WFDC12 Products

Antibodies
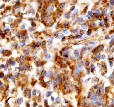
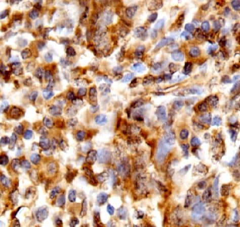
WFDC12 Antibody - BSA Free
WFDC12 Antibody - BSA Free
NBP3-47391
Species: Hu
Applications: ELISA, IHC
Host: Rabbit Polyclonal
Proteins
Recombinant Human WFDC12 His ...
Recombinant Human WFDC12 His Protein
NBP2-51521
Species: Hu
Applications: PAGE

Description

The WFDC12 gene encodes a member of the WAP-type four-disulfide core (WFDC) domain family. The WFDC domain, or WAP signature motif, contains eight cysteines forming four disulfide bonds at the core of the protein, and functions as a protease inhibitor. Most WFD

Bioinformatics

Entrez Human
Uniprot Human
Product By Gene ID 128488
Alternate Names
  • C20orf122
  • dJ211D12.4
  • protease inhibitor WAP2
  • putative protease inhibitor WAP12
  • single WAP motif protein 2
  • SWAM2
  • UNQ544/PRO844
  • WAP four-disulfide core domain 12
  • whey acidic protein 2