Skip to main content
Support: 1-888-506-6887
Items in Cart (
0
)
[X]
Quick Order
Account
COVID-19 Research Tools
Antibodies
Primary Antibodies
Conjugated Antibodies
Sample Size Antibodies
KO Validated Antibodies
Recombinant Antibodies
Antibody Sampler Packs
Antibody Pairs
Secondary Antibodies
Isotype Control Antibodies
Proteins and Peptides
Peptides & Proteins
Blocking Peptides
Biologically Active Proteins
Lysates and Cell Lines
Lysates
Stem Cell Lines
Kits
Antibody Labeling Kits
ChIP Kits
ELISA Kits
Flow Cytometry Kits
Activators and Inhibitors
Inhibitors
Activators
Support Products
Exosome Isolation
Flow Cytometry Beads
IHC Tissue Slides
IHC Microarrays
Western Blot Gels & Buffers
Western Blot Membranes
All Support Products
Bulk and Custom
Products
Our Protocols
Resources
Protocols
Video Protocols
Troubleshooting Guides
Posters and Literature
Handbooks and Guides
Calculators
FAQs
Blogs
Diseases
Whitepapers
Webinars
Tools
Spectra Viewer
Flow Cytometry Panel Builder
Application
ELISA
Flow Cytometry
Mass Cytometry (CyTOF)
ICC
IHC
Western Blotting
Interviews
Faculty
Postdoc
Resources
View Pathways
By Research Area
Apoptosis
Autophagy
Cancer
Cell Biology
Cellular Markers
Epigenetics
Epitope Tags
Exosomes Research
Hypoxia
Immunology
Microbiology
Neuroscience
Stem Cells
By Pathway
AKT
Apoptosis
Autophagy
ERK1/2/5 Pathway
Hedgehog
Hippo
JNK Pathway
mTOR
Necroptosis
NFKB Signaling
p38 Signaling
TGF Beta
TLR
Research Areas
Get Rewards
Customer Care
100% Guarantee
Risk Free Testing
Novus Rewards Program
Publication Rewards Program
Scholarship
Travel Grants
Customer Care
Novus Careers
About us
Careers
Collaborations
Events
Novus Story
Our Team
Philanthropy
Press Releases
Why choose Novus
About Us
Contact Us
Customer Service
Distributors
Technical Support
Contact
Home
» UBXN7 Products
UBXN7 Products
UBXN7 Antibodies (4)
UBXN7 Lysate (1)
UBXN7 Proteins (3)
Antibodies
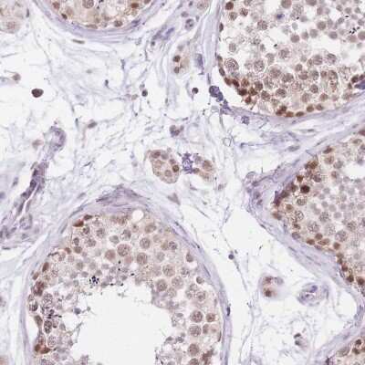
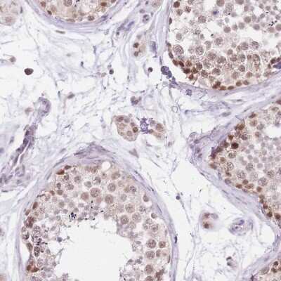
UBXN7 Antibody - BSA Free
UBXN7 Antibody - BSA Free
NBP2-47589
(1 Publication)
Species:
Hu, Mu, Rt
Applications:
WB, ICC/IF, IHC
Host:
Rabbit Polyclonal
Formulations
Formulation
Catalog #
Availability
Price
BSA Free
NBP2-47589-25ul
UBXN7 Antibody - BSA Free
UBXN7 Antibody - BSA Free
NBP2-47588
Species:
Hu, Mu, Rt
Applications:
ICC/IF, IHC
Host:
Rabbit Polyclonal
Formulations
Formulation
Catalog #
Availability
Price
BSA Free
NBP2-47588-25ul
UBXN7 Antibody - BSA Free
UBXN7 Antibody - BSA Free
NBP2-22223
(1 Publication)
Species:
Hu, Mu, Pm-Or
Applications:
WB, IP
Host:
Rabbit Polyclonal
Conjugates
Conjugate
Catalog #
Availability
Size
Price
Alexa Fluor 350
NBP2-22223AF350
Alexa Fluor 405
NBP2-22223AF405
Alexa Fluor 488
NBP2-22223AF488
Alexa Fluor 532
NBP2-22223AF532
Alexa Fluor 594
NBP2-22223AF594
Alexa Fluor 647
NBP2-22223AF647
Alexa Fluor 700
NBP2-22223AF700
Alexa Fluor 750
NBP2-22223AF750
Alexa Fluor Plus 488
NBP2-22223AFP488
Alexa Fluor Plus 555
NBP2-22223AFP555
Alexa Fluor Plus 594
NBP2-22223AFP594
Alexa Fluor Plus 647
NBP2-22223AFP647
Alexa Fluor Plus 680
NBP2-22223AFP680
Allophycocyanin
NBP2-22223APC
Biotin
NBP2-22223B
CoraFluor 1
NBP2-22223CL1
DyLight 350
NBP2-22223UV
DyLight 405
NBP2-22223V
DyLight 488
NBP2-22223G
DyLight 550
NBP2-22223R
DyLight 594
NBP2-22223DL594
DyLight 650
NBP2-22223C
DyLight 680
NBP2-22223FR
DyLight 755
NBP2-22223IR
FITC
NBP2-22223F
HRP
NBP2-22223H
Janelia Fluor 525
NBP2-22223JF525
Janelia Fluor 549
NBP2-22223JF549
Janelia Fluor 646
NBP2-22223JF646
Janelia Fluor 669
NBP2-22223JF669
PE
NBP2-22223PE
PerCP
NBP2-22223PCP
mFluor Violet 450 SE
NBP2-22223MFV450
mFluor Violet 500 SE
NBP2-22223MFV500
mFluor Violet 610 SE
NBP2-22223MFV610
Read More
Read More
Read More
We have 4 UBXN7 Antibodies
Lysates
UBXN7 Overexpression Lysate
UBXN7 Overexpression Lysate
NBP2-07151
Species:
Hu
Read More
We have 1 UBXN7 Lysate
Proteins
Recombinant Human UBXN7 GST ( ...
Recombinant Human UBXN7 GST (N-Ter...
H00026043-P01
Species:
Hu
Applications:
WB, ELISA, MA, AP
UBXN7 Recombinant Protein Ant ...
UBXN7 Recombinant Protein Antigen
NBP2-47589PEP
Species:
Hu
Applications:
AC
UBXN7 Recombinant Protein Ant ...
UBXN7 Recombinant Protein Antigen
NBP2-47588PEP
Species:
Hu
Applications:
AC
Read More
Read More
Read More
We have 3 UBXN7 Proteins
Bioinformatics
Entrez
26043
Human
Product By Gene ID
26043
Alternate Names
KIAA0794
UBX domain containing 7
UBX domain protein 7
UBX domain-containing protein 7
UBXD7
Need help?
×
How can we help you?
Close
Start Chat