UBXD2 Products

Antibodies
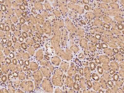
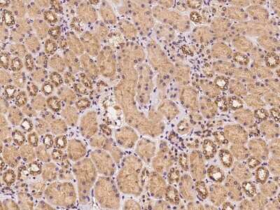
UBXD2 Antibody - BSA Free
UBXD2 Antibody - BSA Free
NBP1-92560
Species: Hu, Mu, Rt
Applications: WB, ICC/IF, IHC
Host: Rabbit Polyclonal
Formulation Catalog # Availability Price  
UBXD2 Antibody - BSA Free
UBXD2 Antibody - BSA Free
NBP1-79240
Species: Hu
Applications: WB, IHC
Host: Rabbit Polyclonal
Lysates
UBXD2 Overexpression Lysate
UBXD2 Overexpression Lysate
NBL1-17571
Species: Hu
Applications: WB
Proteins
UBXD2 Recombinant Protein Ant ...
UBXD2 Recombinant Protein Antigen
NBP1-92560PEP
Species: Hu
Applications: AC

Description

UBXD2 is an integral membrane protein of the endoplasmic reticulum (ER) that binds valosin-containing protein (VCP; MIM 601023) and promotes ER-associated protein degradation (ERAD) (Liang et al., 2006 (PubMed 16968747)).(supplied by OMIM)

Bioinformatics

Entrez Human
Uniprot Human
Human
Human
Product By Gene ID 23190
Alternate Names
  • Erasin
  • erasin
  • FLJ23318
  • KIAA0242KIAA2042
  • UBX domain containing 2
  • UBX domain protein 4
  • UBX domain-containing 1
  • UBX domain-containing 2
  • UBX domain-containing protein 2
  • UBX domain-containing protein 4
  • UBXD2
  • UBXDC1