careers
About us
Careers
Collaborations
Events
Novus Story
Our Team
Philanthropy
Press Releases
Why choose Novus
About Us
Contact Us
Customer Service
Distributors
Technical Support
Contact
Home
» ZDHHC4 Products
ZDHHC4 Products
ZDHHC4 Antibodies (4)
ZDHHC4 Lysates (4)
ZDHHC4 Protein (1)
Antibodies
ZDHHC4 Antibody - Azide and B ...
ZDHHC4 Antibody - Azide and BSA Free
NBP2-94486
Species:
Hu, Mu, Rt
Applications:
WB, ELISA
Host:
Rabbit Polyclonal
Formulations
Formulation
Catalog #
Availability
Price
Azide and BSA Free
NBP2-94486-0.02ml
Azide and BSA Free
NBP2-94486-0.1ml
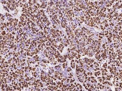
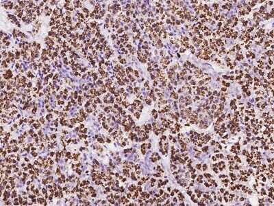
ZDHHC4 Antibody - BSA Free
ZDHHC4 Antibody - BSA Free
NBP2-97818
Species:
Hu
Applications:
IHC
Host:
Rabbit Polyclonal
Conjugates
Conjugate
Catalog #
Availability
Size
Price
Alexa Fluor 350
NBP2-97818AF350
Alexa Fluor 405
NBP2-97818AF405
Alexa Fluor 488
NBP2-97818AF488
Alexa Fluor 532
NBP2-97818AF532
Alexa Fluor 594
NBP2-97818AF594
Alexa Fluor 647
NBP2-97818AF647
Alexa Fluor 700
NBP2-97818AF700
Alexa Fluor 750
NBP2-97818AF750
Alexa Fluor Plus 405
NBP2-97818AFP405
Alexa Fluor Plus 488
NBP2-97818AFP488
Alexa Fluor Plus 555
NBP2-97818AFP555
Alexa Fluor Plus 594
NBP2-97818AFP594
Alexa Fluor Plus 647
NBP2-97818AFP647
Alexa Fluor Plus 680
NBP2-97818AFP680
Allophycocyanin
NBP2-97818APC
Biotin
NBP2-97818B
CoraFluor 1
NBP2-97818CL1
DyLight 350
NBP2-97818UV
DyLight 405
NBP2-97818V
DyLight 488
NBP2-97818G
DyLight 550
NBP2-97818R
DyLight 594
NBP2-97818DL594
DyLight 650
NBP2-97818C
DyLight 680
NBP2-97818FR
DyLight 755
NBP2-97818IR
FITC
NBP2-97818F
HRP
NBP2-97818H
Janelia Fluor 525
NBP2-97818JF525
Janelia Fluor 549
NBP2-97818JF549
Janelia Fluor 646
NBP2-97818JF646
Janelia Fluor 669
NBP2-97818JF669
PE
NBP2-97818PE
PerCP
NBP2-97818PCP
mFluor Violet 450 SE
NBP2-97818MFV450
mFluor Violet 500 SE
NBP2-97818MFV500
mFluor Violet 610 SE
NBP2-97818MFV610
Formulations
Formulation
Catalog #
Availability
Price
BSA Free
NBP2-97818-100ul
BSA Free
NBP2-97818-50ul
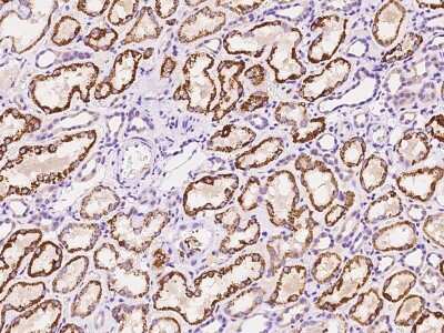
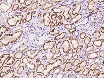
ZDHHC4 Antibody - BSA Free
ZDHHC4 Antibody - BSA Free
NBP2-56184
Species:
Hu, Rt
Applications:
ICC/IF
Host:
Rabbit Polyclonal
Formulations
Formulation
Catalog #
Availability
Price
BSA Free
NBP2-56184-25ul
Read More
Read More
Read More
We have 4 ZDHHC4 Antibodies
Lysates
ZDHHC4 Overexpression Lysate
ZDHHC4 Overexpression Lysate
NBP2-09540
Species:
Hu
Applications:
WB
ZDHHC4 Overexpression Lysate
ZDHHC4 Overexpression Lysate
NBP2-09538
Species:
Hu
Applications:
WB
ZDHHC4 Overexpression Lysate
ZDHHC4 Overexpression Lysate
NBP2-09539
Species:
Hu
Applications:
WB
Read More
Read More
Read More
We have 4 ZDHHC4 Lysates
Proteins
ZDHHC4 Recombinant Protein An ...
ZDHHC4 Recombinant Protein Antigen
NBP2-56184PEP
Species:
Hu
Applications:
AC
Read More
We have 1 ZDHHC4 Protein
Bioinformatics
Entrez
55146
Human
Uniprot
NP_001127859
Human
NP_001127860
Human
NP_001127861
Human
NP_060576
Human
NP_060576.1
Human
Q9NPG8
Human
Product By Gene ID
55146
Alternate Names
DHHC domain containing 4
DHHC-4
EC 2.3.1
EC 2.3.1.-
Zinc finger protein 374
zinc finger, DHHC-type containing 4
Need help?
×
How can we help you?
Close
Start Chat